LÂM SÀNG Ở BỆNH NHÂN SUY GIẢM MIỄN DỊCH CÓ NHIỄM GIUN LƯƠN
Biểu hiện lâm sàng của nhiễm S. stercoralis ở các bệnh nhân SGMD thường đa dạng, phức tạp và hầu nhu không đặc hiệu. Diễn tiến lâm sàng có thể tiến triển chậm hoặc nhanh chóng, khiến việc phát hiện, chẩn đoán trở nên khó khăn và thường bị bỏ sót do các thầy thuốc lâm sàng không để ý đến. Một số triệu chứng có thể gặp trên các bệnh nhân SGMD từ các bệnh lý nền khác nhau sẵn có được tổng hợp phân tích, bao gồm:
+ Da-niêm mạc: Phát ban đỏ trên da, mày đay tái phát, hoặc ban sẩn dạng đường ngoằn ngoèo di chuyển, xuất hiện các ban này bất cứ phần nào trên cơ thể, song thường xuất hiện ở mông, đáy chậu, đùi nhiều nhất. Đây là dấu hiệu gợi ý mạnhdo ATDC dưới da, có thể tiến triển nhanh tới 10 cm/giờ;
+ Tiêu hóa: Đau bụng âm ỉ hoặc dữ dội vùng thượng vị, buồn nôn, nôn, tiêu chảy xen kẽ táo bón (phân sệt, lỏng, táo xen kẻ), chướng bụng, khó tiêu, đầy hơi, đắng hoặc chua miệng, giảm hấp thu. Trường hợp nặng có thể dẫn đến liệt ruột hoặc xuất huyết tiêu hóa;
+ Hô hấp: Bệnh nhân ho khan hoặc ho có đờm, khò khè, khó thở, , thậm chí suy hô hấp cấp,viêm phổi kẽ, thâm nhiễm phổi lan tỏa hoặc khu trú trên X-quang ngực thẳng. Các triệu chứng hô hấp trên bệnh nhân đôi khi có thể bị đánh giá nhầm lẫn với các bệnh lý phổi-phế quản khác, đặc biệt ở bệnh nhân SGMD;
+ Thần kinh: Viêm màng não hoặc viêm não-màng não do S. stercoralis hoặc do vi khuẩn thứ phát đi kèm do quá trình ATDC, hoặc áp xe não, thay đổi tri giác, co giật;
+ Triệu chứng toàn thân: Bệnh nhân có thể sốt kéo dài, sụt cân không rõ nguyên nhân hoặc do rối loạn tiêu hóa và rối loạn hấp thu, thiếu máu. Một điểm quan trọng cần lưu ý là giảm bạch cầu ái toan (BCAT) hoặc số lượng và tỷ lệ BCAT trong giới hạn bình thường, khác với tình trạng tăng BCAT thường ghi nhận thấy ở các bệnh ký sinh trùng khác. Điều này là hiển nhiên, do sự suy yếu miễn dịch của vật chủ, khiến phản ứng bạch cầu chung và bạch cầu ái toan không còn điển hình;
+ Nhiễm khuẩn huyết do vi khuẩn Gram âm từ đường ruột (như E. coli, K. pneumoniae) là biến chứng thường gặp và đe dọa tính mạng do ATDC mang vi khuẩn theo khi di chuyển qua thành ruột bị tổn thương.
Hình 8. Một số hình ảnh nhiễm giun lươn Strongyloides stercoralis ở người
Sự đa dạng và không đặc hiệu của các triệu chứng lâm sàng, cùng với diễn tiến chậm và nhanh chóng bất thường, đòi hỏi các nhà lâm sàng và điều dưỡng lâm sàng phải định hướng và nghi ngờ cao đối với khả năng nhiễm ấu trùng S. stercoralis ở bệnh nhân SGMD, đặc biệt là những người có tiền sử phơi nhiễm với vùng dịch tễ hoặc đang điều trị với các thuốc ức chế miễn dịch. Việc bỏ sót chẩn đoán ban đầu có thể dẫn đến hậu quả nghiêm trọng khi bệnh tiến triển thành hội chứng tăng nhiễm hoặc nhiễm trùng lan tỏa, nguy cơ dẫn đến tỷ lệ tử vong cao.
PHÁT HIỆN, CHẨN ĐOÁN Strongyloides stercoralis Ở BỆNH NHÂN SUY GIẢM MIỄN DỊCH
Chẩn đoán sớm, chính xác và đầy đủ các bệnh lý đang diễn ra trên một ca bệnh là yếu tố then chốt để cứu sống bệnh nhân suy giảm miễn dịch đang nhiễm giun S. stercoralis. Tuy nhiên, việc chẩn đoán không phải lúc nào cũng thuận tiện và dễ dàng như trên cơ địa bình thường, ngược lại trên cơ địa SGMD, chúng ta gặp nhiều thách thức do tải lượng ký sinh trùng thường thấp và sự bài xuất ấu trùng không đều, đặc biệt ở thể mạn tính, nên cơ hội phát hiện thấp hơn nhiều.
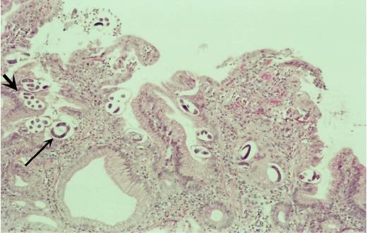
Hình 9. Lâm sàng trên da niêm mạc và tổn thương mô bệnh học nhiễm trùng Strongyloides stercoralisở bệnh nhân nhiễm giun lươn lan tỏa
Ở những bệnh nhân bị nhiễm trùng mãn tính, không có biểu hiện triệu chứng, việc chẩn đoán bệnh giun lươn có thể gặp khó khăn. Chẩn đoán xác định dựa vào việc phát hiện ấu trùng trong phân. Tuy nhiên, việc bài tiết ấu trùng không liên tục và rất ít nên sẽ hạn chế tính hữu ích của các xét nghiệm phân. Độ nhạy chẩn đoán có thể cải thiện đến 100% khi nghiên cứu xét nghiệm lấy 7 mẫu phân trên cùng bệnh nhân. Nhiều nhà nghiên cứu đã cố gắng cải thiện năng suất chẩn đoán của các xét nghiệm phân bằng các kỹ thuật nhuộm trực tiếp phân trong dung dịch muối/thuốc nhuộm Lugol, phương pháp tập trung phân Baermann, kỹ thuật nuôi cấy trên giấy lọc Harada-Mori, kỹ thuật tập trung phân formalin etyl axetat định lượng và nuôi cấy trên đĩa thạch dinh dưỡng. Trong số này, nuôi cấy trên đĩa thạch được coi là nhạy nhất, ngay cả ở những bệnh nhân SGMD. Sử dụng phương pháp này, ấu trùng có thể được phát hiện trong khoảng 50% số mẫu phân từ những bệnh nhân có phản ứng kháng thể với kháng nguyên Strongyloides.
Chọc hút tá tràng nhạy hơn xét nghiệm phân, nhưng đây là một thủ thuật xâm lấn, khiến nó trở thành một lựa chọn ít thuận lợi hơn và không thường quy. Sinh thiết tá tràng có thể chứng minh ký sinh trùng làm tổ trong các hốc dạ dày hoặc tuyến tá tràng, cũng như sự thâm nhiễm BCAT ở lớp niêm mạc. Xét nghiệm miễn dịch hấp thụ liên kết enzyme (ELISA) ngày càng được sử dụng kết hợp với xét nghiệm phân để tăng độ nhạy chẩn đoán. Giá trị dự báo âm tính cao của ELISA có thể đặc biệt hữu ích trong việc loại trừ bệnh giun lươn như một phần của chẩn đoán phân biệt. Mặc dù hữu ích, chẩn đoán huyết thanh học có một số hạn chế, bao gồm phản ứng chéo ở những bệnh nhân bị nhiễm giun chỉ hoạt động, độ nhạy thấp hơn ở những bệnh nhân bị bệnh ác tính về huyết học hoặc nhiễm HTLV-1 và không có khả năng phân biệt giữa nhiễm trùng hiện tại và trước đây. Ngoài ra, ELISA hiện tại dựa vào việc chuẩn bị kháng nguyên ấu trùng tốn nhiều công sức từ mẫu phân của người bị nhiễm nặng hoặc động vật gây nhiễm thực nghiệm. Nhiều kỹ thuật khác nhau đã được phát triển nhằm cải thiện những nhược điểm của xét nghiệm huyết thanh học. Kháng nguyên tái tổ hợp đã được đề xuất như một phương án thay thế thuận tiện cho kháng nguyên thô hiện đang được dùng. Gần đây, xét nghiệm que nhúng được phát hiện là có thể thực hiện dễ dàng và nhanh chóng và có mối tương quan tốt với kết quả ELISA. Xét nghiệm ngưng kết hạt gelatin đã được đề xuất như một phương án thay thế cho ELISA để sàng lọc hàng loạt ở các khu vực lưu hành bệnh do chi phí thấp và tiện lợi. Xét nghiệm da quá mẫn tức thì đã được sử dụng trong bối cảnh nghiên cứu khá hiệu quả, mặc dù nó có thể có tác dụng hạn chế ở những bệnh nhân bị nhiễm HTLV-1.
Chẩn đoán lâm sàng:
Các thầy thuốc lâm sàng luôn luôn có nghi ngờ (high index of suspicion) và định hướng chẩn đoán cao để chỉ định xét nghiệm tìm giun lươn S. stercoralis đối với các bệnh nhân suy giảm miễn dịch hoặc đang có bệnh lý nền đang điều trị tại các phòng điều trị chăm sóc tích cực. Việc đề xuất xét nghiệm cần tiếp cận đa chiều (intergrate/ multifaceted approach) tích hợp các phương pháp và kỹ thuật xét nghiệm;
Chẩn đoán bệnh giun lươn là một trong những “vấn đề” thường gặp nhất trong thực hành lâm sàng vì ít nhất 25% số mẫu phân cũng có thể dẫn đến âm tính giả
Bảng 3. Chẩn đoán hội chứng tăng nhiễm do Strongyloides stercoralis
| Phương pháp chẩn đoán | Kết quả mong đợi |
| 1. Xét nghiệm phân trực tiếp soi phân tươi hay sau khi mẫu phân đã làm phương pháp tập trung rồi | Ấu trùng thường nhìn thấy |
| 2. Xét nghiệm máu ngoại vi đánh giá bạch cầu ái toan | Nhìn chung không phát hiện, một tình trạng không có tăng BCAT thường liên quan tiên lượng nghèo nàn và tỷ lệ tử vong cao. |
| 3. Soi các mẫu dịch từ tá tràng hoặc dạ dày hay các mẫu sinh thiết từ | Có độ nhạy cao |
| 4. Xét nghiệm soi dịch trực tiếp (đờm, dịch rửa phế quản phế nang) | Thường dương tính |
| 5. Dịch não tủy, phúc mạc, màng phổi hay nước tiểu | Thỉnh thoảng dương tính |
Bước đầu tiên trong chẩn đoán là sàng lọc tất cả quần thể bệnh nhân nguy cơ. Ngoài ra, đánh giá thông số BCAT trong máu ngoại vi, tiêu chảy mạn tính, hội chứng suy dinh dưỡng và thiếu máu mạn tính vì đây là các chỉ định thường không đặc hiệu đối với nhiễm trùng giun lươn S. stercoralis và nên cảnh báo cho các thầy thuốc lâm sàng. BCAT trong máu liên quan đến sự di chuyển của ấu trùng giun lươn tái hồi, nhưng có thể không biểu hiện trên các bệnh nhân mắc hội chứng tăng nhiễm và trên các trường hợp này thường tiên lượng xấu. Độ trầm trọng của bệnh giun lươn có liên quan chặt chẽ đến mức BCAT trong máu. Trên các bệnh nhân có triệu chứng hay có tải lượng ấu trùng cao, BCAT trong máu ngoại vi tăng là một thông số cận lâm sàng tiên lượng tốt cho bệnh nhân.
Mặt khác, sự vắng của đáp ứng BCAT có liên quan đến tiên lượng xấu ở bệnh nhân đó và tỷ lệ tử vong cao hơn.Tăng BCAT trong máu ngoại vi không thể hiện trên các bệnh nhân bị hội chứng tăng nhiễm có thể do sự ức chế sinh BCAT trên các bệnh nhân có sử dụng liệu pháp corticosteroid hoặc liên quan đến bội nhiễm vi khuẩn (bacterial sobreinfection).
Sàng lọc trên các đối tượng nguy cơ cao dựa trên sự phát hiện các kháng thể đặc hiệu trong huyết thanh hay phát hiện ấu trùng trong mẫu phân. Chẩn đoán bệnh giun lươn dựa trên việc xác định ký sinh trùng trong mẫu phân hay hiếm hơn ở trong mẫu đờm hay mẫu sinh thiết. Phương pháp Baermann-Moraes và nuôi cấy phân trên thạch cho dộ nhạy và độ đặc hiệu cao nhấtđược dùng để phát hiện ấu trùng của giunlươn. Tuy nhiên, một mẫu phân đơn thuần có thể cho kết quả âm tính đến 70% số ca. Nếu xét nghiệm ít nhất 3 mẫu phân sẽ giúp cải thiện cơ hội phát hiện ấu trùng. Tiếc thay, các kết quả âm tính vẫn thường xảy ra, nguyên nhân chính có thể do số lượng ấu trùng thay đổi trong các mẫu phân thu thập được ở các giai đoạn khác nhau, nên cần thiết phải phân tích ít nhất 3 mẫu.
Ngoài ra, nhiễm trùng giun lươn S. stercoralis có thể làm tăng chỉ số nồng độ kháng thể immunoglobulin E (IgE)toàn phần trong máu. IgE là một loại kháng thể chỉ được tìm thấy trên các động vật có vú. IgE được tổn hợp bởi các bào tương. Các monomer của IgE bao gồm hai chuỗi nặng (ε chain) và hai chuỗi nhẹ. IgE được xem là một phần quan trọng trong quá trình đáp ứng miễn dịch chống lại nhiễm trùngdo một số ký sinh trùng gồm Schistosoma mansoni, Trichinella spiralis,S. stercoralisvà Fasciola spp.
Hình 10. Cơ chế gắn IgE với các interleukine và bạch cầu ái toan trong việc giết giun lươn
Nguồn: https://microbeonline.com/immunoglobulin-e-ige-antibodies/
Việc phát hiện các kháng thể đặc hiệu giun lươn thông qua thử nghiệm phát hiện kháng thể huỳnh quang miễn dịch gián tiếp (indirect immunofluorescence antibody test-IFAT) và miễn dịch hấp phụ liên kết enzyme (enzyme-linked immunosorbent assay-ELISA) cũng có ích như các phương pháp bổ sungvaof chẩn đoán bệnh giun lươn, nhưng các xét nghiệm như thế đôi khi có phản ứng chéo (cross-reactivity) với giun chỉ, sán máng, giun đũa, giun tóc, giun móc, sán dây chó. Kiến thức về các kháng thể đặc hiệu chống lại kháng nguyên ấu trùng filariform của S. stercoralis được tổng hợp bởi hệ thống miễn dịch sau khi nhiễm dẫn đến ý tưởng phát triển các test miễn dịch chẩn đoán để phát hiện kháng thể IgG đặc hiệu kháng S. stercolaris.
Xét nghiệm ELISA phát hiện các kháng thể kháng S. stercoralis trong huyết thanh có độ nhạy dao động 83-93% và độ đặc hiệu cao từ 95-97%.Các bệnh nhân suy giảm miễn dịch có thể đã bị thay đổi đáp ứng miễn dịch với S. stercoralis. Độ nhạy của ELISA trên các bệnh nhân SGMD chỉ đạt 10% qua nghiên cứu và 80% trong một nghiên cứu khác.
Schaffel và cộng sự(2020) đánh giá trên 164 bệnh nhân mắc bệnh lý ác tính về máu, trong đó thử nghiệm phát hiện các kháng thể IgG kháng S. stercoralis bằng ELISA. Tỷ lệ nhiễm giun lươn 13%, độ nhạy, độ đặc hiệu và giá trị tiên đoán dương tính và âm tính lần lượt 68%, 89%, 48% và 95%.Các tác giả kết luận rằng ELISA có thể là xét nghiệm tốt để loại bỏ chẩn đoán giun lươn trên các bệnh nhân mắc bệnh ác tính về máu.
Có một mối liên quan có ý nghĩa giữa huyết thanh dương tính trên ELISA và chẩn đoán nhiễm giun lươn đang hoạt động. Phát hiện các lớp kháng thể đặc hiệu IgE và IgG1 và 4 phân lớp kháng thể bởi ELISA có thể cải thiện chẩn đoán huyết thanh đối với nhiễm trùng S. stercoralis. ELISA không phân biệt được giữa tình trạng hiện nhiễm hay đã từng nhiễm trong quá khứ và có thểphát sinh phản ứng chéo với một số loài giun sán khác.
Sự đảo nghịch kết quả ELISA đối với một tình trạng huyết thanh âm tính được thể hiện sau khi điều trị liệu pháp ivermectin (IVM) trên bệnh nhân. Ngoài ra, có một số báo cáo về các phương pháp sinh học phân tử khuếch đại DNA của ký sinh trùng. Cuối cùng, các thành phần sinh kháng nguyên của S. stercoralis có thể được nhận ra bởi các kháng thể IgG trong huyết thanh ở các xét nghiệm Western blotting (WB) sử dụng cất chiết kháng nguyên của ấu trùng giun lươn S. ratti để chẩn đoán bệnh giun lươn ở người.
Pereira Silva và cộng sự so sánh các xét nghiệm IFAT, ELISA và WB trong chẩn đoán bệnh giun lươn ở người.Các tác giả chỉ ra một sự phù hợp dương ở ba loại test là 87,5% số ca nhiễm giun lươn. Sự phù hợp âm tính của 3 test là 94% và có 97,5% bệnh nhân nhiễm các ký sinh trùng đường ruột khác trên bệnh nhân và người tình nguyện.Trong trường hợp kết quả ELISA dương tính và IFAT âm tính, thì chẩn đoán nên xác định lại bằng WB. Các tác giả kết luận rằng WB có thể dùng để xác định chẩn đoán nhiễm giun lươn trên các bệnh nhân có các kết quả huyết thanh học không tương ứng.
Hội chứng tăng nhiễm ám chỉ đến chu trình tự nhiễm đặc trưng bởi một lượng lớn giun trong đường tiêu hóa và phổi. Chẩn đoán ký sinh trùng của hội chứng tăng nhiễm trên các bệnh nhân suy giảm miễn dịch nhìn chung dựa vào tải lượng ấu trùng và giun trưởng thành có mặt trong phân, mẫu đờm và tình trạng miễn dịch của vật chủ. Hội chứng tăng nhiễm đặc trưng bởi sự di chuyển của ấu trùng vào các cơ quan cơ thể, có thể đi kèm xâm nhập vào gan, não, phổi và thận, cuối cùng gây suy đa cơ quan và bệnh nhân tử vong.
Xét nghiệm phân:
Dù được coi là “Chuẩn vàng” trong chẩn đoán bệnh giun lươn, tuy nhiên xét nghiệm này có độ nhạy xét nghiệm phân trực tiếp rất thấp (khoảng 30-50% cho một mẫu). Để tăng khả năng phát hiện, xét nghiệm viên cần lấy nhiều mẫu phân liên tiếp (ít nhất 3-7 mẫu) và sử dụng các kỹ thuật tập trung như phương pháp Baermann;
Nuôi cấy trên thạch:
Nuôi cấy trên thạch được xem là phương pháp nhạy nhất để tìm ấu trùng trong phân, với khả năng phát hiện tốt hơn nhiều so với soi trực tiếp. Tuy nhiên, ngay cả với các kỹ thuật này, việc tìm thấy ấu trùng ở bệnh nhân SGMD có tải lượng ký sinh trùng thấp vẫn là một thách thức đáng kể;
Xét nghiệm huyết thanh học
Đây là công cụ sàng lọc hữu ích, bổ trợ cho các chẩn đoán, đặc biệt quan trọng trước khi bắt đầu điều trị thuốc ức chế miễn dịch. ELISA hay các phương pháp dựa trên nền tảng ELISA (ELISA-based techniques) phát hiện kháng thể IgG kháng S. stercoralis với độ nhạy cao (70-95%).
Một kết quả dương tính cần được xem xét cần trọng và có thể chỉ định điều trị hay điều trị dự phòng, ngoài ra cần kết hợp các xét nghiệm khác. Tuy nhiên, cần lưu ý đến khả năng phản ứng chéo (cross-reaction) với các ký sinh trùng giun tròn hay sán lá khác và không thể phân biệt giữa nhiễm trùng hiện tại và nhiễm trùng trong quá khứ trước đây đã được điều trị khỏi hay chưa do kháng thể có thể tồn tại trong nhiều năm sau khi điều trị thành công.
Trên các bệnh nhân SGMD, nhiễm trùng giun lươn nặng được chẩn đoán thông qua việc xác định ấu trùng filariform hay ấu trùng rhabditiform trong các mẫu phân với các kỹ thuật khác nhau. Xét nghiệm phân trực tiếp trên nhiều mẫu phân để làm tăng cơ hội phát hiện ấu trùng trong phân.Theo kinh nghiệm, xét nghiệm ít nhất 3 mẫu phân bằng phương pháp soi phân trực tiếp và phương pháp Baerman-Moraes sẽ cải thiện chẩn đoán tốt hơn. Ngoài ra, ấu trùng cũng có thể được xác định trong mẫu bệnh phẩm đờm, dịch tá tràng hay dịch rửa phế quản.
Xét nghiệm phân tích mô bệnh học mẫu sinh thiết ở dạ dày và tá tràng cho thấy thâm nhiễm tế bào viêm vào trong lớp trung mạc (lamina propria) của các hốc hay vết lõm dạ dày (gastric crypts) và các tuyến tá tràng, bao gồm cả tế bào lympho và đơn nhân cũng như các bạch cầu ái toan và bạch cầu đa nhân trung tính. Thâm nhiễm BCAT sẽ tăng lên trong những trường hợp bệnh nhân bị hội chứng tăng nhiễm và có tải lượng giun cao trên đường tiêu hóa. Phù nề, xuất hiện vết xói mòn niêm mạc hay loét niêm mạc cũng được nhìn thấy khi cắt mảnh mô ở các hốc dạ dày và/ hoặc tuyến tá tràng,kể cả nhìn thấy trứng, ấu trùng rhabditiform và filariform, giun cái trưởng thành. Vị trí dạ dày và tá tràng liên quan có mặt ấu trùng giun lươn thường đi kèm theo tình trạng giảm tiết dịch vị hay tình trạng vô toan (achlorhydria) ở bệnh nhân đó dường như là nguyên nhân thuận lợi cho phép chúng tập trung trong các hốc dạ dày.
Chẩn đoánmô bệnh học dựa trên hình thái và kích thước giun lươn S. stercoralis, trứng đã tạo phôi và tần suất xuất hiện cả ấu trùng và giun trưởng thành kèm theo trứng cũng hay gặp trên các bệnh nhân có SGMD. Ấu trùng S. stercoralis có thể được phát hiện trong các mẫu mô tiết từ đường hô hấp thông qua xét nghiệm soi trực tiếp như đối với mẫu phân hay làm theo phương pháp nhuộm Papanicolau hay kính hiển vi huỳnh quang đối với mẫu đờm.Thỉnh thoảng, S. stercoralis cũng được phát hiện trong các mẫu bệnh phẩm nước tiểu, màng phổi, phúc mạc, dịch não tủy và mẫu sinh thiết trong niêm mạc dạ dày, ruột.
Bảng 4. Độ nhạy của các xét nghiệm chẩn đoán giun lươn
(Mokhlesi và cộng sự, 2024)
| Loại xét nghiệm và tần số xét nghiệm | Bệnh giun lươn đường ruột | Hội chứng tăng nhiễm giun lươn |
| Tăng bạch cầu ái toan (BCAT) | 60 - 90 | < 20 |
| Soi 1 mẫu phân tìm trứng và ấu trùng | 20 - 30 | > 30 |
| ≥ 3 mẫu phân | 60 - 70 | > 80 |
| 7 mẫu phân | > 95 | 95 - 100 |
| Dịch tá tràng | 40 - 90 | Trung bình đến cao |
| Đờm và dịch rửa phế quản | Thấp | Trung bình đến cao |
| Xét nghiệm huyết thanh ELISA (IgG kháng kháng nguyên S. stercoralis) | 80 - 90 | N/A |
Xét nghiệm phân tử
Các phương pháp dựa trên phát hiện DNA của giun lươn S. stercoralis trong mẫu phân, dịch rửa phế quản, dịch tá tràng, hoặc các dịch cơ thể khác đang cho thấy độ nhạy và độ đặc hiệu vượt trội so với các phương pháp truyền thống. qPCR có thể xác định tải lượng ký sinh trùng, hỗ trợ theo dõi đáp ứng điều trị và đánh giá hiệu quả của liệu pháp. Đây là một hướng đi đầy hứa hẹn để cải thiện chẩn đoán sớm và quản lý ca bệnh SGMD;
Giải trình tự gen thế hệ mới (mNGS)
Trong những trường hợp lâm sàng phức tạp, khi các phương pháp chẩn đoán khác không cho kết quả, mNGS từ dịch rửa phế quản hoặc bệnh phẩm máu đã được chứng minh là có khả năng phát hiện S. stercoralis và các tác nhân đồng nhiễm khác. Mặc dù là một kỹ thuật đắt tiền và không phổ biến thường quy áp dụng trên thực hành lâm sàng, song kỹ thuật mNGS có thể là “cứu cánh” trong các ca bệnh khó chẩn đoán hoặc khi cần xác định nhanh chóng nhiều tác nhân gây bệnh cùng lúc.
Bệnh phẩm khác:
Trong hội chứng tăng nhiễm hoặc nhiễm trùng lan tỏa, ấu trùng S. stercoralis có thể được tìm thấy trong các mẫu bệnh phẩm ngoài phân (dịch rửa phế quản, đờm, dịch não tủy, nước tiểu, dịch màng bụng, mẫu sinh thiết da, phổi, hoặc các mô khác. Việc tìm thấy ấu trùng trong các mẫu này là bằng chứng rõ ràng của nhiễm trùng lan tỏa.
Hình 11. Sinh thiết niêm mạc dạ dày cho thấy nhiều trứng (mũi tên đậm) và ấu trùng Strongyloides stercoralis (mũi tên thanh mảnh hơn) trên tiêu bản nhuộm Haematoxyline eosin x 100
Việc kết hợp nhiều phương pháp chẩn đoán, từ xét nghiệm phân lặp lại với kỹ thuật tập trung đến huyết thanh học và các kỹ thuật sinh học phân tử tiên tiến, là cần thiết để tăng cường khả năng phát hiện nhiễm S. stercoralis ở bệnh nhân SGMD. Đặc biệt, cần có chiến lược sàng lọc chủ động cho các đối tượng nguy cơ bệnh nhân cao trước khi bắt đầu liệu pháp ức chế miễn dịch để ngăn ngừa các biến chứng nghiêm trọng.
Hình 12. Đoạn sinh thiết niêm mạc đại tràng cho thấy giun tương thích với Strongyloides stercoralis hiện diện trong lớp giữa niêm mạc hay lớp đệm được cấu tạo bởi phân tử protein cấu trúc, dây thần kinh và tĩnh mạch, nó vận chuyển máu đến biểu mô, đồng thời giữ các tế bào tại chỗ và liên kết chúng với cơ trơn bên dưới), với các hình ảnh đáp ứng viêm, kèm theo thâm nhiễm tế bào lympho và bạch cầu ái toan ở các lớp tế bào biểu mô qua các mẫu nhuộm haematoxyline eosine
(còn nữa) --> Tiếp theo Phần 4
Tác giả: TS.BS. Huỳnh Hồng Quang
Viện Sốt rét-KST-CT Quy Nhơn