GIỚI THIỆU
Ký sinh trùng là một trong những nhóm bệnh có mối đe dọa sức khỏe toàn cầu, đặc biệt ở các nước nhiệt đới và cận nhiệt đới. Trong số các loài ký sinh trùng đường ruột, giun lươn Strongyloides steroralis nổi lên như một tác nhân đặc biệt nguy hiểm do khả năng tự nhiễm và tiềm ẩn nguy cơ gây bệnh tăng nặng, thậm chí tử vong ở những đối tượng có hệ miễn dịch suy yếu (ung thư, ghép tạng, đang dùng thuốc corticosteroides kéo dài, suy thận, suy gan, lao, HIV/AIDS, bệnh máu ác tính, các khối u ác tính, suy dinh dưỡng hoặc nhiễm trùng Human T-lymphotropic virus type 1 hay virus HTLV-1), dẫn đến các hội chứng bệnh lý nghiêm trọng như hội chứng tăng nhiễm (Hyperinfection Syndrome-HS) và bệnh lý nhiễm trùng giun lươn lan tỏa (Disseminated Strongyloidiasis-DS) với tỷ lệ tử vong rất cao (92-98%) nếu không phát hiện sớm và điều trị tích cực.
Mặc dù,S.stercoralis được Tổ chức Y tế Thế giới xếp vào nhóm các Bệnh nhiệt đới bị lãng quên (Neglected Tropical Diseases_NTDs), nhưng mức độ phổ biến của nó vẫn đáng báo động tại các nước vùng có khí hậu nóng, ẩm và phù hợp phát triển bệnh giun móc, mỏ và giun lươn.
Hình 1. Tỷ lệ nhiễm giun lươn Strongyloides stercoralis trên toàn cầu |Nguồn: NTDs 2020
Tỷ lệ nhiễm ở một số vùng tại Việt Nam được ước tính khá cao; một số nghiên cứu cho thấy tỷ lệ huyết thanh dương tính lên đến 29,1-42,3% ở người trưởng thành và trung niên, đặc biệt cao ở các vùng nông thôn, miền núi. Tuy nhiên, mức độ phổ biến thực sự của bệnh giun lươn thường bị đánh giá thấp do phần lớn các trường hợp nhiễm trùng mạn tính, thường không có triệu chứng rõ ràng, khiến bệnh có thể tồn tại âm thầm trong cơ thể hàng chục năm và bọ bỏ sót trong chẩn đoán thường quy.Việc tổng quan cập nhật về sinh lý bệnh, biểu hiện lâm sàng, các phương pháp chẩn đoán và chiến lược quản lý ca bệnh do S. stercoralis ở các nhóm đối tượng nguy cơ cao tử vong này là cần thiết nhằm nhấn mạnh tầm quan trọng của việc hướng đến chẩn đoán sớm, tăng độ bao phủ chẩn đoán thông qua kết hợp các kỹ thuật xét nghiệm truyền thống (soi phân tươi, huyết thanh học) và kỹ thuật hiện đại (PCR, realtime PCR, mNGS), cùng với điều trị tích cực bằng thuốc hiệu quả Ivermectin (có thể phối hợp Albendazole) và giảm thiểu tình trạng ức chế miễn dịch. Bên cạnh đó, nêu ra một số thách thức trong thực hành lâm sàng để chẩn đoán và quản lý toàn diện các ca bệnh tại Việt Nam, đặc biệt tại các cơ sở y tế (CSYT) chuyên khoa và đơn vị Hồi sức tcish cực và Khoa bệnh nhiệt đới, khoa truyền nhiễm thuộc các Bệnh viện Bệnh Nhiệt đới Trung ương, Bệnh viện Bệnh Nhiệt đới Thành phố Hồ Chí Minh, Bệnh viện Bệnh Nhiệt đớiKhánh Hòa, Trung tâm Nhiệt đới thuộc Bệnh viện Đa khoa Hữu nghị Nghệ An, Viện bệnh Nhiệt đớithuộc Bệnh viện Bạch Mai, các bệnh viện phổi, Bệnh viện Phạm Ngọc Thạch, Viện lao hay Bệnh viện Ung bướu trên cả nước, đồng thời đưa ra các khuyến nghị cụ thể cho chuyên ngành y tế và công tác giảng dạy nhằm nâng cao hiệu quả phòng, chống và điều trị bệnh tối ưu.
Bảng 1. Một số thể bệnh lâm sàng do nhiễm giun lươn Strongyloides stercoralis
| Một số thể bệnh do nhiễm giun lươn Strongyloides stercoralis |
| 1. Người mang ký sinh trùng không có biểu hiện triệu chứng lâm sàng; 2. Viểm phổi tăng bạch cầu ái toan (hội chứng Loefler); 3. Nhiễm giun lươn Strongyloides stercoralis đường ruột mạn tính có tiêu chảy; 4. Hội chứng tăng nhiễm với đặc điểm lâm sàng nghiêm trọng liên quan đến suy đa cơ quan có liên quan đến chu kỳ sinh trưởng hay vòng đời của giun lươn Strongyloides stercoralis, nhât là hệ tiêu hóa và phế quản phổi; 5. Bệnh giun lươn lan tỏa với sự có mặt của ấu trùng giun filariform ở các vị trí giải phẩu ngoài chu kỳ hay vòng đời giun lươn, như là não, màng não, màng phổi, màng trong tim, tuyến giáp, gan, lách, hạch bạch huyết và mô dưới da. |
Mức độ tác hại của S. stercoralis trở nên nghiêm trọng hơn ở bệnh nhân suy giảm miễn dịch, bệnh lý nền sẵn có, đặc biệt là những người đang sử dụng thuốc corticosteroid(s), mắc các bệnh ác tính về huyết học, đái tháo đường, lao, viêm khớp mạn tính hoặc nhiễm virus HTLV-1, HIV/AIDS, hoặc sau ghép tạng đang theo dõi điều trị chống thải ghép. Do ở các nhóm đối tượng này, giun lươn có thể nhân lên nhanh và lan tỏa khắp cơ thể, dẫn đến hội chứng tăng nhiễmvà nhiễm trùng lan tỏa.
Các hội chứng này được đặc trưng bởi sự gia tăng đáng kể tải lượng ký sinh trùng (parasite load) và sự di chuyển của ấu trùng hay ấu trùng di chuyển (ATDC) đến các cơ quan ngoài ruột như phổi, gan, não và máu, gây tăng các yếu tố viêm, yếu tố tiền viêm, gây suy đa cơ quan, nhiễm khuẩn huyết do vi khuẩn đường ruột di chuyển theo ấu trùng giun lươn và có tỷ lệ tử vong rất cao nếu không được chẩn đoán và điều trị kịp thời. Một số khía cạnh còn thách thức trong chẩ đoán, phát hiện giun lươn S. stercoralis,có thể gồm các test chẩn đoán độ nhạy thấp từ các phương pháp xét nghiệm truyền thống, thiếu sự quan tâm và để từ phía nhà lâm sàng, điều trị sổ giun chung ở các tuyến và môi trường học đường chưa được rộng khắp, không đủ độ bao phủ. Điều này dẫn đến nhiều trường hợp bệnh nặng được chẩn đoán muộn, làm tăng gánh nặng giun lươn và tăng tử vong.
Không riêng gì Việt Nam, ngay cả các báo cáo trên toàn cầu hiện tại đang tập trung mô tả đánh giá từng ca bệnh riêng lẻ hoặc chùm/loạt ca bệnh nhiễm giun lươn trên bệnh nhân suy giảm miễn dịch, dù đã có những nỗ lực trong việc kiểm soát các bệnh ký sinh trùng, mức độ quan tâm của các cấp y tế đối với giun lươn S. stercoralis ở trên bệnh nhân suy giảm miễn dịch (SGMD) đôi khi chưa tương xứng với mức độ nguy hiểm tiềm tàng của vấn đề. Nếu thiếu các hướng dẫn cụ thể (specific guidances) và sàng lọc định kỳ cho các nhóm nguy cơ cao vẫn còn là một thách thức lớn, đặc biệt trong bối cảnh mô hình điều trị nội hoặc ngoại trú sử dụng ngày càng tăng các liệu pháp ức chế miễn dịch trong y học hiện đại, sẽ dẫn đến bỏ sót và quản lý không toàn diện ca bệnh lẽ ra không đáng tử vong.
SINH LÝ BỆNH HỌC Strongyloides stercoralis
S. stercoralis có chu trình sống hay vòng đời (life cycle) phức tạp, bao gồm cả giai đoạn sống tự do trong môi trường và giai đoạn ký sinh trong vật chủ. Chu trình ký sinh bắt đầu khi ấu trùng giai đoạn gây nhiễm (filariform) có mặt trong đất xâm nhập qua da nguyên vẹn của người (thường là bàn chân trần hay tay qua chăm sóc cây cảnh) hoặc niêm mạc bị thương. Sau khi xâm nhập, ấu trùng di chuyển vào hệ tuần hoàn máu, đến phổi, xuyên qua phế nang vào đến phế quản, sau đó lên khí quản, thực quản và được nuốt xuống đường tiêu hóa.
Tại tá tràng và hỗng tràng, ấu trùng giun phát triển thành giun cái S. stercoralistrưởng thành (chỉ có giun cái ký sinh ở người, sinh sản đơn tính). Giun cái trưởng thành sống trong niêm mạc và hạ niêm mạc ruột non, đẻ trứng. Trứng nở thành ấu trùng rhabditiform ngay trong lòng ruột. Hầu hết các ấu trùng rhabditiform này được bài tiết qua phân ra môi trường ngoài và có thể phát triển thành giun S. stercoralistrưởng thành sống tự do hoặc thành ấu trùng filariform gây nhiễm mới.
Hình 2. Chu kỳ sinh học phát triển giun lươn Strongyloidesstercoralis |Nguồn: CDC, 2020
Điểm đặc biệt và nguy hiểm nhất của S. stercoralis là khả năng tự nhiễm (autoinfection mode) trên cơ thể người. Một số ấu trùng rhabditiform, thay vì được bài tiết ra ngoài, thì chúng lại phát triển thành ấu trùng filariform ngay trong lòng ruột hoặc vùng quanh rìa hậu môn. Các ấu trùng filariform này có thể tái xâm nhập vào niêm mạc ruột hoặc da quanh hậu môn, dẫn đến “tái khởi động” chu trình ký sinh mà không cần “phơi nhiễm” lại từ môi trường bên ngoài như khi tiếp xúc với đất. Cơ chế này cho phép ký sinh trùng tồn tại trong cơ thể người bệnh hàng chục năm, đôi khi kéo dài suốt đời, ngay cả khi người bệnh đã rời khỏi vùng dịch tễ hay còn gọi là bệnh giun lươn mạn tính (chronic strongyloidiasis).
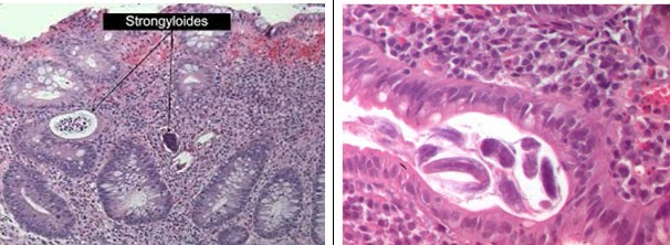
Hình 3. Hình ảnh phân tích mô bệnh học Strongyloides stercoralis trên bệnh nhân. |Nguồn: Medscape, 2023
Giun lươn là ký sinh trùng duy nhất có thể tự nhân lên trong cơ thể thông qua quá trình tự nhiễm, tức là ấu trùng có thể nở ra trong ruột và phát triển thành giun trưởng thành, hoặc di chuyển ngược lên phổi, rồi lại vào ruột. Do đó, nếu trên người có hệ miễn dịch suy yếu, khả năng kiểm soát chu kỳ sinh sản và di chuyển của ấu trùng bị suy giảm, dẫn đến sự gia tăng nhanh chóng về số lượng ấu trùng. Đồng thời, các ấu trùng có thể di chuyển đến nhiều cơ quan khác ngoài ruột và phổi, gây tổn thương gan, thận, tim, hệ thần kinh trung ương và các cơ quan khác hay còn gọi là bệnh giun lươn lan tỏa sẽ nguy hiểm hơn.
Ở bệnh nhân SGMD, đặc biệt là những người đang dùng corticosteroid liều cao, kéo dài thì chu trình tự nhiễm này bị tăng sinh một cách mất kiểm soát(uncontrolled proliferation)bởi các chế phẩm corticosteroid được cho là kích thích sự phát triển của ấu trùng rhabditiform chuyển thành filariform, đồng thời làm suy yếu phản ứng miễn dịch của vật chủ, cho phép ký sinh trùng nhân lên nhanh chóng và tăng đáng kể về số lượng trong cơ thể.
Hiện tượng này dẫn đến hội chứng tăng nhiễm, khi số lượng ấu trùng tăng lên đáng kể trong các mô của các cơ quan thường bị ảnh hưởng bởi chu trình sống bình thường của giun ở giai đoạn ruột, hay phổi. Khi ấu trùng lan tỏa ra các cơ quan ngoài chu trình sống bình thường (não, gan, thận, tim, tuyến tụy, màng não), tình trạng này được gọi là nhiễm trùng lan tỏa.
Sự di chuyển của ấu trùng qua thành ruột bị tổn thương có thể mang theo vi khuẩn đường ruột vào máu và các cơ quan khác, gây nhiễm khuẩn huyết, viêm màng não, áp xe đa cơ quan và sốc nhiễm khuẩn, làm tăng đáng kể tỷ lệ tử vong.
Hình 4. Sự thay đổi đáp ứng miễn dịch trog bệnh do giun lươn Strongyloides stercoralis. |Nguồn: Immunology, 2022
(còn nữa) --> Tiếp theo Phần 2
Tác giả: TS.BS. Huỳnh Hồng Quang
Viện Sốt rét-KST-CT Quy Nhơn