Giới thiệu
Bệnh do giun xoắn là một trong những bệnh do ký sinh trùng truyền từ động vật lây sang người (parasitic zoonosis). Về phân loại khoa học, giun xoắn Trichinella spiralis thuộc giới động vật, ngành Mematoda, lớp Nematoda, lớp Enoplea (disputed), bộ Trichocephalida, siêu họ Trichinelloidea, giống Trichinella, loài Trichinella spiralis (Owen, 1835) thường gây bệnh cho con người và gây các hậu quả nghiêm trọng, thậm chí có rất nhiều ca tử vong do chẩn đoán nhầm, chậm. Vòng đời của giun xoắn phát triển trực tiếp trong vật chủ và không có vật chủ trung gian, chu kỳ sinh học bao gồm hai giai đoạn: (i) Giai đoạn ấu trùng trong đường tiêu hóa và (ii) Giai đoạn ấu trùng trong cơ.
Hiện nay, trên thế giới đã phát hiện ra ít nhất 8 loài giun xoắn gồm T. spiralis, T. nativa, T. britovi, T. murrelli, T. nelsoni, T. pseudospiralis, T. papure và T. zimbabwensis và 4 kiểu gen giun xoắn (kiểu gen T6, T8, T9, T12). Tất cả loài và các kiển gen được phân loại làm 2 nhóm chính dựa trên hình thái ấu trùng với tiêu chí có và không có lớp nang kén bao bọc xung quanh khi định cưtrong cơ.
Bệnh giun xoắn thường lây truyền giữa các loài động vật khác nhau và người. Động vật hoang dã như gấu, hải mã, hải cẩu, cá sấu, vật nuôi gần nhà như lợn, chuột. Bệnh xảy ra liên quan đến những tập quán, thói quen trong sinh hoạt ăn uống như ăn thịt sống hoặc tái, chưa nấu chín các thực phẩm ô nhiễm mầm bệnh, liên quan đến việc giết mổ gia súc tại nhà hoặc lò mổ tư nhân không được kiểm tra, giám sát về vệ sinh an toàn thực phẩm (VSATTP), phương thức chăn nuôi gia súc theo hình thức thả rông,… là những yếu tố quan trọng trong quá trình lây truyền bệnh.

Hình 1
Lịch sử nghiên cứu về bệnh giun xoắn Trichinella spp.
Bệnh do giun xoắn Trichinella spp. có tên khoa học tiếng Anh là Trichinellosis hoặc Trichinosis hoặc Trichiniasis (Trich từ gốc từ Hy Lạp thrix có nghĩa là sợi tóc) là một nhiễm trùng gây ra bởi loài giun tròn thuộc giống Trichinella, hầu hết các ca ở người do nhiễm loài T. Spiralis. Nghiên cứu về lịch sử, bệnh học lịch sử và các nghiên cứu gần đây nhất về bộ gen đã cho thấy tính phức tạp giữa con người trong mối tương tác với nhau, các thức ăn của chúng nên loài giun tròn này đã được xác định rõ nét hơn.
Các bằng chứng về mặt di truyền đề nghị rằng sự có mặt của của Trichinella như một loài riêng biệt kể từ giữa đến sau niên đại Miocene (cách nay chừng 20 triệu năm). Đến này, có ít nhất 8 loài đã được xác định và 3 genotype trong 2 dạng có nang bọc và không có nang bọc đã được xác định gây nhiễm cho động vật có vú, chim, bò sát trên phạm vi toàn cầu.

Hình 2
Không phải tất cả các loài này được xác định lây nhiễm trên người. Nhiễm trùng ở người được báo cáo sớm nhất trong các tài liệu nghiên cứu xác ướp Ai Cập khoảng giai đoạn 1.300 năm BCE. Các sắc lệnh liên quan đến tôn giáo về cấm tiêu thụ các thịt heo có thể phản ánh về kiến thức văn hóa sớm nhất mối liên quan giữa nhiễm trùng giữa người và động vật. Các nghiên cứu khoa học hiện đại đầu tiên về nhiễm trùng Trichinella spp. ở người từ các phân tích giải phẩu tử thi của một người đàn ông có cơ hoành như cát ("sandy diaphragm) được báo cáo thông qua một sinh viên y khoa James Paget (nên mới có tên bệnh Paget) đến Hội sinh viên y khoa và ấn bản bởi bài giảng của anh ta về giải phẩu lâm sàng. Tiếp đó, ngài Richard Owen-trợ lý phẩu thuật thuộc Đại học Hoàng gia đã làm rõ thêm.
Chu kỳ sinh học đầu tiên được nghiên cứu bởi tác giả Rudolf Virchow và các cộng sự trong một thời gian dài từ 1850-1870. Vào những năm 1860, bệnh này được nhận ra và mô tả chi tiết như một rối loạn lan rộng khi cớ một con heo bị nhiễm, dẫn đến cộng đồng không thích ăn một số sản phẩm của thịt heo nữa, đặc biệt xúc xích Đức và Hà Lan.
Các yếu tố văn hóa và chính trị địa lý như gia tăng di biến động dân trên phạm vi toàn cầu cũng như kéo theo các sản phẩm thức ăn, biểu hiện trong thế kỷ 21 này có sự trở lại của bệnh nhiễm trùng loài ký sinh trùng này trong một số vùng mà trước đó không còn bệnh đã nhiều thập niên. Vì sự xuất hiện y học cấp cứu song hành cùng với các bệnh đang nổi trong các vùng đó với số ít ca hoặc không có ca Trichinella spp. nào, điều này có thể do nhiễm trong suốt quá trình đi du lịch và vì chẩn đoán sớm đã giúp cải thiện điều trị trên các ca bệnh. Chẩn đoán sớm lệ thuộc vào các kiến thức lâm sàng và tiền sử bệnh nhân cũng như các biểu hiện lâm sàng có thể không đặc hiệu.
Bệnh do giun xoắn được phát hiện đầu tiên trên người tại Anh vào năm 1835 do sinh viên y khoa Jame Paget và tác giả Owen đã định loài ngay sau đó (1835). Sau đó, bệnh được tìm thấy trên lợn tại Mỹ năm 1846 bởi nhà khoa học Joseph Leidy.
Người mắc bệnh do ăn thịt sống hoặc tái còn chứa ấu trùng giun xoắn. Đây cũng là một nhóm Các bệnh Nhiệt đới bị lãng quên hay ít được quan tâm (Neglected Tropical Diseases_NTDs) đang được cộng đồng y tế thế giới quan tâm và được xếp vào danh mục nhóm B theo Tổ chức Thú y thế giới (OIE, 2013).
Dịch tễ học bệnh do giun xoắn
Diện phân bố bệnh do giun xoắn T. spiralis
Trên thế giới
Theo số liệu thống kê chưa đầy đủ, bệnh do giun xoắn T. spiralis phân bố rộng trên hầu hết các vùng trên thế giới như châu Âu, châu Mỹ, châu Phi và châu Á. Bệnh giun xoắn được phát hiện tại các nước Đông Nam Á từ năm 1962. Các ổ dịch giun xoắn đã phát hiện trên người (ít nhất 5 nước công bố), trên lợn/ heo (ít nhất 5 nước) và động vật hoang dã (ít nhất 2 nước). Tại Đông Nam Á, các ổ dịch trên người phần lớn tập trung ở các quốc gia thuộc Đông Dương như Lào, Thái Lan, Campuchia và Việt Nam, những nơi đó tập quán ăn thịt sống và tái chín khá phổ biến.

Hình 3
Số liệu trước đó cho thấy bệnh giun xoắn T. spiralis ở người đã được phát hiện ở ít nhất 55 nước trên thế giới như Tây Ban Nha, Đan Mạch, Thụy Điển, Hà Lan, Liên Xô, Anh, Đức, Bungari, Rumani, Ấn Độ, Trung Quốc, Thái Lan, Lào, Indonesia, Nhật Bản, New Zealand, Mỹ, Canada, Tanzania và Nam Phi,…. Giun xoắn được phát hiện ở động vật nuôi trong nhà (chủ yếu là heo/ lợn) ở 43 nước chiếm 21,9% và khoảng 66 nước phát hiện ở động vật hoang dã (33,3%). Tại khu vực Đông Nam Á, có nhiều báo cáo dịch bệnh, đặc biệt ở Thái Lan (Khumjui và cs., 2008; Kusolsuk và cs., 2010) và Lào (Barennes và cs., 2008; Sayason và cs., 2006).
Tại Mỹ, hệ thống giám sát bệnh do ký sinh trùng này đã cho thấy tỷ lệ mắc mới số ca này đã giảm dần theo thông tin đã được báo về Trung tâm Phòng chống và Kiểm soát bệnh Mỹ (US.CDC):
+ Trong thời gian từ năm 1947-1951: Trung bình có 393 ca được báo cáo mỗi năm, bao gồm cả 57 tử vong có liên quan đến Trichinella spp;
+ Trong giai đoạn 1947-1981: có ít nhất 129 ca tử vong trong tổng số 7.415 ca nhiễm và 72 trường hợp nhiễm giun xoắn giai đoạn 1997-2001
+ Trong thời gian từ 1997-2001: Tỷ lệ mắc mới đã giảm còn 12 ca mỗi năm và không có ca tử vong. Sự giảm số ca nhiễm có liên quan đáng kể đến sự thay đổi nền công nghiệp chăn nuôi heo ở Mỹ dẫn đến giảm tỷ lệ mắc Trichinellaspp. trong số heo nuôi;
Hầu hết trường hợp liên quan đến việc ăn thịt động vật hoang dã (43%) mặc dù 17% số ca có liên quan đến các sản phẩm thịt lợn thương mại và 13% trường hợp khác liên quan đến sản phẩm thịt heo nuôi nhà. Tỷ lệ thịt lợn nội địa bị nhiễm bệnh tại Mỹ là 0,001%. Tuy nhiên, một tài liệu khám nghiệm tử thi nghiên cứu một tỷ lệ mới mắc 4% do nhiễm giun xoắn T. spiralis cũ.
Dữ liệu cũng cho thấy sự hiện diện T. murrelli ở gấu trúc Bắc Mỹ và chó sói Bắc Mỹ. Tại châu Mỹ Latinh và châu Á, thịt lợn nội địa là nguồn lây nhiễm chính, tỷ lệ nhiễm Trichinella spp. khoảng 20%.
Tại Trung Quốc, 566 vụ dịch đã được phát hiện từ năm 1964-2002, số bệnh nhân lên tới 25.685 và số người chết do giun xoắn Trichinella spp. là 241. Tại Thái Lan, trong vòng 27 năm qua đã có 120 vụ dịch được ghi nhận, khoảng 67.000 người nhiễm và 97 người tử vong. Ngoài ra, Trung tâm CDC của châu Âu và cơ quan có thẩm quyền về an toàn châu Âu đã báo cáo có 779 người mắc bệnh giun xoắn Trichinella spp. ở Liên minh châu Âu được tìm thấy trong các động vật trang trại và động vật hoang dã, đặc biệt là động vật hoang dã.

Hình 4
Theo số liệu của Tổ chức Y tế thế giới và Tổ chức Thú y thế giới mới nhất cho biết bệnh giun xoắn được phát hiện trên người tại ít nhất 58 quốc gia và vùng lãnh thổ. Trên vật nuôi mà chủ yếu là lợn có mặt ở ít nhất 45 quốc gia và ở 66 quốc gia có thói quen ăn thịt sống hoặc thịt tái. Trong thời gian hơn 30 năm, từ năm 1986-2009, trên thế giới đã phát hiện ít nhất 65.818 người nhiễm và nhiều trường hợp đã tử vong do tác nhân này.
Trong các ca nhiễm, tuổi mắc bệnh giun xoắn là tuổi trung niên và không có sự khác biệt có ý nghĩa về tỷ lệ nhiễm bệnh giữa giới tính nam và nữ.
Theo thống kê, hiện nay bệnh chủ yếu xuất hiện tại một số khu vực thuộc châu Á và Đông Âu, nơi mà còn một tỷ lệ cao người dân ăn thịt lợn sống, chưa nấu chín và công tác kiểm tra ATVSTP còn lỏng lẻo.
Tại Việt Nam
Trong thời gian từ 1970-2013, theo báo cáo của Viện Sốt rét-Ký sinh trùng-Côn trùng Trung ương cho biết tại các tỉnh miền núi phía Bắc, Việt Nam, có năm vụ dịch bùng phát của bệnh giun xoắn trên người. Các vụ dịch tập trung tại tỉnh Yên Bái, Sơn La, Điện Biên và Thanh Hóa. Nguyên nhân do hầu hết người dân và cán bộ y tế tuyến cơ sở chưa có kiến thức đầy đủ về bệnh giun xoắn và thiếu trang thiết bị để chẩn đoán tại bệnh viện tuyến tỉnh và huyện.
Tại Việt Nam, bệnh giun xoắn do T.spiralis gây nên đã được phát hiện ít nhất 6 ổ bệnh với trên 126 bệnh nhân và 8 người tử vong. Tháng 2 năm 2012, tại huyện Mường Lát, tỉnh Thanh Hóa có trên 27 người mắc bệnh, trong đó có 6 bệnh nhân chuyển về Hà Nội và 2 bệnh nhân sinh thiết có ấu trùng trong cơ. Xét nghiệm huyết thanh học (ELISA) phát hiện kháng thể kháng giun xoắn) cho kết quả dương tính 7,4% (18/242 người xét nghiệm).
Người ăn thịt lợn có chứa ấu trùng giun xoắn chưa nấu chín tại địa phương nên bị mắc bệnh giun xoắn. Điều tra trên lợn tại địa phương có mang ấu trùng giun xoắn. Tỷ lệ lợn dương tính với kháng thể kháng giun xoắn (anti-Trichinella spiralis) bằng phương pháp ELISA là 6,7%. Phát hiện lợn dương tính với giun xoắn tại bản Suối Phái, nơi lợn mắc bệnh bị xẻ thịt đem bán và cả bản lân cận là Poọng - xã Tam Dương, cho thấy nguồn bệnh vẫn tồn tại ở các khu vực này và còn có thể lan rộng hơn (báo cáo của Viện Sốt rét-Ký sinh trùng-Côn trùng Trung ương).
Tất cả các vụ dịch bệnh giun xoắn xảy ra tại Việt Nam đều lẻ tẻ, mang tính địa phương, bệnh nhân liên quan đến ăn các món ăn lạp, chạo, nem, món ăn truyền thống của địa phương. Những người ăn có triệu chứng giống nhau là co rút cơ và nhiễm độc. Do chẩn đoán muộn, nên khi nhập viện thường trong tình trạng nặng. Bệnh giun xoắn có tính chất ổ bệnh tự nhiên ở miền núi, dân tộc ít người, nếu có những hiểu biết về bệnh trong cộng đồng và nhân viên y tế thì sẽ tránh được những vụ dịch và tử vong.
Một vài dữ liệu thu thập được đến nay chỉ mang tính rải rác (sporadic cases), các vụ dịch nhỏ hay báo cáo ca bệnh tại cơ sở điều trị như bệnh viện huyện trở lên đến tuyến trung ương. Số liệu thống kê của bệnh giun xoắn, số người chết và số súc vật bị nhiễm bệnh khi có dịch xảy ra tại địa bàn trong thời điểm dịch là số liệu báo cáo thực (real-time data) dựa trên các ổ bệnh xảy ra, nhất là các vùng miền núi phía bắc như Yên Bái, Sơn La, Điện Biên, Lai Châu, Thanh Hóa,…do họ ăn các món ăn địa phương gồm nem chạo, nem chua, lạp và nhóm lợn hay thả rông gồm lợn cỏ, lợn thả rông:
-Năm 2012: Tại huyện Mường Lát, tỉnh Thanh Hóa có một vụ dịch giun xoắn T. spiralis với 27 người mắc, trong đó có 6 bệnh nhân chuyển về các bệnh viện tuyến trung ương ở Hà Nội và 2 bệnh nhân sinh thiết có ấu trùng T. spiralis trong cơ;
-Năm 2013-2014: Tại một số tỉnh Tây Nguyên như Gia Lai và Đăk Lăk đã có báo cáo một số ca nhiễm giun xoắn T. spiralis (có loạt ca bệnh lên đến 12 người) chuyển đến Bệnh viện Bệnh nhiệt đới Thành phố Hồ Chí Minh trong tình trạng nặng sau khi ăn thịt con nưa. Con nưa là loài bò sát ít gặp hơn trăn, thường hay gặp ở Tây Nguyên.
Theo kinh nghiệm của người đi rừng lâu năm và các già làng cho biết con nưa có hình dạng bên ngoài rất giống con trăn, nhưng lại độc như rắn. Con nưa có 2 sợi râu dài có chất sệt màu trắng rất độc. Chúng phun chất độc từ 2 râu này để bảo vệ hoặc giết con mồi. Nưa ngoài 2 lỗ mũi chính còn có 7 lỗ hô hấp khác, vẻ ngoài giống với trăn nên dân hay gọi là trăn 9 mũi.

Hình 5
Bề ngoài nưa trông chẳng khác gì trăn nhưng điểm phân biệt chính là mùi của nó rất hôi như xác chết lâu ngày. Con nưa thường trú trong các bọng cây ở vùng rừng ẩm ướt, trong khi trăn lại sống trong hang hốc. Đầu con trăn thường bò sát đất còn đầu con nưa khi trườn thì ngóc lên, răng nưa còn chứa đầy độc tố. Ban đêm, con nưa thở phì phò, phì ra khí rất độc, nhất là đối với trẻ em. Đặc biệt là trong máu và mật sẽ của con nưa chứa nhiều ấu trùng của giun Trichinella spp. này và lây sang người nếu không thực hiện việc ăn chín, uống sôi. Hiện thông tin về nưa còn hạn chế, rất ít người biết con vật này. Song, cũng như các động vật hoang dã khác, chúng có thể chứa độc tố, khi con người ăn phải dẫn tới các phản ứng ngộ độc. Cơ chế tương tự như nọc độc của cóc. Trên lâm sàng, khi nhiễm độc các chất trong thịt và huyết, mật của con nưa có thể biểu hiện dưới dạng nhiễm trùng nhiễm độc rất rõ ràng như một bệnh cảnh ngộ độc tiêu hóa. Do đó, tốt nhất, người dân cần cảnh giác với loài động vật hoang dã này.
-Năm 2017: Tại xã Mù Cả, huyện Mường Tè, tỉnh Lai Châu người dân làm thịt lợn bệnh chế biến tiết canh, gỏi sống để ăn và đã có 5 người nhập viện, 1 người tử vong do bị nhiễm giun xoắn T. spiralis. Trước đó, cũng có nhiều trường hợp nguy kịch và tử vong do ăn tiết canh, gỏi, nem, lạp xưởng, thịt hun khói chế biến còn ở dạng sống bị nhiễm giun xoắn T. spiralis đã được ghi nhận tại một số địa phương;
Đến nay, vẫn chưa có nhiều nghiên cứu về dịch tễ học để đánh giá một cách tổng thể khía cạnh liên quan đến giun xoắn này cũng như tìm hiểu về sự lưu hành hay diễn biến của bệnh giun xoắn trong cộng đồng. Đặc biệt, các điều tra đánh giá liên quan đến kiến thức, thái độ, thực hành ở cộng đồng dân cư đối với bệnh nhiễm giun xoắn còn chưa được thường xuyên và đầy đủ.
Ý thức của người dân, đặc biệt là người dân ở vùng sâu, vùng xa, đồng bào người dân tộc ít người vẫn chưa nhận thức đầy đủ được những tác hại của bệnh giun xoắn cũng như cách phòng chống là những khoảng trống cần nghiên cứu trong thời gian đến.
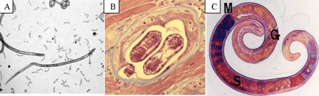
Hình thái học giun xoắn T. spiralis
Con đực trưởng thành có kích thước 1,5 x 0,05 mm, con cái trưởng thành có kích thước 3,5 x 0,06 mm. Sau khi giao phối 5-6 ngày, con cái đẻ ấu trùng non hay ấu trùng giai đoạn 1 (L1). Một con cái trưởng thành có thể đẻ 500-1.500 ấu trùng non.
Số lượng ấu trùng non được sinh ra tùy thuộc vào tình trạng miễn dịch của vật chủ, loài mắc bệnh và loài giun xoắn nhiễm phải.
Một số tác giả ghi nhận và mô tả, giun đực T. spiralis có kích thước dài từ 1,4-1,6 mm và đoạn trước phẳng hơn đoạn sau. Hậu môn của giun có thể nhìn thấy trong đoạn cuối và chúng có một túi giả lớn để giao cấu trên mỗi bên cơ thể.
Con cái T. spiralis có kích thước gấp đôi con đực và cũng có hậu môn đoạn cuối con giun. Âm hộ nằm ở gần thực quản. Tử cung của con cái chứa đầy trứng đang phát triển ở đoạn sau của giun, trong khi đó đoạn trước chứa đầy các ấu trùng còn non.
Tác nhân gây bệnh
Theo phân loại khoa học, giun xoắn thuộc giới Animalia, ngành Nematodes, lớp Nematoda, bộ Enoplida, họ Trichinellidea, giống Trichinella và ít nhất có 8 loài được ghi nhận.
Hiện nay, 8 loài và 4 kiểu gen của Trichinella spp. được phân loại dựa trên dữ liệu di truyền, sinh hóa và sinh học. Bảng dưới đây mô tả về sự phân bố, vật chủ chứa chính, khả năng lây nhiễm và sự đề kháng hay chịu đựng với đông lạnh của 8 loài Trichinella spp.
Bảng 1. Đặc điểm sinh học và phân bố địa lý các loài giun xoắn Trichinella spp.
Loài Trichinella spp. | Diện phân bố | Vật chủ | Mức độ lây nhiễm* | Sức chịu đựng đông lạnh |
T. spiralis | Toàn cầu | Lợn, chuột và động vật có vú hoang dại | Cao | Không |
T. nativa | Bắc cực, xứ lạnh | Gấu, sói, ngựa,... | Vừa | Cao |
T. britovi | Ôn đới | Lợn rừng và động vật có vú hoang dại | Thấp | Không |
T. pseudospiralis | Toàn cầu | Chim, lợn và động vật có vú hoang dại | Thấp | Không |
T. murrelli | Ôn đới, Bắc cực | Gấu và động vật có vú hoang dại | Vừa | Thấp |
T. nelsoni | Nhiệt đới | Lợn rừng, mèo châu Phi | Thấp | Không |
T. papuae | Papua New Guinea | Lợn rừng, cá sấu châu Phi | Thấp | Không |
T. zimbabwensis | Trung Phi | Sư tử, cá sấu | Đang nghiên cứu | Không |
* Mức độ lây nhiễm giữa người và động vật
Giải mã bộ gen của giun xoắn Trichinella spriralis
Năm 2014, các nhà nghiên cứu thuộc khoa Y, Đại học Washington (Mỹ) đã giải mã được bộ gen của loại ký sinh trùng giun xoắn Trichinella spp. Sau khi tiến hành phân tích bộ gen, các nhà nghiên cứu cho biết nhiều đặc điểm chưa từng được biết đến của loài ký sinh trùng T. spiralis đã được khám phá, từ đây mở đường cho việc nghiên cứu phương pháp chẩn đoán và loại thuốc mới điều trị. Công trình nghiên cứu đã được đăng trên Tạp chí Nature Genetics.
Từ lâu, bệnh do giun xoắn T. spiralisđã không còn là mối lo ngại tại một số quốc gia phát triển, song tại nhiều nơi khác trên thế giới có ước tính lên tới 11 triệu người mắc căn bệnh này. Hiện tại, kết quả điều trị bệnh nhân phụ thuộc nhiều vào việc phát hiện, chẩn đoán sớm và điều trị kịp thời.

Hình 6
Giáo sư Makedonka Mitreva, trưởng nhóm nghiên cứu thuộc Trung tâm Nghiên cứu Di truyền - Đại học Washington (Mỹ) cho biết ấu trùng của T. spiralis mất khoảng hai tuần để di chuyển từ ruột đến các cơ, nơi mà ở đó chúng tồn tại và phát triển tiếp. Các loại thuốc điều trị sẽ ít hiệu quả hơn một khi ấu trùng đã xâm nhập vào các cơ. Đây là loại bệnh ít khi gây tử vong cho con người, nhưng người mắc phải căn bệnh này sẽ thường xuyên bị các cơn đau dai dẳng ở các cơ hay cơ thể rất mệt mỏi.
Ngoài ra, các nhà khoa học còn cho biết nghiên cứu này có nhiều điều mới khác, rất có giá trị. T. spiralis chỉ là một trong hàng nghìn loại giun sán gây bệnh ở người và động vật. Theo Tổ chức Y tế thế giới (TCYTTG), có khoảng 1/3 dân số trên thế giới bị nhiễm các loại ký sinh trùng gây bệnh và đã có trên 300 triệu người mắc các chứng bệnh nghiêm trọng từ các ký sinh trùng giun sán này. Những thiệt hại và ngân sách đầu tư cho các chương trình phòng chống các bệnh ký sinh trùng của thế giới lên đến nhiều tỷ USD mỗi năm.
Trong số nhóm các loại giun tròn gây bệnh, giun xoắn T. spiralis phân nhánh khá sớm, khoảng 6 đến 7 trăm triệu năm, trước cả Caenorhabditis elegans (C. elegans) - một loại sinh vật tương tự được dùng để phục vụ công tác nghiên cứu trong các phòng thí nghiệm. Đến nay, đã có khoảng 10 hệ gen của loài giun tròn được giải mã, bao gồm 5 loại giun gây bệnh ở người. Hệ gen của T. spiralis đã bổ sung thêm vào danh sách này, cho phép các nhà khoa học tiếp tục nghiên cứu các cá thể khác trong nhóm. T. spiralis là một mắc xích quan trọng trong bản đồ tiến hóa của lớp giun tròn, giải mã được hệ gen của T. spiralis sẽ giúp chúng ta có thể nắm thêm những kiến thức còn bỏ ngõ về nhóm tác nhân gây bệnh này - Giáo sư Richard K. Wilson, giám đốc Trung tâm Nghiên cứu di truyền của Đại học Washington cho biết.

Hình 7
So sánh hệ gen của các loại giun tròn với nhau, sẽ nhận thấy có một số đặc điểm chính trong cấu trúc phân tử mà nhờ đó chúng ta sẽ nghiên cứu được một loại thuốc có thể phát huy hiệu quả trong điều trị nhiều loài giun tròn gây bệnh.
Nhìn chung, bộ gen của giun xoắn T. spiralis có số lượng gen ít hơn của C. elegans (15.808 gen so với C. elegans là 20.000). Ngoài ra, nghiên cứu còn nhận thấy khoảng 45% các gen của T. spiralis được cho là chưa từng được biết đến, chúng hoàn toàn mới lạ khi so sánh với các cơ sở dữ liệu về gen trong ngân hàng gen.
Các nhà nghiên cứu cho rằng sự phân nhánh sớm trong quá trình tiến hóa hay kiểu sống đặc trưng của loài giun này không có khả năng tồn tại bên ngoài cơ thể vật chủ nên có thể nó đã tạo ra các gen còn bí ẩn cho đến nay.
Các nhà nghiên cứu cũng đã phát hiện có đến 274 các loại protein liên quan với nhau có trong hầu hết giun tròn, nhưng tuyệt nhiên không tồn tại trong các loài khác, kể cả con người.
Bộ gen của T. spiralis hiện đã có phân tích sẵn và công bố bản thô ban đầu với kích thước bộ gen là 58.55 Mbp với ước tính gồm 16.549 gen. Bộ gen T. spiralis này được coi là bộ gen giun tròn duy nhất có bản chất DNA methylation, theo cơ chế epigenetic không nghĩ đến trước đây. Ngoài ra, nghiên cứu còn nhận thấy có 64 loại protein chỉ có ở các loài giun tròn gây bệnh. Điều này tạo ra các cơ hội tốt cho các nhà khoa học trong nghiên cứu sâu hơn về các đặc trưng của các loại giun tròn gây bệnh để có thể tìm ra các loại thuốc điều trị mới, hiệu quả hơn.

Hình 8
Một khi các loại thuốc điều trị mới này chỉ tác động lên các phần tử đặc trưng của ký sinh trùng gây bệnh thì những tác dụng phụ của thuốc đối với cơ thể người sẽ được giảm bớt, độ độc hại cũng giảm đáng kể.
Sự hình thành tế bào nuôi dưỡng (Nurse cell formation)
Loài giun này là một ký sinh tùng đa bào sống trong tế bào cơ đơn thuần để phục vụ nhu cầu mục đích ấu trùng phát triển ra xung quanh. Sự hình thành thành các tế bào nuôi dưỡng trong mô cơ xương thông qua trung gian bởi môi trừơng thiếu khí mà xung quanh có hình thành mạch máu mới.
Môi trường xung quanh thiếu khí sẽ kích thích tế bào cơ điều hòa ngược và tiết các cytokine tăng sinh mạch như yếu tố phát triển nội mô mạch máu (vascular endothelial growth factor-VEGF).
Điều này cho phép ấu trùng T. spiralis di chuyển vào trong các bạch cầu mono và sinh ra sự chuyển dạng thành các tế bào nuôi dưỡng. Sự trình diện các yếu tố VEGF được phát hiện quanh tế bào nuôi dững ngay sau khi hình thành tế bào nuôi dưỡng và quá trình tiêt tiếp tục các VEGF có thể duy trì tình trạng hằng định của thiếu khí.

Hình 9
Chu kỳ phát triển giun xoắn T. spiralis
Bệnh do giun xoắn T. spiralis thường lây truyền giữa các loài động vật khác nhau và người. Trên động vật, các loài thường mắc bệnh như động vật hoang dã, lợn, chuột, chim, cá sấu. Chuột được coi là nguồn lưu trữ và phát tán mầm bệnh (reservoir). Ấu trùng giun xoắn có thể tồn tại trong cơ thể người tới 30-40 năm và trên động vật khoảng 20 năm. Ấu trùng giun xoắn tồn tại ở một trong hai chu trình chính:
Chu trình vòng đời có sự tham gia của động vật nuôi và chu trình có sự tham gia của động vật hoang dã.
Chu kỳ sinh trưởng và phát triển của giun xoắn T. spiralis phát triển trực tiếp trong một vật chủ và không có vật chủ trung gian. Người có thể nhiễm bệnh giun xoắn từ hai chu trình trên. Lợn/ heo là động vật liên quan phổ biến nhất với bệnh giun xoắn. Tùy thuộc khu vực, sẽ có các loài động vật khác nhau như hải mã, hải cẩu, gấu, gấu bắc cực, mèo, gấu trúc bắc Mỹ, chó sói, cáo cũng có thể bị nhiễm bệnh.
Trên người, triệu chứng chính của giai đoạn ấu trùng trong đường tiêu hóa là đau bụng và rối loạn tiêu hóa; giai đoạn trong cơ là các biểu hiện như sốt, đau cơ, cơ hàm cứng, phù vùng mặt nhất là vùng mắt. Ngoài các biểu hiện triệu chứng lâm sàng, số lượng bạch cầu ái toan (BCAT) trong máu tăng cao.
Đến nay, các nhà khoa học cũng chỉ xác nhận vòng đời phát triển của giun xoắn T. spiralis chia làm 2 giai đoạn:
-Giai đoạn trong đường tiêu hóa:Khi vật chủ ăn thịt sống hoặc tái có chứa ấu trùng giun xoắn T. spiralis, trong môi trường dịch dạ dày của vật chủ, ấu trùng T. spiralis sẽ được giải phóng tự do di chuyển vào ruột non và xâm nhập niêm mạc ruột. Sau 4 lần biến đổi (rụng lông, thay lông) trong khoảng thời gian từ 30-36 giờ, chúng phát triển thành giun T. spiralis trưởng thành.
-Giai đoạn trong cơ:Ấu trùng mới sau khi được sản sinh, xâm nhập vào hệ bạch huyết và di chuyển theo tuần hoàn máu đến các cơ vân có nhiều mạch máu, ở đó được cấp máu đầy đủ nhất. Ký sinh trùng T. spiralis có ái tính với hầu hết nhóm cơ hoạt động chuyển hóa tích cực như cơ lưỡi, cơ hoành, cơ nhai, cơ liên sườn, cơ thanh quản, cơ ngoại chuyển mắt, cơ vùng gáy, cơ ngực, cơ delta, cơ mông, cơ bắp tay, cơ chân.
Trong các mô khác ngoài cơ vân, như cơ tim và não, các ấu trùng này bị tan ra, gây hiện tượng viêm dữ dội, sau đó được tái hấp thu. Tại các cơ vân, ấu trùng tiếp tục phát triển trong vòng 2-3 tuần tiếp theo cho đến khi chúng đạt đến giai đoạn phát triển đầy đủ (giai đoạn ấu trùng có thể gây nhiễm L1) và tăng kích cỡ lên gấp 10 lần. Các ấu trùng này cuộn lại và ở một số loài, các nang kén sẽ hình thành ở giai đoạn này (ngoại trừ các loài T. pseudospiralis, T. papuae và T. zimbabwensis).
Chu trình hoàn thành mất 17-21 ngày. Chu kỳ sống hoàn tất khi một vật chủ khác ăn thịt bị nhiễm ấu trùng giun xoắn.
Các yếu tố nguy cơ hoặc liên quan gây bệnh giun xoắn
-Tất cả mọi nhóm tuổi và giới tính đều có thể mắc, không phân biệt giới tính. Tuy nhiên, nhóm tuổi trung niên và thanh niên hay gặp nhất, có thể đây là nhóm tuổi thường tham gia ăn uống liên quan đến nguồn bệnh. Trẻ em có khả năng đề kháng với nhiễm giun xoắn hơn. Tuy nhiên các triệu chứng của chúng có thể nặng hơn và trẻ em cũng có ít biến chứng, phục hồi bệnh nhanh hơn so với các nhóm khác qua một vài nghiên cứu;
-Thói quen và tập quán ăn uống do thích ăn các loại thịt lợn còn tái, sống, chưa chế biến kỹ;
-Phương pháp bảo quản thực phẩm và chế biến thịt lợn tái, sống chưa thích hợp;
-Phương thức chăn nuôi lợn/ heo thả rông hoặc bán thả rông của một số nhóm dân tộc bản địa;
-Hành vi con người: Sở thích ăn thịt thú rừng, tình trạng săn bắn và mua bán thú rừng không qua kiểm soát. Trong quá trình săn bắn bỏ các sản phẩm thịt thừa ra môi trường;
-Một số nhóm đồng bào với sự hiểu biết về bệnh và con đường lây truyền còn hạn chế;
-Liên quan đến đặc điểm dịch tễ học có mắc xích là bệnh xảy ra thường trên một nhóm người trước đó có tham gia các lễ, hội của địa phương, tập trung ăn uống nhiều người và xảy ra dạng loạt ca bệnh đồng thời;
-Nhóm cơ địa đặc biệt: Triệu chứng bệnh giun xoắn ở phụ nữ mang thai nhẹ hơn với những người không mang thai; Song, có ghi nhận về trường hợp sẩy thai hoặc thai chết lưu. Các triệu chứng của bệnh giun xoắn nặng một cách điển hình ở các phụ nữ đang cho con bú hơn là phụ nữ không cho con bú. Lý do tại sao lại có điều này đến nay vẫn còn đang tranh luận.
Liều gây nhiễm, tiến trình ủ bệnh và ký sinh của T. spiralis
Liều nhiễm trùng của bệnh do Trichinella spp. đến nay vẫn chưa biết rõ, song ước tính trước đây khoảng 100-300 nang sống sẽ đủ gây ra bệnh. Nhiễm trùng nặng có thể do nhiễm phải khoảng 1.000 ấu trùng. Tuy nhiên, ước tính này chưa có cơ sở khoa học.
Phát triển và định vị của T. spiralis diễn ra toàn bộ bên trong vật chủ với hai giai đoạn ấu trùng và 1 giai đoạn trưởng thành.
Khi một vật chủ nuốt phải mầm bệnh, ấu trùng sẽ mất 1-7 ngày để phát triển thành thể trưởng thành trong hệ tiêu hóa. Các triệu chứng dạ dày tiêu hóa của bệnh sẽ xảy ra trong thời gian này. Giai đoạn ủ bệnh của ấu trùng bên trong mô vật chủ có thể mất từ 1-8 tuần. Tụy nhiên, ấu trùng đóng kén có thể tồn tại trong vật chủ trong nhiều tháng, thậm chí nhiều năm. Giai đoạn ủ bệnh thay đổi tùy thuộc vào mức độ trầm trọng của bệnh và liều nhiễm ban đầu.
Quá trình ký sinh bắt đầu khi vật chủ ăn phải kén/ nang chứa ấu trùng. Trong quá trình tiêu hóa, thành phần dịch vị như acid hydrochloric hoàn tan vách của nang/ kén của giun. Ấu trùng được giải phóng sẽ đi qua dạ dày và xâm nhập vào biểu mô thành ruột non. Một khi hình thành, ấu trùng sẽ tiến hành 4 lần lột xác và chuyển thành giun trưởng thành và có thể thụ tinh. Con cái có thể đẻ từ 500-1.500 ấu trùng trước khi chúng phóng thích khỏi cơ thể vật chủ qua phân. Các ấu trùng rói sẽ di chuyển qua thành ruột non và đi đến các phần cờn lại của cơ thể vật chủ theo đường mạch máu và bạch mạch, nhất là các cơ vân.
Cơ chế chính xác của sự chuyển vận qua ruột non vẫn chưa hiểu thấu đáo. Một khi ấu trùng giun T. spiralis xâm nhập vào các tế bào cơ riêng lẻ, chúng sẽ điều chỉnh chức năng tế bào để định vị và lấy chất dinh dưỡng từ trong tế bào vật chủ theo cơ chế của các tế bào nuôi dưỡng và cơ chế này đến nay vẫn chưa hiểu hết.
Các tế bào nuôi dưỡng sẽ dừng chu kỳ của chúng khi giun kích thích hình thành mạch máu mới quanh tế bào của vật chủ phục vụ cho mục đích dinh dưỡng. Các ấu trùng T. spiralis cũng sẽ tự nó đóng kén trong quá trình phát triển. Nói chung, giai đoạn ủ bệnh này có thể kéo dài 15 ngày. Tuy nhiên, điều này cũng dựa trên và tùy thuộc vào mức độ trầm trọng của nhiễm trùng.
Nếu không điều trị, các ấu trùng này sẽ vẫn tồn tại trong các tế bào nuôi dưỡng càng dàu, có trường hợp lên đến 40 năm.

Hình 10
Tác động của nhiễm trùng Trichinella spp. lên kinh tế
Các thay đổi về mặt kinh tế gây ra do sự tăng tỷ lệ mắc bệnh ký sinh trùng này tại nhiều quốc gia châu Âu. Điều này cho thấy công nghệ thực phẩm thịt tại các quốc gia châu Âu sẽ phức tạp và ảnh hưởng đến quy trình xuất khẩu chế phẩm thịt heo ra khỏi các quốc gia này. Cộng đồng châu Âu đề nghị một điều luật mới cho an toàn thực phẩm trong thời gian gần đây.
Nhập khẩu thịt heo không hợp pháp từ những nơi có tiêu chuẩn an toàn thực phẩm thấp sẽ cho phép lan rộng nhiễm ký sinh trùng từ các vùng bệnh lưu hành sang các vùng không không lưu hành. Nhập khẩu bất hợp pháp và thực hành an toàn vệ sinh thực phẩm không tốt cũng dẫn đến các vụ dịch bệnh do Trichinella spp. ở người tại một số quốc gia châu Âu như Đan Mạch, Đức, Ý, Tây Ban Nha, Anh.
Chi phí kinh tế để phát hiện bệnh có thể là một gánh nặng đáng kể. Vào năm 1998, người ta ước tính khoảng 3 USD/ con heo để phát hiện ký sinh trùng này. Để kiểm soát bệnh nhiễm trùng Trichinella spp., các quốc gia châu Âu đã loại bỏ 190 triệu con heo, dẫn đến thiệt hại kinh tế gần 570 triệu USD mỗi năm.
Các yếu tố độc lực và đáp ứng miễn dịch vật chủ
Bản chất độc lực của giun T. spiralis có thể góp phần vào việc tạp vỏ bao quanh ấu trùng trong suốt quá trình lan truyền cũng như một số lượng ấu trùng caomà một con cái sinh ra trong ruột. Vỏ là một đặc điểm dùng để phân biệt hai clade trong giống Trichinella.
Vỏ được coi là một lợi điểm của giun trong sinh bệnh học, cho phép chúng sống sót trong điều kiệnnhiệt độ cao đến 700C. Vỏ cũng bảo vệ giun khỏi nhiệt độ đông lạnh để kéo dài thời gian.
Lợi điểm bổ sung của vỏ ngoài của giun còn giúp chúng có khả năng sống trong các cơ thể động vật bị hủy và đã chết trong một thời gian dài có thể kéo dài 4 tháng. Các loài khác của Trichinella spp. thiếu lớp vỏ này như loài T. papuae thì chỉ có thể tồn tại 9 ngày trong các mẫu thịt đang bị thối rửa.
Đặc tính này của T. spiralis là một tế bào nuôi dưỡng phát triển trong hệ cơ-xương có vân. Các thương tổn trực tiếp trên tế bào vật chủ do thâm nhiễm giun cũng như do đáp ứng viêm sinh ra. Sự sản sinh quá mức các tế bào viêm của vật chủ dẫn đến oxy tái hoạt quá mức, tạo nên các sang chấn oxi hóa bên trong tế bào và cân bàng nội mô đang bị phá hủy. Các tế bào nuôi dưỡng bị bao quanh bởi một lớp vỏ bao gồm cả collagen, điều này tiết ra bởi các tế bào vật chủ. Sự tạo ra lớp vỏ được biết như một cơ chế sinh nang (cystogenesis).
Cơ chế chính xác để kiến tạo nên tế bào nuôi dưỡng tiếp tục vẫn là một bí ẩn. Tuy nhiên, các nhà khoa học tạo ra lý thuyết tế bào vật chủ thực hiện tái tạo thế hệ dựa trên đặc tính tương tự về mặt sinh hóa giữa hai quá trình. Trong suốt quá trình xâm nhập ban đầu của giun vào trong các tế bào cơ của vật chủ, các tế bào vệ tinh nằm bên trong lớp vỏ sẽ hoạt hóa và bắt đầu quá trình tăng sinh.
Tụy nhiên, trong suốt quá trình nhiễm này, các tế bào vệ tinh sẽ làm chủ trong sự phát triển của tế bào nuôi dưỡng ký sinh trùng thay vì trưởng thành trong một tế bào cơ mới. Điều này gây ra bởi sự can thiệp con đường các protein điều hòa tín hiệu hình V, gồm cả MRF4. Sự khử biệt hóa của các tế bào vệ sinh hay tế bào kèm làm thay đổi hình thái học và bộ gen của tế bào vật chủ, điều đó tạo dựng một môi trường phù hợp cho phát triển của giun.
Để thu được chất dinh dưỡng, giun sẽ kích động một tình trạng gây độc thiếu khí bên trong phức hợp tế bào nuôi dưỡng, bằng cách ấu gây ra các yếu tố phát triển nội mô mạch máu (vascular endothelial growth factor), còn gọi là VEGF. Protein tín hiệu này thường kích thích trong tổn thương để hỗ trợ chữa lành vết thương, sẽ kích thích hình thành mạch máu quanh tế bào nuôi dưỡng.
Mức độ VEGF cao nhất trong suốt giai đoạn ủ bệnh của các ấu trùng, đặc biệt ở ngày thứ 15. Mức độ thấp hơn hằng định của protein cũng sẽ thúc đẩy sinh ra khả năng dãn mạch và tăng tính thấm mạch máu. Do đó, giun sẽ lấy thêm chất dinh dưỡng và loại bỏ chất thải nhanh hơn.
Các nghiên cứu thêm sau đó đã cho thấy T. spiralis tiết các phân tử parakine tương tự cytokines để chuyển tải thông tin bên trong tế bào vật chủ. Điều này cần thiết để phát triển các tế bào nuôi dưỡng cũng như sự tồn tại của tác nhân gây bệnh bên trong. Giun có thể sống sót trong tế bào nuôi dưỡngđến 40 năm vì tiết sinh tín hiệu. Khi phức hợp tế bào nuôi dưỡng chết, giun T. spiralis gây ra các tế bào kèm để tạo ra thế hệ các tế bào nuôi dưỡng mới.
Tài liệu tham khảo
1.Bộ Y tế (2016). Bệnh giun xoắn (Trichinellosis). Định nghĩa trường hợp Bệnh truyền nhiễm do Bộ Y tế ban hành kèm theo Quyết định số 4283/QĐ-BYT ra ngày 08 tháng 8 năm 2016.
2.Xiaolei Liu, Yanxia Song, Ning Jiang, Jielin Wang, Bin Tang et al., (2012). Global gene expression analysis of the zoonotic parasite Trichinella spiralis revealed novel genes in host parasite interaction. PLoS Negl Trop Dis. 6: e1794.
3.Roberts, Larry S., John Janovay et al., (2005). Foundations of Parasitology (7th ed.). New York: McGraw-Hill. pp. 405-407.
4.Crowley, Leonard et al., (2009). An Introduction to Human Disease: Pathology and pathophysiology correlations (8th ed.). Jones and Bartlett.
5.Fong GH (2008). Mechanism of adaptative angiogenesis to tissue hypoxia. Angiogenesis. 11: 121-140.
6.Capo VA, Despommier DD, Polvere RI et al., (1998). Trichinella spiralis: vascular endothelial growth factor is up-regulated within the nurse cell during the early phase of its formation. J. Parasitol. 84: 209-214.
7.Novo E, Cannito S, Zamara E, Valfre di Bonzo L, Caligiuri A, Cravanzola C, et al.(2007). Proangiogenic cytokines as hypoxia-dependent factors stimulating migration of human hepatic stellate cells. Am. J. Pathol. 170: 1942-1953.
8.Roy, Sharon L., Adriana S. Lopez, Peter M. Schantz (2002). Trichinellosis surveillance, United States, 1997-2001. Center for Disease Control.
9.Epidemiology of Trichinella. http://www.trichinella.org. Retrieved 2016-05-05.
10.Gottstein, Bruno; Pozio, Edoardo; Nöckler, Karsten (2009). Epidemiology, diagnosis, treatment, and control of trichinellosis. Clinical Microbiology Reviews. 22(1):127-145.
11.Trichinella spiralis. Genome. NCBI. Retrieved 2012-04-19.
12.Mitreva M, Jasmer DP, Zarlenga DS, Wang Z, Abubucker S et al., (2011). The draft genome of the parasitic nematode Trichinella spiralis. Nat. Genet. 43(3): 228-235.
13.Gao F, Liu X, Wu XP, Wang XL, Gong D, Lu H, Xia Y et al., (2012). Differential DNA methylation in discrete developmental stages of the parasitic nematode Trichinella spiralis. Genome Biol. 13 (10): R100.
14.Jonathan I. Andrade-Becerra, Ericka N. Pompa-Mera et al., (2017). Vaccination against Trichinella spiralis: Potential, limitations and future directions. http://dx.doi.org/10.5772/66499
15.Morbidity and Mortality Weekly Report (MMWR). Two Outbreaks of Trichinellosis linked to consumption of walrus meat-Alaska, 2016-2017.
16.Morbidity and Mortality Weekly Report (MMWR). Trichinellosis Surveillance-United States, 2008-2012.
17.Morbidity and Mortality Weekly Report (MMWR). Notes from the Field: Trichinellosis caused by consumption of wild boar meat-Illinois, 2013.
18.Morbidity and Mortality Weekly Report (MMWR). Trichinellosis Surveillance-United States, 2002-2007.
19.Morbidity and Mortality Weekly Report (MMWR).Trichinellosis surveillance-United States, 1997-2001.
20.Morbidity and Mortality Weekly Report (MMWR). Summary of Notifiable Diseases-United States, 2010
21.Barnes, R. 1987. Invertebrate Zoology. Orlando, Florida: Dryden Press.
22.Lapage, G. 1957. Parasitic Animals. Cambridge at the University Press.
23.Lukashenko, N. (1966). The Epizootology of Trichinellosis: Contributions to Helminthology. Jerusalem: Israel Program for Scientific Translations Ltd.
24.Ohio State University (2004). Trichinella spiralis: Parasites and parasitological resources. http://www.biosci.ohio-state.edu/.
25.Wassom, D. (1988). Genetic control of immunity to parasite infections: Studies of Trichinella-infected mice. The biology of parasitism. MBL Lectures in Biology Vol. 9. New York: Alan R. Liss Inc.
26.Dupouy-Camet J. (2000). Trichinellosis: A worldwide zoonosis. Vet Parasitol, 93(3-4):191-200.
27.Pozio E et al., (1998). Trichinellosis in the European union: Epidemiology, ecology and economic impact. Parasitol Today, 14(1):35-8.
28.Murrell KD, Pozio E. (2006). Systematics and epidemiology of Trichinella. Adv Parasitol. 2006. 63:367.
29.Kennedy ED, Hall RL, Montgomery SP et al., (2009). Trichinellosis surveillance United States, 2002-2007. MMWR Surveill Summ, 58(9):1-7.
30.Hall RL, Lindsay A, Hammond C, Montgomery SP et al., (2012). Outbreak of human trichinellosis in Northern California caused by Trichinella murrelli. Am J Trop Med Hyg, 87(2):297-302.
31.Hill DE, Samuel MD, Nolden CA, Sundar N (2008). Trichinella murrelli in scavenging mammals from South-Central Wisconsin, USA. J Wildl Dis, 44(3):629-35.
32.Blaga R, Durand B, Antoniu S, Gherman C, Cretu CM, Cozma V (2007). A dramatic increase in the incidence of human trichinellosis in Romania over the past 25 years: impact of political changes and regional food habits. Am J Trop Med Hyg, 76(5):983-6..
33.Glatz K, Danka J, Tombácz Z, Bányai T, Szilágyi A, Kucsera I (2012). An outbreak of trichinellosis in Hungary. Acta Microbiol Immunol Hung, 59(2):225-38.
34.Westrell T, Ciampa N, Boelaert F, Helwigh B, Korsgaard H (2009). Zoonotic infections in Europe in 2007: A summary of the EFSA-ECDC annual report. Euro Surveill, 14(3).
35.Mukaratirwa S, La Grange L, Pfukenyi DM et al., (2013). Trichinella infections in animals and humans in sub-Saharan Africa: A review. Acta Trop, 125(1):82-9.
36.Bruschi F et al., (2012). Trichinellosis in developing countries: Is it neglected? J Infect Dev Ctries, 6(3):216-22.
37.Pozio E et al., (2007). Taxonomy, biology and epidemiology of Trichinella parasites. World Organisation for Animal Health Press. 2007.
38.Gottstein B, Pozio E, Nöckler K (2009). Epidemiology, diagnosis, treatment, and control of trichinellosis. Clin Microbiol Rev. 2009 Jan. 22(1):127-45.
39.Compton SJ, Celum CL, Lee C et al. (1993). Trichinosis with ventilatory failure and persistent myocarditis. Clin Infect Dis, 16(4):500-4.
40.Bruschi F, Brunetti E, Pozio E. (2013). Neurotrichinellosis. Handb Clin Neurol, 114:243-249.
41.Tassi C, Materazzi L, Pozio E, Bruschi F (1995). Creatine kinase isoenzymes in human trichinellosis. Clin Chim Acta, 239(2):197-202.
42.Murrell KD, Bruschi F (1994). Clinical trichinellosis. Prog Clin Parasitol, 4:117-50.
43.Al-Sherbiny MM, Farrag AA, Fayad MH, et al. Application and assessment of a dipstick assay in the diagnosis of hydatidosis and trichinosis. Parasitol Res. 2004 Jun. 93(2):87-95..
44.Cleri DJ, Ricketti AJ, Ramos-Bonner LS, Vernalco JR. Trichinosis (Part I and II). Infect Dis Pract. 2005. 29:439-444.
45.Dalessio DJ, Wolff HG. Trichinella spiralis infection of the central nervous system. Report of a case and review of the literature. Arch Neurol. 1961 Apr. 4:407-17.
46.Dupouy-Camet J, Kociecka W, Bruschi F, et al. Opinion on the diagnosis and treatment of human trichinellosis. Expert Opin Pharmacother. 2002 Aug. 3(8):1117-30.
47.Fourestie V, Bougnoux ME, Ancelle T, et al. Randomized trial of albendazole versus tiabendazole plus flubendazole during an outbreak of human trichinellosis. Parasitol Res. 1988. 75(1):36-41.
48.Froscher W, Gullotta F, Saathoff M, Tackmann W. Chronic trichinosis. Clinical, bioptic, serological and electromyographic observations. Eur Neurol. 1988. 28(4):221-6.
49.Gottstein B, Pozio E, Nöckler K. Epidemiology, diagnosis, treatment, and control of trichinellosis. Clin Microbiol Rev. 2009 Jan. 22(1):127-45.
50.Harms G, Binz P, Feldmeier H, et al. (1993). Trichinosis: a prospective controlled study of patients ten years after acute infection. Clin Infect Dis. 1993 Oct. 17(4):637-43.
51.Jongwutiwes S, Chantachum N, Kraivichian P, et al. First outbreak of human trichinellosis caused by Trichinella pseudospiralis. Clin Infect Dis. 1998 Jan. 26(1):111-5.
52.Kozar Z, Kozar M. Dynamics and persistence of antibodies in trichinellosis. Wiad Parazytol. 1968. 14(2):171-85.
53.Louthrenoo W, Mahanuphab P, Sanguanmitra P, Thamprasert K. Trichinosis mimicking polymyositis in a patient with human immunodeficiency virus infection. Br J Rheumatol. 32(11):1025-6.
54.MacLean JD, Viallet J, Law C, Staudt M. Trichinosis in the Canadian Arctic: report of five outbreaks and a new clinical syndrome. J Infect Dis. 1989 Sep. 160(3):513-20.
55.Mawhorter SD, Kazura JW. Trichinosis of the central nervous system. Semin Neurol. 1993 Jun. 13(2):148-52.
56.McAuley JB, Michelson MK, Hightower AW, et al. A trichinosis outbreak among Southeast Asian refugees. Am J Epidemiol. 1992 Jun 15. 135(12):1404-10.
57.McAuley JB, Michelson MK, Schantz PM. Trichinella infection in travelers. J Infect Dis. 1991 Nov. 164(5):1013-6.
58.Pozio E. Trichinellosis in the European union: epidemiology, ecology and economic impact. Parasitol Today. 1998 Jan. 14(1):35-8.
59.Pozio E, Darwin Murrell K. Systematics and epidemiology of trichinella. Adv Parasitol. 2006. 63:367-439.
60.Pozio E, Hoberg E, La Rosa G, Zarlenga DS. Molecular taxonomy, phylogeny and biogeography of nematodes belonging to the Trichinella genus. Infect Genet Evol. 2009 Jul. 9(4):606-16.
61.Pozio E, La Rosa G, Murrell KD, Lichtenfels JR. Taxonomic revision of the genus Trichinella. J Parasitol. 1992 Aug. 78(4):654-9.
62.Rosenblatt JE. Laboratory diagnosis of infections due to blood and tissue parasites. Clin Infect Dis. 2009 Oct 1. 49(7):1103-8.
63.Roy SL, Lopez AS, Schantz PM. Trichinellosis surveillance--United States, 1997-2001. MMWR Surveill Summ. 2003 Jul 25. 52(6):1-8.
64.Taylor WR, Tran GV, Nguyen TQ, Dang DV, Nguyen VK, Nguyen CT, et al. Acute febrile myalgia in Vietnam due to trichinellosis following the consumption of raw pork. Clin Infect Dis. 2009 Oct 1. 49(7):e79-83.
65.Tint D, Cocuz ME, Ortan OF, Niculescu MD, Radoi M. Cardiac involvement in trichinellosis: a case of left ventricular thrombosis. Am J Trop Med Hyg. 2009 Aug. 81(2):313-6.
66.Viallet J, MacLean JD, Goresky CA, et al. Arctic trichinosis presenting as prolonged diarrhea. Gastroenterology. 1986 Oct. 91(4):938-46.
67.Watt G, Saisorn S, Jongsakul K, et al. Blinded, placebo-controlled trial of antiparasitic drugs for trichinosis myositis. J Infect Dis. 2000 Jul. 182(1):371-4.
68.Gottstein B, Pozio E, Nöckler K. Epidemiology, diagnosis, treatment, and control of trichinellosis. Clin Microbiol Rev. 2009 Jan. 22 (1):127-45.
69.Drugs for Parasitic Infections Treatment Guidelines. The Medical Letter. 2013. 11:e21.
70.Gu Y, Wei J, Yang J, Huang J, Yang X, Zhu X (2013). Protective immunity against Trichinella spiralis infection induced by a multi-epitope vaccine in a murine model. PLoS one. 2013 Oct 10;8(10):e77238.
71.Wei J, Gu Y, Yang J, Yang Y, Wang S, Cui S, Zhu X. (2011). Identification and characterization of protective epitope of Trichinella spiralis paramyosin. Vaccine. 2011 Apr 12;29(17):3162-8.
72.Gu Y, Li J, Zhu X, Yang J, Li Q, Liu Z, Yu S, Li Y (2008). Trichinella spiralis: characterization of phage-displayed specific epitopes and their protective immunity in BALB/c mice. Exp Parasitol. 2008 Jan;118(1):66-74. Epub 2007 Jul 20.
73.Hao Y, Zhao X, Yang J, Gu Y, Sun R, Zhu X. (2014). Monoclonal antibody targeting complement C9 binding domain of Trichinella spiralis paramyosin impairs the viability of Trichinella infective larvae in the presence of complement. Parasit Vectors. 2014 Jul 4;7:313. doi: 10.1186/1756-3305-7-313.
74.Gu Y, Sun X, Li B, Huang J, Zhan B, Zhu X (2017). Vaccination with a Paramyosin-Based Multi-Epitope Vaccine Elicits Significant Protective Immunity against Trichinella spiralis Infection in Mice. Front Microbiol. 2017 Aug 3;8:1475.
75.Bi K, Yang J, Wang L, Gu Y, Zhan B, Zhu X (2015). Partially Protective Immunity Induced by a 20 kDa Protein Secreted by Trichinella spiralis Stichocytes. PLoS one. 2015 Aug 19;10(8):e0136189.
76.Pompa-Mera EN, Yépez-Mulia L, Ocaña-Mondragón A et al., (2011). Trichinella spiralis: intranasal immunization with attenuated Salmonella enterica carrying a gp43 antigen-derived 30mer epitope elicits protection in BALB/c mice. Exp Parasitol. 2011 Dec;129(4):393-401.
77.Cui J, Ren HJ, Liu RD, Wang L, Zhang ZF, Wang ZQ (2013). Phage-displayed specific polypeptide antigens induce significant protective immunity against Trichinella spiralis infection in BALB/c mice. Vaccine. 2013 Feb 6;31(8):1171-7.
78.Pompa-Mera EN, Arroyo-Matus P, Ocaña-Mondragón A et al., (2014). Protective immunity against enteral stages of Trichinella spiralis elicited in mice by live attenuated Salmonella vaccine that secretes a 30-mer parasite epitope fused to the molecular adjuvant C3d-P28. Res Vet Sci. 2014 Dec;97(3):533-45.
79.Zhao X, Hao Y, Yang J, Gu Y, Zhu X (2014). Mapping of the complement C9 binding domain on Trichinella spiralis paramyosin. Parasit Vectors. 2014 Feb 24;7:80. doi: 10.1186/1756-3305-7-80.
80.Yang J, Yang Y, Gu Y, Li Q, Wei J, Wang S, Boireau P, Zhu X (2008). Identification and characterization of a full-length cDNA encoding paramyosin of Trichinella spiralis. Biochem Biophys Res Commun. 2008 Jan 18;365(3):528-33.
81.Gu Y, Huang J, Wang X, Wang L, Yang J, Zhan B, Zhu X. (2016). Identification and characterization of CD4+ T cell epitopes present in Trichinella spiralis paramyosin.Vet Parasitol. 2016 Nov 15;231:59-62.
82.Feng S, Wu X, Wang X, Bai X, Shi H, Tang B, Liu X et al., (2013). Vaccination of mice with an antigenic serine protease-like protein elicits a protective immune response against Trichinella spiralis infection. J Parasitol. 2013 Jun;99(3):426-32.
83.Yang J, Gu Y, Yang Y, Wei J, Wang S, Cui S, Pan J, Li Q, Zhu X (2010). Trichinella spiralis: immune response and protective immunity elicited by recombinant paramyosin formulated with different adjuvants. Exp Parasitol. 2010 Apr;124(4):403-8.
84.Xu J, Bai X, Wang LB, Shi HN, VAN DER Giessen JWB, Boireau P, Liu MY, Liu XL (2017). Immune responses in mice vaccinated with a DNA vaccine expressing serine protease-like protein from the new-born larval stage of Trichinella spiralis. Parasitology. 2017 May;144(6):712-719.
85.Yang J, Zhu W, Huang J, Wang X, Sun X, Zhan B, Zhu X. (2016). Partially protective immunity induced by the 14-3-3 protein from Trichinella spiralis. Vet Parasitol. 2016 Nov 15;231:63-68.
86.Wang S, Zhu X, Yang Y, Yang J, Gu Y, Wei J, Hao R, Boireau P, Cui S. (2009). Molecular cloning and characterization of heat shock protein 70 from Trichinella spiralis. Acta Trop. 2009 Apr;110(1):46-51.
87.Fang L, Sun L, Yang J, Gu Y, Zhan B, Huang J, Zhu X (2014). Heat shock protein 70 from Trichinella spiralis induces protective immunity in BALB/c mice by activating dendritic cells. Vaccine. 2014 Jul 31;32(35):4412-9.
88.Zhang Z, Yang J, Wei J, Yang Y, Chen X, Zhao X, Gu Y, Cui S, Zhu X (2011). Trichinella spiralis paramyosin binds to C8 and C9 and protects the tissue-dwelling nematode from being attacked by host complement. PLoS Negl Trop Dis. 2011 Jul;5(7):e1225.
89.Tang B, Liu M, Wang L, Yu S, Shi H, Boireau P, Cozma V, Wu X, Liu X (2015). Characterisation of a high-frequency gene encoding a strongly antigenic cystatin-like protein from Trichinella spiralis at its early invasion stage. Parasit Vectors. 2015 Feb 5;8:78.
90.Long SR, Wang ZQ, Liu RD, Liu LN, Li LG, Jiang P, Zhang X, Zhang ZF, Shi HN, Cui J (2014). Molecular identification of Trichinella spiralis nudix hydrolase and its induced protective immunity against trichinellosis in BALB/c mice. Parasit Vectors. 2014 Dec 19;7:600.
91.Li LG, Wang ZQ, Liu RD, Yang X, Liu LN, Sun GG, Jiang P, Zhang X, Zhang GY, Cui J (2015). Trichinella spiralis: low vaccine potential of glutathione S-transferase against infections in mice. Acta Trop. 2015 Jun;146:25-32.
92.Wang ZQ, Cui J, Wei HY, Han HM, Zhang HW, Li YL. (2006). Vaccination of mice with DNA vaccine induces the immune response and partial protection against T. spiralis infection. Vaccine. 2006 Feb 20;24(8):1205-12.
93.Tang F, Xu L, Yan R, Song X, Li X (2013). A DNA vaccine co-expressing Trichinella spiralis MIF and MCD-1 with murine ubiquitin induces partial protective immunity in mice. J Helminthol. 2013 Mar;87(1):24-33.
94.Chen X, Yang Y, Yang J, Zhang Z, Zhu X (2012). RNAi-mediated silencing of paramyosin expression in Trichinella spiralis results in impaired viability of the parasite. PLoS one. 2012;7(11):e49913.
95.Zhang Y, Wang Z, Li L, Cui J. (2013). Molecular characterization of Trichinella spiralis aminopeptidase and its potential as a novel vaccine candidate antigen against trichinellosis in BALB/c mice. Parasit Vectors. 2013 Aug 23;6:246.
96.Liu P, Wang ZQ, Liu RD, Jiang P, Long SR, Liu LN, Zhang XZ, Cheng XC, Yu C, Ren HJ, Cui J. (2015). Oral vaccination of mice with Trichinella spiralis nudix hydrolase DNA vaccine delivered by attenuated Salmonella elicited protective immunity. Exp Parasitol. 2015 Jun;153:29-38.
97.Ali SM, El-Zawawy LA, El-Said D, Gaafar MR (2007). Immunization against trichinellosis using microwaved larvae of Trichinela spiralis. J Egypt Soc Parasitol. 2007 Apr;37(1):121-33.
98.Liu P, Cui J, Liu RD, Wang M, Jiang P, Liu LN, Long SR, Li LG et al., (2015). Protective immunity against Trichinella spiralis infection induced by TsNd vaccine in mice. Parasit Vectors. 2015 Mar 28;8:185.
99.Gamble HR et al., (1985). Trichinella spiralis: immunization of mice using monoclonal antibody affinity-isolated antigens. Exp Parasitol. 1985 Jun;59(3):398-404.
100.Ortega-Pierres G, Vaquero-Vera A, Fonseca-Liñán R et al., (2015). Induction of protection in murine experimental models against Trichinella spiralis: an up-to-date review. J Helminthol. 2015 Sep;89(5):526-39.
101.Chu KB, Kim SS, Lee SH, Lee DH, Kim AR, Quan FS. (2016). Immune Correlates of Resistance to Trichinella spiralis Reinfection in Mice. Korean J Parasitol. 2016 Oct;54(5):637-643.
102.Wang B, Wang ZQ, Jin J, Ren HJ, Liu LN, Cui J (2013). Cloning, expression and characterization of a Trichinella spiralis serine protease gene encoding a 35.5 kDa protein. Exp Parasitol. 2013 Jun;134(2):148-54.
103.Robinson K, Bellaby T, Chan WC, Wakelin D (1995). High levels of protection induced by a 40-mer synthetic peptide vaccine against the intestinal nematode parasite Trichinella spiralis. Immunology. 1995 Dec;86(4):495-8.
104.Peters PJ, Gagliardo LF, Sabin EA, Betchen AB, Ghosh K, Oblak JB, Appleton JA (1999). Dominance of immunoglobulin G2c in the antiphosphorylcholine response of rats infected with Trichinella spiralis. Infect Immun. 1999 Sep;67(9):4661-7.
105.Yang Y, Zhang Z, Yang J, Chen X, Cui S, Zhu X (2010). Oral vaccination with Ts87 DNA vaccine delivered by attenuated Salmonella typhimurium elicits a protective immune response against Trichinella spiralis larval challenge. Vaccine. 2010 Mar 24;28(15):2735-42.
106.Wang L, Wang X, Bi K, Sun X, Yang J, Gu Y, Huang J, Zhan B, Zhu X. (2016). Oral Vaccination with Attenuated Salmonella typhimurium-Delivered TsPmy DNA Vaccine Elicits Protective Immunity against Trichinella spiralis in BALB/c Mice. PLoS Negl Trop Dis. 2016 Sep 2;10(9):e0004952.
107.Lee SH, Kim SS, Lee DH, Kim AR, Quan FS (2016). Evaluation of protective efficacy induced by virus-like particles containing a Trichinella spiralis excretory-secretory (ES) protein in mice. Parasit Vectors. 2016 Jul 4;9(1):384.
108.Pan H, Jiang CF, Li TQ, Lei JH, Shi HB, Wei LY (2004). Screening of mimic epitopes of Trichinella spiralis antigen from phage 12-mer peptide library. Zhongguo Ji Sheng Chong Xue Yu Ji Sheng Chong Bing Za Zhi. 2004 Apr 30;22(2):103-5.
109.Quan FS, Lee HS, Chung MS, Cho SW, Joo KH, Lee LS, Rim HJ (2008). Protective immunity and antibody response of rats infected with Trichinella spiralis. Zhongguo Ji Sheng Chong Xue Yu Ji Sheng Chong Bing Za Zhi. 2008 Apr;26(2):119-23.
110.Arasu P, Ellis LA, Iglesias R, Ubeira FM, Appleton JA (1994). Molecular analysis of antigens targeted by protective antibodies in rapid expulsion of Trichinella spiralis. Mol Biochem Parasitol. 1994 Jun;65(2):201-11.
111.Zhou DM, Yi XY, Zeng XF, Wang M, McReynolds L (2001). Immunity against Schistosoma japonicum induced by phage display peptides mimicking antigenic epitopes of Trichinella spiralis. Zhongguo Ji Sheng Chong Xue Yu Ji Sheng Chong Bing Za Zhi. 2001;19(5):268-71.
112.Deville S, Pooter Ad, Aucouturier J, Lainé-Prade V, Cote M, Boireau P, Vallée I (2005). Influence of adjuvant formulation on the induced protection of mice immunized with total soluble antigen of Trichinella spiralis. Vet Parasitol. 2005 Sep 5;132(1-2):75-80.
113.Gu Y, Zhan B, Yang Y, Yang X, Zhao X, Wang L, Yang J, Bi K, Wang Y, Zhu X (2014). Protective effect of a prime-boost strategy with the Ts87 vaccine against Trichinella spiralis infection in mice. Biomed Res Int. 2014;2014:326860.
114.Tang F, Xu L, Yan R, Song X, Li X. (2012). Evaluation of the immune response induced by DNA vaccines expressing MIF and MCD-1 genes of Trichinella spiralis in BALB/c mice. J Helminthol. 2012 Dec;86(4):430-9.
115.Onah DN, Wakelin D. (1999). Trypanosome-induced suppression of responses to Trichinella spiralis in vaccinated mice. Int J Parasitol. 1999 Jul;29(7):1017-26.
116.Perteguer MJ, Rodríguez E, Romarís F, Escalante M, Bonay P, Ubeira FM, Gárate MT (2004). Minor interspecies variations in the sequence of the gp53 TSL-1 antigen of Trichinella define species-specific immunodominant epitopes. Mol Immunol. 2004 Jun;41(4):421-33.
117.Watanabe N. (2014). Impaired protection against Trichinella spiralis in mice with high levels of IgE. Parasitol Int. 2014 Apr;63(2):332-6.
118.McGuire C, Chan WC, Wakelin D. (2002). Nasal immunization with homogenate and peptide antigens induces protective immunity against Trichinella spiralis. Infect Immun. 2002 Dec;70(12):7149-52.
119.Robinson K, Bellaby T, Wakelin D. (1995). Immunity to Trichinella spiralis transferred by serum from vaccinated mice not protected by immunization. Parasite Immunol. 1995 Feb;17(2):85-90.
120.Darwish RA, Sanad MM, Youssef SM (1996). Immunization against Trichinella spiralis using antigens from different life-cycle stages experimental study in mice. J Egypt Soc Parasitol. 1996 Apr;26(1):19-26.
121.Li X, Yao JP, Pan AH, Liu W, Hu XC, Wu ZD, Zhou XW (2013). An antigenic recombinant serine protease from Trichinella spiralis induces protective immunity in BALB/c mice. Parasitol Res. 2013 Sep;112(9):3229-38.
122.Bokken GC, van Eerden E, Opsteegh M, Augustijn M et al., (2012). Specific serum antibody responses following a Toxoplasma gondii and Trichinella spiralis co-infection in swine. Vet Parasitol. 2012 Mar 23;184(2-4):126-32.
123.Sun R, Zhao X, Wang Z, Yang J, Zhao L, Zhan B, Zhu X. (2015). Trichinella spiralis Paramyosin Binds Human Complement C1q and Inhibits Classical Complement Activation. PLoS Negl Trop Dis. 2015 Dec 31;9(12):e0004310.
124.Angkasekwinai P, Srimanote P, Wang YH, Pootong A et al., (2013). Interleukin-25 (IL-25) promotes efficient protective immunity against Trichinella spiralis infection by enhancing the antigen-specific IL-9 response. Infect Immun. 2013 Oct;81(10):3731-41.
125.Liu XD, Wang XL, Bai X, Liu XL, Wu XP, Zhao Y et al., (2014). Oral administration with attenuated Salmonella encoding a Trichinella cystatin-like protein elicited host immunity. Exp Parasitol. 2014 Jun;141:1-11.
126.Denkers EY, Hayes CE, Wassom DL (1991). Trichinella spiralis: influence of an immunodominant, carbohydrate-associated determinant on the host antibody response repertoire. Exp Parasitol. 1991 May;72(4):403-10.
127.Goyal PK, Bolas-Fernandez F, Wakelin D (1997). Immunization of mice against Trichinella spiralis and T. britovi using excretory and secretory antigens. J Helminthol. 1997 Jun;71(2):109-12.
128.El Azzouni MZ, Hegazi IH (1993). The protective role of Fasciola tegument antigen against Trichinella spiralis infection. J Egypt Soc Parasitol. 1993 Aug;23(2):507-14.
129.Gamble HR, Murrell KD (1986). Conservation of diagnostic antigen epitopes among biologically diverse isolates of Trichinella spiralis. J Parasitol. 1986 Dec;72(6):921-5.
130.Urban JF Jr, Schopf L, Morris SC, Orekhova T et al., (2000). Stat6 signaling promotes protective immunity against Trichinella spiralis through a mast cell- and T cell-dependent mechanism. J Immunol. 2000 Feb 15;164(4):2046-52.
131.El-Ganayni GA, El-Shazly AM, El-Naggar HM (1994). Immunization against experimental trichinosis using T. spiralis larvae and hydatid fluid antigens. J Egypt Soc Parasitol. 1994 Aug;24(2):341-7.
132.Yang Y, Yang X, Gu Y, Wang Y, Zhao X, Zhu X (2013). Protective immune response induced by co-immunization with the Trichinella spiralis recombinant Ts87 protein and a Ts87 DNA vaccine. Vet Parasitol. 2013 May 20;194(2-4):207-10.
133.Otubu OE, Carlisle-Nowak MS, McGregor DD, Jacobson RH, Appleton JA (1993). Trichinella spiralis: the effect of specific antibody on muscle larvae in the small intestines of weaned rats. Exp Parasitol. 1993 Jun;76(4):394-400.
134.Liu LN, Jing FJ, Cui J, Fu GY, Wang ZQ (2013). Detection of circulating antigen in serum of mice infected with Trichinella spiralis by an IgY-IgM mAb sandwich ELISA. Exp Parasitol. 2013 Feb;133(2):150-5.
135.Quan FS, Matsumoto T, Lee JB, Timothy O, Kim TS, Joo KH, Lee JS. (2004). Immunization with Trichinella spiralis Korean isolate larval excretory-secretory antigen induces protection and lymphocyte subset changes in rats. Immunol Invest. 2004 Feb;33(1):15-26.
136.Wang ZQ, Zhang SB, Jiang P, Liu RD, Long SR, Zhang X, Ren HJ, Cui J. (2015). The siRNA-mediated silencing of Trichinella spiralis nudix hydrolase results in reduction of larval infectivity. Parasitol Res. 2015 Sep;114(9):3551-7.
137.Kehayov IR, Kyurkchiev SD, Tankov CV, Komandarev SK. (1991). Trichinella spiralis: a 76-kDa excretory/secretory larval antigen identified by a monoclonal antibody. Exp Parasitol. 1991 Aug;73(2):150-60.
138.Sun S, Xu W, He N, Sugane K. (1994). An antigenic recombinant fusion protein from Trichinella spiralis induces a protective response in BALB/c mice. J Helminthol. 1994 Mar;68(1):89-91.
139.Yao C, Jasmer DP (1998). Nuclear antigens in Trichinella spiralis infected muscle cells: nuclear extraction, compartmentalization and complex formation. Mol Biochem Parasitol. 1998 May 1;92(2):207-18.
140.Hernández S, Romarís F, Acosta I, Gutiérrez PN, Ubeira FM (1995). Ultrastructural colocalization of phosphorylcholine and a phosphorylcholine-associated epitope in first-stage larvae of Trichinella spiralis. Parasitol Res. 1995;81(8):643-50.
141.Alcántara P, Correa D. (1993). Human humoral immune responses against Trichinella spiralis. Int J Parasitol. 1993 Aug;23(5):657-60.
142.Castillo Alvarez AM, Vaquero-Vera A, Fonseca-Liñán R (2013). A prime-boost vaccination of mice with attenuated Salmonella expressing a 30-mer peptide from the Trichinella spiralis gp43 antigen. Vet Parasitol. 2013 May 20;194(2-4):202-6.
143.Marinculic A, Gamble HR, Urban JF, Rapic D, Zivicnjak T, Smith HJ, Murrell KD. (1991). Immunity in swine inoculated with larvae or extracts of a pig isolate and a sylvatic isolate of Trichinella spiralis. Am J Vet Res. 1991 May;52(5):754-8.
144.Yao C, Prestwood AK, McGraw RA. (1997). Trichinella spiralis (T1) and Trichinella T5: a comparison using animal infectivity and molecular biology techniques. J Parasitol. 1997 Feb;83(1):88-95.
145.Liu P, Wu XP, Bai X, Wang XL, Yu L, Rosenthal B, Blaga R (2013). Screening of early antigen genes of adult-stage Trichinella spiralis using pig serum from different stages of early infection. Vet Parasitol. 2013 May 20;194(2-4):222-5.
146.Jarvis LM, Pritchard DI (1992). An evaluation of the role of carbohydrate epitopes in immunity to Trichinella spiralis. Parasite Immunol. 1992 Sep;14(5):489-501.
147.Dea-Ayuela MA, Rama-Iñiguez S, Bolas-Fernández F. (2006). Vaccination of mice against intestinal Trichinella spiralis infections by oral administration of antigens microencapsulated in methacrilic acid copolymers. Vaccine. 2006 Apr 5;24(15):2772-80.
148.Venturiello SM, Costantino SN, Giambartolomei GH. (1996). Blocking anti-Trichinella spiralis antibodies in chronically infected rats. Parasitol Res. 1996;82(1):77-81.
149.Lee DL, Ko RC, Yi XY, Yeung MH (1991). Trichinella spiralis: antigenic epitopes from the stichocytes detected in the hypertrophic nuclei and cytoplasm of the parasitized muscle fibre (nurse cell) of the host. Parasitology. 1991 Feb;102 Pt 1:117-23.
150.Boulos LM, Ibrahim IR, Negm AY, el-Temsahi MM (1988). Role of anti-Trichinella spiralis antibodies and interferon-gamma in the protection against the enteral phase of experimental trichinosis. J Egypt Soc Parasitol. 1998 Dec;28(3):609-20.