Theo Mank, Robin Soetekouw thuộc nhóm tác giả Annemarie J.S. Winkelhagen báo cáo trên y văn trường hợp nhiễm sán lá gan lớn (SLGL) Fasciola hepaticakháng thuốc triclabendazole tại Hà Lan. Chúng ta có thể rút ra một số điều cần bàn luận từ những thông tin cần thiết về ca bệnh này.
Thông tin về ca bệnh
Bệnh nhân nhiễm bệnh là nông dân trang trại 71 tuổi nuôi cừu có tiền sử đau vùng hạ sườn phải từng đợt đã 4 tháng qua, ra mồ hôi trộm ban đêm, chán ăn, sụt mất 5 kg. Tiền sử bệnh lý của ông ta không có gì đáng kể, ông ta cũng không đi du lịch đâu ra ngoài Hà Lan gần 30 năm qua. Thăm khám thực thể cho thấy không có cơ quan nào bất thường thêm.
Xét nghiệm sinh hóa và huyết học cho thấy:
-Tăng tốc độ máu lắng lên đến 35 mm/h (giá trị bình thường 1–15 mm/h),
-Thiếu máu tế bào bình thường (hemoglobin 7.0 mmol/L [BT: 8.5–11 mmol/L]);
-Chỉ số bạch cầu ái toan (2.5 × 109 cells/L [BT: 0.0–0.5 × 109 cells/L]);
-Nồng độ alkaline phosphatase, γ-glutamyl transferase (GGT) và alanine aminotransferase lần lượt tăng (146 U/L [BT: 10–120 U/L], 143 U/L [BT: 5–50 IU/L] và 54 U/L [BT: 0–45 U/L]);
-Nồng độ bilirubin và aspartate aminotransferase trong giới hạn;
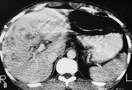
-Chụp CT scanner gan mật cho thấy có một số tổn thương giảm âm, hình bờ không đều (irregularly shaped low-attenuating lesions) có kích thước 1-4 cm;
-Ngưỡng hiệu giá kháng thể qua xét nghiệm miễn dịch EIA với IgG chống lại Fasciola hepatica là (640 [cutoff 40]);
-Tiếp theo đó, mẫu phân cũng xác định có phát hiện trứng sán dương tính F. hepatica.
Bệnh nhân tự phát không có triệu chứng có cơn khỏi bệnh không đau sau điều trị không thành công với dẫn chất benzimidazole loại triclabendazole (TCBZ) 3 lần riêng biệt trong suốt hai năm. Anh ta lần đầu tiên điều trị với liều đơn 10 mg/kg TCBZ (Fasinex suspension; Novartis Animal Health Ltd., Surrey, UK), rồi tiếp đến 2 liều cách nhau 24 giờ và lần cuối cùng với 2 liều TCBZ (Egaten; Sipharm Sisseln AG, Sisseln, Switzerland) liều 10 mg/kg mỗi 12 giờ; lần thứ 4 điều trị dùng thuốc với thức ăn. Các mẫu phân vẫn còn dương tính trứng F. hepatica sau điều trị. Hiệu giá kháng thể IgG vẫn dương tính (320, EIA) và sán có thể nhìn thấy qua siêu âm túi mật và ống mật chủ. Ngay sau đó, bệnh nhân được điều trị bằng Nitazoxanide (500 mg x 2 lần/ ngày x 7 ngày); Tuy nhiên, các mẫu phân vẫn còn phát hiện trứng F. hepatica.
Cuối cùng, nhờ vào các thông tin sẵn có liệu pháp phối hợp trên mô hình thực nghiệm ở chuột, các nhà lâm sàng đã điều trị TCBZ (Egaten, 10 mg/kg) phối hợp với ketoconazol 10 mg/kg cùng với thức ăn. Thế nhưng phân của anh ta xét nghiệm vẫn còn trứng sán F. hepatica trong phân.
 |
A) Siêu âm gan của bệnh nhân nhiễm F. hepatica. B) Vẽ hình của A, mô tả gan màu trắng, ống mật chủ màu xám và tinh mạch cửa màu đen. Một con sán (màu trắng) kích thước dài 2.5–3 cm được xác định trong ống mật chủ. |
Bàn luận
Bệnh sán lá gan lớn là một bệnh truyền từ động vật sang người gây ra bởi loài sán lá F. hepatica hoặc F. gigantica, có chu kỳ sinh học phức tạp và chủ yếu ảnh hưởng trên cừu và gia súc. Trứng sán trưởng thành (2 - 4 cm) sống trong ống mật của vật chủ cuối cùng đào thải ra phân và phát triển thành ấu trùng (miracidia) trong nước. Ấu trùng miracidia này xuyên vào ốc và phát triển thêm trong các con ốc họ Lymnaeidae. Các cercariae bơi tự do thoát khỏi ốc và dính vào thực vật thủy sinh, ở đó chúng có thể đóng kén như metacercariae. Sau khi tiêu hóa/ hay được nuốt phải bởi vật chủ, chúng thoát kén vào trong ruột và di chuyển qua thành ruột vào đến gan, ở đó chúng trưởng thành thành sán trưởng thành và ký sinh trong đường mật.
Bệnh sán lá gan lớn đã ảnh hưởng đến hàng triệu người trên toàn thế giới. Tuy nhiên, gần đây bệnh chỉ được báo cáo với số ca rải rác tại Hà Lan so với trước đây, mặc dù nhiễm trùng F. hepatica ở cừu và gia súc có lưu hành, thậm chí rất nặng tại một số vùng. Bệnh nhân trong báo cáo này không có tiền ử ăn rau cải xoong hay rau thủy sinh nào khác và cũng không uống nước ao đọng. Tuy nhiên, ông ta có làm việc thường xuyên tiếp xúc với các nguồn nước quanh nông trại, gần các vùng cừu nhai cỏ và thỉnh thoảng ăn rau trước đã được bón phân gia súc vật nuôi. Bệnh nhân không còn triệu chứng nhưng vẫn còn nhiễm.
Kháng với các thuốc điều trị sán đặt ra nhiều vấn đề sau khi các mùa hè ẩm ướt. Thật sự, các nông trang được quản lý tốt với lịch sử dùng thuốc diệt sán đáng lưu ý vì đang dẫn đến kháng TCBZ, sản phẩm duy nhất trên thị trường có khả năng giải quyết SLGL trong giai đoạn sớm của nhiễm trùng. Theo báo cáo của Viện Khoa học sinh học và thực phẩm nông nghiệp (Agrifood and Biosciences Institute_AFBI) quan tâm đến nhiễm trùng do sán Fasciola hepatica và loại sán dạ cỏ Paramphistomum cervi trên nông trang của vùng Bắc Ireland (2013). Kể từ năm 1983, TCBZ đưa vào sử dụng cho hiệu quả tốt và trên diện rộng. Các thử nghiệm Belfast của đại học Queen cho thấy dùng thuốc TCBZ lan rộng đã xuất hiện tình trạng kháng TCBZ trên cừu và gia súc nuôi trên khắp vùng Northern Ireland vào năm 2011 và 2012.
Các báo cáo liên tục ghi nhận trong mùa hè ẩm ướt và mùa đông năm 2011-2012 với sự gia tăng sán trên cừu và gia súc tại Vương quốc Anh vì có sự tác động nhẹ và thời tiết ẩm ướt tạo thuận lợi trên quần thể ốc – trung gian truyền bệnh. Các loại ốc Galba truncatula chính là nơi ẩn náu của SLGL và sán dạ cỏ được hỗ trợ bởi các nhóm ốc planorbid hay bulinid – các ốc nước ngọt trong các vùng lũ lụt, thường lắng lại do các vật thể trong nước di chuyển.
Một nguyên nhân được biết rõ về bệnh “Black disease”, SLGL dẫn đến đau bụng và thiếu máu, thường đưa đến chết đột ngột. Các con sán dạ cỏ cũng không nguy hiểm nhưng có thể dẫn đến tiêu chảy, thậm chí tử vong nhất là trên các con bê. Hai hình thức nhiễm sán tồn tại là bệnh SLGL cấp và mạn tính. Nhiễm trùng giai đoạn sớm có đặc trưng cấp tính và giai đoạn mạn tính với sán trưởng thành sinh trứng. Không có TCBZ, không có sản phẩm thương mại nào để tấn công vào giai đoạn sớm của nhiễm trùng cấp SLGL. Phòng chống sán giai đoạn sớm có thể thông qua sử dụng thuốc oxyclozanide có hiệu quả chống lại cả sán giai đoạn chưa trưởng thành và trưởng thành nhưng AFBI thận trọng rằng điều này vẫn có thể thay đổi khác nhau về độ nhạy.
Các nông dân nên thúc đẩy việc làm sạch môi trường các đồng cỏ và loại bỏ các nguồn nhiễm cao nếu như có thể và đánh giá hiệu lực các thuốc diệt sán thông qua lấy mẫu các xỉ phân trước và sau 4 tuần can thiệp điều trị. Mẫu máu cũng được khuyên thực hiện xét nghiệm để đánh giá chức năng và thương tổn gan. Quản lý nguồn cẩn thận được khuyên nhất là trên nhóm các động vật nhiễm bệnh để tránh nguy cơ cho cả bầy đàn. Truyền thông cho các thầy thuốc phẩu thuật thú y có ý nghĩa quan trọng. Sử dụng TCBZ chỉ nên thực hiện trong các trường hợp cấp cứu và kèm theo các hợp chất tấn công lên cả sán trưởng thành và sán giai đoạn muộn.
TCBZ là một thuốc lựa chọn ưu tiên trong điều trị bệnh SLGL. Trong một bài tổng hợp bởi tác giả Keiser và cộng sự, cho biết hiệu lực thuốc TCBZ cho tỷ lệ làm sạch trứng sán đến 78-100% trên bệnh nhân sau khi dùng chỉ một liều 10 mg/kg và đến 92-100% sau dùng hai liều 10 mg/kg với khoảng cách liều 12 hoặc 24 giờ. Trên các vật nuôi, tình trạng kháng thuốc TCBZ đã và đang có nhiều báo cáo và nay vẫn đang tiếp tục. Điều trị hàng loạt trên cừu và gia súc bằng thuốc TCBZ (biệt dược Fasinex) hay phối hợp với thuốc chống giun sán khác thường hay áp dụng tại Hà Lan và ca kháng đầu tiên được mô tả vào năm 1998 trên cừu và gia súc tại tỉnh phía bắc Hà Lan, vùng lưu lành của người bệnh nhân được báo cáo ở đây. Trong khoảng thời gina 1998–2004, tình hình kháng TCBZ, chứng minh bởi các test giảm trứng trong phân và đã được phát hiện trên 14 nông trang trên cùng vùng này.
Một nghiên cứu về cơ chế kháng trên sán lá gan lớn cho thấy TCBZ và albendazole (ABZ) là hai hợp chất diệt sán thuộc benzimidazole được sử dụng rộng rãi trong lĩnh vực thú y. Mặc dù TCBZ có hoạt tính tuyệt vời chống lại cả giai đoạn còn non và trưởng thành của sán F. hepatica, trong khi tác động ABZ còn giới hạn trên các con sán lớn hơn 12 tuần tuổi. Việc sử dụng rộng rãi TCBZ đã dẫn đến kháng thuốc. Để hiểu thấu về cơ chế kháng thuốc TCBZ, các nghiên cứu khuếch tán ex vivo TCBZ, chất chuyển hóa có hoạt tính của TCBZ sulfoxide (TCBZSO) và ABZ trên các nhóm sán trưởng thành nhạy và nhóm sán kháng TCBZ (TCBZ-susceptible and -resistant flukes) so với nhau. Các sán nhạy với TCBZ (Cullompton) và nhóm kháng (Sligo) được ủ trong dung dịch đệm Krebs-Ringer Tris với hoặc TCBZ, TCBZSO, hoặc ABZ (5 nmol/ ml) trong vòng 90 phút. Nồng độ các thuốc hoặc chất chuyển hóa được định lượng thông qua hệ thống sắc ký lỏng cao áp (HPLC). Tất cả các phân tử được thử nghiệm đi xuyên màng tegument của cả hai chủng sán nhạy và kháng. Tuy nhiên, nồng độ của TCBZ và TCBZSO thấp hơn có ý nghĩa trên chủng kháng TCBZ so với chủng nhạy. Ngược lại, ABZ đi vào bên trong chủng nhạy và chủng kháng là như nhau. Sự cân bằng kênh influx/efflux đối với TCBZ, TCBZSO, và ABZ trên các sán nhạy và sán kháng trong sự có mặt hoặc không có mặt cơ chất ivermectin của transporter P-glycoprotein thuốc được đánh giá. Sự điều hòa do ivermectin lên hoạt tính P-glycoprotein giảm đi TCBZ efflux từ chủng kháng. Nồng độ cao hơn của TCBZ và TCBZSO cũng làm phục hồi các chủng kháng khi có sự có mặt của ivermectin. Do đó, cơ chế thay đổi kênh influx/efflux có thể giải thích cho sự phát triển kháng TCBZ trong sán F. hepatica (L. Mottier và cs., 2006).
Triclabendazole (TCBZ) là thuốc lựa chọn để điều trị nhiễm sán lá gan lớn tren gia súc và vật nuôi trên 20 năm qua, do chúng có hoạt tính cao chống lại cả sán giai đoạn còn non và giai đoạn trưởng thành. Gần đây, thuốc được dùng thành công trong điều trị các ca bệnh ở người. Kháng thuốc TCBZ lần đầu tiên trên thực địa tại Úc vào những năm 1990. Kể từ đó, kháng thuốc đã được báo cáo từ một số quốc gia khắp châu Âu: Ireland, Scotland, Wales, Tây Ban Nha và Hà Lan. Chính vì niềm tin vào một thuốc duy nhất đã dẫn đến chiến lược điều trị nằm trong thế nguy cơ. Nếu chăng thực trạng kháng lan rộng thì viễn cảnh sẽ là một cảnh báo. Nên việc hiểu biết cơ chế kháng thuốc TCBZ, có thể làm thay đổi phân tử đích trong cơ chế dẫn thuốc ra vào (influx/efflux) và trong sự chuyển hóa của các hoạt chất do TCBZ sinh ra bởi sán. Đồng thời nghiên cứu tìm liệu pháp phối hợp để chống kháng và phác đồ thay thế khi có sự kháng thuốc diễn ra đến mức báo động (G.P. Brennan và cs., 2007)
Các tác giả cũng cho biết sự xuất hiện kháng thuốc TCBZ do Fasciola hepatica. Đây là một loại sán có tiềm năng sống và sinh sản rất mạnh (huge biotic potential) có liên quan đến sinh sản hữu tính, lưỡng tính và đơn tính trên các vật chủ là động vật có vú và sự nhân giống vô tính đơn dòng trên các vật chủ là các loài nhuyễn thể. Do đó, chẩn đoán kháng nhằm thúc đẩy quản lý ca bệnh và ngăn chặn kháng thuốc (Sargison, Neil và cs., 2012)
Nghiên cứu về ca bệnh ở đây hầu như có thể giải thích bởi kháng thuốc TCBZ, mặc dù các nhà khoa học lưu ý việc lặp lại liệu trình TCBZ không còn hiệu quả 100% chống lại bệnh SLGL. Sự tái nhiễm có thể loại trừ vì các mẫu phân được kiểm tra 1-3 tháng sau mỗi đợt điều trị. Mô tả này cho thấy bệnh SLGL do F. hepatica đã kháng TCBZ ở người chỉ ra một phức tạp lên sức khỏe con người. cũng như thuốc điều trị giun sán trên vật nuôi. Các nghiên cứu tiếp theo về kháng thuốc TCBZ và liệu pháp điều trị SLGL cần có tiến hành khi chống kháng. Ngoài ra, vai trò của thuốc chống nhiễm trùng (antimicrobial drugs) trong điều trị vật nuôi nên được đánh giá nghiêm túc.
Tài liệu tham khảo
1.Devine C, Brennan GP, Lanusse CE, Alvarez LI, Trudgett A, Hoey E, et al. Potentiation of triclabendazole action in vivo against a triclabendazole-resistant isolate of Fasciola hepatica following its co-administration with the metabolic inhibitor, ketoconazole. Vet Parasitol. 2012;184:37–47.
2.Eberhard M, Engels D Fascioliasis. In: Heymann DL, editor. Control of communicable diseases manual, 19th ed. Washington (DC): American Public Health Association; 2008. p. 230–1.
3.Mas-Coma S, Valero MA, Bargues MD Fasciola, lymnaeids and human fascioliasis, with a global overview on disease transmission, epidemiology, evolutionary genetics, molecular epidemiology and control. Adv Parasitol. 2009;69:41–146.
4.Wagener DJT, van Tongeren JHM, Meuwissen JHET Fasciola hepatica infection; an unusual cause of severe anemia [in Dutch] Ned Tijdschr Geneeskd. 1972;116:431–5.
5.Borgsteede FHM, Moll L, Vellema P, Gaasenbeek CPH Lack of reversion in triclabendazole-resistant Fasciola hepatica. Vet Rec. 2005;156:350–1.
6.Keiser J, Engels D, Buscher G, Utzinger J Triclabendazole for the treatment of fascioliasis and paragonimiasis. Expert Opin Investig Drugs. 2005;14:1513–26.
7.Fairweather I Reducing the future threat from (liver) fluke: realistic prospect or quixotic fantasy? Vet Parasitol. 2011;180:133–43.
8.Moll L, Gaasenbeek CPH, Vellema P, Borgsteede FHM Resistance of Fasciola hepatica against triclabendazole in cattle and sheep in the Netherlands. Vet Parasitol. 2000;91:153–8.
9.Gaasenbeek CPH, Moll L, Cornelissen JBWJ, Vellema P, Borgsteede FHM An experimental study on triclabendazole resistance of Fasciola hepatica in sheep. Vet Parasitol. 2001;95:37–43.
10.Tolan RW Jr. Fascioliasis due to Fasciola hepatica and Fasciola gigantica infection: an update on this 'neglected' neglected tropical disease. Lab Med. Feb 2011;42(2):107-117.
11.Fürst T, Duthaler U, Sripa B, Utzinger J, Keiser J. Trematode infections: liver and lung flukes. Infect Dis Clin North Am. Jun 2012;26(2):399-41.
12.Cabada MM, White AC Jr. New developments in epidemiology, diagnosis, and treatment of fascioliasis. Curr Opin Infect Dis. Oct 2012;25(5):518-22.
13.Alatoom A, Cavuoti D, Southern P, Gander R. Fasciola hepatica infection in the United States. Lab Med. July, 2008;39(7):425-8.
14.Haseeb AN, el-Shazly AM, Arafa MA, Morsy AT. A review on fascioliasis in Egypt. J Egypt Soc Parasitol. Apr 2002;32(1):317-54.
15.Fürst T, Keiser J, Utzinger J. Global burden of human food-borne trematodiasis: a systematic review and meta-analysis. Lancet Infect Dis. Mar 2012;12(3):210-21.
16.Youn H. Review of zoonotic parasites in medical and veterinary fields in the Republic of Korea. Korean J Parasitol. Oct 2009;47 Suppl:S133-41.
17.Lopez M, White AC Jr, Cabada MM. Burden of Fasciola hepatica Infection among Children from Paucartambo in Cusco, Peru. Am J Trop Med Hyg. Mar 2012;86(3):481-5.
18.Chand MA, Herman JS, Partridge DG, Hewitt K, Chiodini PL. Imported human fascioliasis, United kingdom. Emerg Infect Dis. Nov 2009;15(11):1876-7.
19.Dreyfuss G, Vignoles P, Rondelaud D. Fasciola hepatica: epidemiological surveillance of natural watercress beds in central France. Parasitol Res. Mar 2005;95(4):278-82.
20.el-Shabrawi M, el-Karaksy H, Okasha S, el-Hennawy A. Human fascioliasis: clinical features and diagnostic difficulties in Egyptian children. J Trop Pediatr. Jun 1997;43(3):162-6.
21.Nguyen TG, Le TH, De NV, et al. Assessment of a 27-kDa antigen in enzyme-linked immunosorbent assay for the diagnosis of fasciolosis in Vietnamese patients. Trop Med Int Health. Apr 2010;15(4):462-7.
22.Ai L, Dong SJ, Zhang WY, et al. Specific PCR-based assays for the identification of Fasciola species: their development, evaluation and potential usefulness in prevalence surveys. Ann Trop Med Parasitol. Jan 2010;104(1):65-72.
23.Le TH, Nguyen KT, Nguyen NT, Doan HT, Le XT, Hoang CT, et al. Development and evaluation of a single-step duplex PCR for simultaneous detection of Fasciola hepatica and Fasciola gigantica (family Fasciolidae, class Trematoda, phylum Platyhelminthes). J Clin Microbiol. Aug 2012;50(8):2720-6.
24.Keiser J, Duthaler U, Utzinger J. Update on the diagnosis and treatment of food-borne trematode infections. Curr Opin Infect Dis. Oct 2010;23(5):513-20.
25.Ubeira FM, Muiño L, Valero MA, Periago MV, Pérez-Crespo I, Mezo M. MM3-ELISA detection of Fasciola hepatica coproantigens in preserved human stool samples. Am J Trop Med Hyg. Jul 2009;81(1):156-62.
26.Chamadol N, Laopaiboon V, Techasatian P, Sukeepaisanjaroen W, Sripanuskul A. Computerized tomographic findings of hepatic fascioliasis compared with melioidosis-caused liver abscesses. J Med Assoc Thai. Jul 2010;93(7):838-48.
27.Cantisani V, Cantisani C, Mortele K, et al. Diagnostic imaging in the study of human hepatobiliary fascioliasis. Radiol Med. Feb 2010;115(1):83-92.
28.Bacq Y, Besnier JM, Duong TH, et al. Successful treatment of acute fascioliasis with bithionol. Hepatology. Dec 1991;14(6):1066-9. [Medline].
29.el-Karaksy H, Hassanein B, Okasha S, Behairy B, Gadallah I. Human fascioliasis in Egyptian children: successful treatment with triclabendazole. J Trop Pediatr. Jun 1999;45(3):135-8. [Medline].
30.Villegas F, Angles R, Barrientos R, Barrios G, Valero MA, Hamed K, et al. Administration of triclabendazole is safe and effective in controlling fascioliasis in an endemic community of the Bolivian Altiplano. PLoS Negl Trop Dis. 2012;6(8):e1720. [Medline]. [Full Text].
31.Winkelhagen AJ, Mank T, de Vries PJ, Soetekouw R. Apparent Triclabendazole-Resistant Human Fasciola hepatica Infection, the Netherlands. Emerg Infect Dis. Jun 2012;18(6):1028-9. [Medline].
32.Dowidar N, El Sayad M, Osman M, Salem A. Endoscopic therapy of fascioliasis resistant to oral therapy. Gastrointest Endosc. Sep 1999;50(3):345-51. [Medline].
33.Apt W, Aguilera X, Vega F, et al. Treatment of human chronic fascioliasis with triclabendazole: drug efficacy and serologic response. Am J Trop Med Hyg. Jun 1995;52(6):532-5. [Medline].
34.Falcón CR, Carranza FA, Aoki P, Motrán CC, Cervi L. Adoptive Transfer of Dendritic Cells Pulsed With Fasciola hepatica Antigens and Lipopolysaccharides Confers Protection Against Fasciolosis in Mice. J Infect Dis. Feb 2012;205(3):506-14. [Medline].
35.Leon M, Alave J, Alvarado R, Gotuzzo E, Terashima A, Seas C. A 52-year-old woman with a subcapsular liver hematoma. Clin Infect Dis. May 2011;52(9):1137, 1195-6. [Medline].
36.Arauco R, Zetola NM, Calderon F, Seas C. Human fascioliasis: a case of hyperinfection and an update for clinicians. Foodborne Pathog Dis. 2007;4(3):305-12. [Medline].
37.Arjona R, Riancho JA, Aguado JM, Salesa R, Gonzalez-Macias J. Fascioliasis in developed countries: a review of classic and aberrant forms of the disease. Medicine (Baltimore). Jan 1995;74(1):13-23. [Medline].
38.Ashrafi K, Valero MA, Massoud J, et al. Plant-borne human contamination by fascioliasis. Am J Trop Med Hyg. Aug 2006;75(2):295-302. [Medline].
39.Bunnag D, Bunnag T, Goldsmith R. Liver fluke infections. In: Hunter's Tropical Medicine. 1991:818-27.
40.Cheng AC, Zakhidov BO, Babadjonova LJ, Rogers NK, McCollum CJ, Hillyer GV. A 6-year-old boy with facial swelling and monocular blindness. Clin Infect Dis. Nov 1 2007;45(9):1207, 1238-9. [Medline].
41.Clark BM, Lloyd BA, Christopher GW, Foody WF. A young man from Peru with fever and abdominal pain. Clin Infect Dis. Mar 15 2005;40(6):842-3, 879-80. [Medline].
42.Diaz E, Mondragon J, Ramirez E, Bernal R. Epidemiology and control of intestinal parasites with nitazoxanide in children in Mexico. Am J Trop Med Hyg. Apr 2003;68(4):384-5. [Medline]. [Full Text].
43.Dreyfuss G, Rondelaud D. Biodiversity of flukes. Parasite. Sep 2008;15(3):282-5. [Medline].
44.Espinoza JR, Maco V, Marcos L, Saez S, Neyra V, Terashima A. Evaluation of Fas2-ELISA for the serological detection of Fasciola hepatica infection in humans. Am J Trop Med Hyg. May 2007;76(5):977-82. [Medline].
45.Fox LM, Saravolatz LD. Nitazoxanide: a new thiazolide antiparasitic agent. Clin Infect Dis. Apr 15 2005;40(8):1173-80. [Medline].
46.Fried B, Abruzzi A. Food-borne trematode infections of humans in the United States of America. Parasitol Res. May 2010;106(6):1263-80. [Medline].
47.Garcia HH, Moro PL, Schantz PM. Zoonotic helminth infections of humans: echinococcosis, cysticercosis and fascioliasis. Curr Opin Infect Dis. Oct 2007;20(5):489-94. [Medline].
48.Graham CS, Brodie SB, Weller PF. Imported Fasciola hepatica Infection in the United States and Treatment with Triclabendazole. Clin Infect Dis. Jul 1 2001;33(1):1-5. [Medline].
49.Gökçe M, Sahiner U, Unal S, Parlakay A, oncel I, Saçkesen C, et al. An unexpected parasitic cause of hypereosinophilia: fascioliasis. Turk J Pediatr. Jan-Feb 2011;53(1):111-3. [Medline].
50.Hien TT, Truong NT, Minh NH, et al. A randomized controlled pilot study of artesunate versus triclabendazole for human fascioliasis in central Vietnam. Am J Trop Med Hyg. Mar 2008;78(3):388-92. [Medline].
51.Kabaalioglu A, Apaydin A, Sindel T, Luleci E. US-guided gallbladder aspiration: a new diagnostic method for biliary fascioliasis. Eur Radiol. 1999;9(5):880-2. [Medline].
52.Kaewpitoon N, Kaewpitoon SJ, Pengsaa P, Pilasri C. Knowledge, attitude and practice related to liver fluke infection in northeast Thailand. World J Gastroenterol. Mar 28 2007;13(12):1837-40. [Medline].
53.Karabuli TA, Shaikhani MA, Karadaghi SH, Kasnazan KH. Education and imaging. Hepatobiliary and pancreatic: fascioliasis. J Gastroenterol Hepatol. Jul 2009;24(7):1309. [Medline].
54.Katz M, Despommier DD, Gwadz RW. Fasciola hepatica. In: Parasitic Diseases. 1989:112-6.
55.Keiser J, Duthaler U, Utzinger J. Update on the diagnosis and treatment of food-borne trematode infections. Curr Opin Infect Dis. Oct 2010;23(5):513-20. [Medline].
56.Keiser J, Utzinger J. Chemotherapy for major food-borne trematodes: a review. Expert Opin Pharmacother. Aug 2004;5(8):1711-26. [Medline].
57.Keiser J, Utzinger J. Food-borne trematodiases. Clin Microbiol Rev. Jul 2009;22(3):466-83. [Medline]. [Full Text].
58.Le TH, De NV, Agatsuma T, Blair D, Vercruysse J, Dorny P. Molecular confirmation that Fasciola gigantica can undertake aberrant migrations in human hosts. J Clin Microbiol. Feb 2007;45(2):648-50. [Medline].
59.Lim JH, Kim SY, Park CM. Parasitic diseases of the biliary tract. AJR Am J Roentgenol. Jun 2007;188(6):1596-603. [Medline].
60.Lim JH, Mairiang E, Ahn GH. Biliary parasitic diseases including clonorchiasis, opisthorchiasis and fascioliasis. Abdom Imaging. Mar-Apr 2008;33(2):157-65. [Medline].
61.Liu LX, Harinasuta KT. Liver and intestinal flukes. Gastroenterol Clin North Am. Sep 1996;25(3):627-36. [Medline].
62.Lopez-Velez R, Dominguez-Castellano A, Garron C. Successful treatment of human fascioliasis with triclabendazole. Eur J Clin Microbiol Infect Dis. Jul 1999;18(7):525-6. [Medline].
63.L. Mottier, L. Alvarez, I. Fairweather, C. Lanusse (2006), Resistance-induced changes in triclabendazole transport in fasciola hepatica: ivermectin reversal effect , Journal of Parasitology 92(6):1355-1360. 2006
64.MacLean JD, Cross J, Mahanty S. Liver, lung, and intestinal fluke infections. In: Tropical Infectious Diseases: Principles, Pathogens, & Practice. 1999:1039-57.
65.Makay O, Gurcu B, Caliskan C, Nart D, Tuncyurek M, Korkut M. Ectopic fascioliasis mimicking a colon tumor. World J Gastroenterol. May 14 2007;13(18):2633-5. [Medline].
66.Mannstadt M, Sing A, Leitritz L, Brenner-Maucher K, Bogner J. Conservative management of biliary obstruction due to Fasciola hepatica. Clin Infect Dis. Nov 2000;31(5):1301-3. [Medline].
67.Mansour-Ghanaei F, Shafaghi A, Fallah MS. The effect of metronidazole in treating human fascioliasis. Med Sci Monit. Oct 2003;9(10):PI127-30. [Medline].
68.Marcos L, Maco V, Samalvides F. Risk factors for Fasciola hepatica infection in children: a case-control study. Trans R Soc Trop Med Hyg. Feb 2006;100(2):158-66. [Medline].
69. Marcos LA, Tagle M, Terashima A, et al. Natural history, clinicoradiologic correlates, and response to triclabendazole in acute massive fascioliasis. Am J Trop Med Hyg. Feb 2008;78(2):222-7. [Medline].
71.Marcos LA, Terashima A, Gotuzzo E. Update on hepatobiliary flukes: fascioliasis, opisthorchiasis and clonorchiasis. Curr Opin Infect Dis. Oct 2008;21(5):523-30. [Medline].
72.Mas-Coma S, Valero MA, Bargues MD. Chapter 2. Fasciola, lymnaeids and human fascioliasis, with a global overview on disease transmission, epidemiology, evolutionary genetics, molecular epidemiology and control. Adv Parasitol. 2009;69:41-146. [Medline].
73.McManus DP, Dalton JP. Vaccines against the zoonotic trematodes Schistosoma japonicum, Fasciola hepatica and Fasciola gigantica. Parasitology. 2006;133 Suppl:S43-61. [Medline].
74.Nawa Y, Hatz C, Blum J. Sushi delights and parasites: the risk of fishborne and foodborne parasitic zoonoses in Asia. Clin Infect Dis. Nov 1 2005;41(9):1297-303. [Medline].
75.Noyer CM, Coyle CM, Werner C, et al. Hypereosinophilia and liver mass in an immigrant. Am J Trop Med Hyg. Jun 2002;66(6):774-6. [Medline]. [Full Text].
76.Pearson RD. Nitazoxanide As Treatment of Intestinal Parasites in Children. Curr Infect Dis Rep. Feb 2004;6(1):25-26. [Medline].
77.Pearson RD, Weller PF, Guerrant. Chemotherapy of parasitic diseases. In: Tropical Infectious Diseases: Principles, Pathogens, & Practice. 1999:215-37.
78.Pilsczek FH. Helminthic infections mimicking malignancy: a review of published case reports. J Infect Dev Ctries. Aug 4 2010;4(7):425-9. [Medline].
79.Price TA, Tuazon CU, Simon GL. Fascioliasis: case reports and review. Clin Infect Dis. Sep 1993;17(3):426-30. [Medline].
80.Rana SS, Bhasin DK, Nanda M, Singh K. Parasitic infestations of the biliary tract. Curr Gastroenterol Rep. Apr 2007;9(2):156-64. [Medline].
81.Richter J, Knipper M, Gobels K. Fascioliasis. Curr Treatment Options Infect Dis. 2002;4:313-7.
82.Robertson J, Shilkofski N. Drug doses. In: The Harriet Lane Handbook: A Manual for Pediatric House Officers. Philadelphia, Pa: Mosby; 2005:679-1009.
83.Sripa B, Kaewkes S, Intapan PM, Maleewong W, Brindley PJ. Food-borne trematodiases in Southeast Asia epidemiology, pathology, clinical manifestation and control. Adv Parasitol. 2010;72:305-50. [Medline].
84.Sripa B, Kaewkes S, Sithithaworn P, Mairiang E, Laha T, Smout M. Liver fluke induces cholangiocarcinoma. PLoS Med. Jul 2007;4(7):e201. [Medline].
85.Tantrawatpan C, Maleewong W, Wongkham C, et al. Serodiagnosis of human fascioliasis by a cystatin capture enzyme-linked immunosorbent assay with recombinant Fasciola gigantica cathepsin L antigen. Am J Trop Med Hyg. Jan 2005;72(1):82-6. [Medline]. [Full Text].
86.Turner JA. Trematodes. In: Textbook of Pediatric Infectious Diseases. 2004:2817-25.
87.Valero MA, Santana M, Morales M, et al. Risk of gallstone disease in advanced chronic phase of fascioliasis: an experimental study in a rat model. J Infect Dis. Sep 1 2003;188(5):787-93. [Medline].
88.Walker SM, McKinstry B, Boray JC, et al. Response of two isolates of Fasciola hepatica to treatment with triclabendazole in vivo and in vitro. Parasitol Res. Dec 2004;94(6):427-38. [Medline].
89.Xuan le T, Hung NT, Waikagul J. Cutaneous fascioliasis: a case report in Vietnam. Am J Trop Med Hyg. May 2005;72(5):508-9. [Medline]. [Full Text].
90.Yi-Zhu X, Zhi-Bang Y. A case of ectopic fascioliasis in the skin. Trop Doct. Oct 2010;40(4):253-4. [Medline].
91.G.P. Brennan, I. Fairweather, A. Trudgett, E. Hoey et al (2008), Understanding triclabendazole resistance, Experimental and Molecular Pathology, Volume 82, Issue 2, p 104–109
92.Sargison, Neil et al., (2012), Diagnosis of triclabendazole resistance in Fasciola hepatica, Journal of the British Veterinary Association;8/11/2012, Vol. 171 Issue 6, p151.