Ngày 20/11/2014. BioMed Central - Sán dây được tìm thấy sống bên trong não của bệnh nhân: loại bỏ sán dây và xét nghiệm chuỗi trình tự gen (Tapeworm found living inside a patient's brain: Worm removed and sequenced).
Theo nghiên cứu được công bố trên tạp chí tiếp cận mở Sinh học gen (journal Genome Biology) một bộ gen của một loài sán dây hiếm gặp được tìm thấy sống bên trong não của bệnh nhân đã được xét nghiệm chuỗi trình tự gen lần đầu tiên cung cấp cái nhìn sâu sắc vào các loại thuốc tiềm năng trong bộ gen để điều trị trong tương lai.
Sán dây là ký sinh trùng thường được tìm thấy hầu hết sống trong ruột gây ra các triệu chứng như suy nhược, sụt cân và đau bụng. Tuy nhiên, ấu trùng của một số loài sán dây có thể đi xa hơn đến các khu vực khác như mắt, não và tủy sống. Một người đàn ông 50 tuổi gốc Trung Quốc đã được đưa vào bệnh viện ở phía Đông của nước Anh sau khi báo cáo có các triệu chứng đau đầu, co giật, thay đổi mùi và suy giảm trí nhớ. Bệnh nhân đã sống ở Anh trong 20 năm nhưng đã về thăm quê hương của mình thường xuyên. Sau khi xét nghiệm âm tính với một loạt các bệnh và không có bất cứ biểu hiện bất thường nào khác, các bác sĩ bắt đầu thực hiện một loạt các hình ảnh cộng hưởng từ (MRI) của não bệnh nhân. Trong suốt 4 năm họ nhận thấy một tổn thương di chuyển ít nhất 5 cm trên toàn bộ não của ông ta và sau khi sinh thiết từ vùng đồi bên trái của bệnh nhân họ phát hiện ra một con ấu trùng sán dây hình dải ruy băng dài 1 cm. Bệnh nhân, người vẫn còn vô danh đã được chữa khỏi nhiễm trùng bằng phẫu thuật và bây giờ đang hồi phục.
Các mẫu nhỏ của sán dây đã được gửi đến các nhà nghiên cứu tại Viện Wellcome Trust Sanger, nơi đó họ bắt đầu nghiên cứu hệ gen của nó. Thông qua phân tích trình tự DNA của nó, họ đã xác định đó là Spirometra erinaceieuropaei, một loài sán dây hiếm thường được tìm thấy ở Trung Quốc, Hàn Quốc, Nhật Bản và Thái Lan, và được biết là gây ra nhiễm trùng bằng cách ăn rắn hoặc ếch nấu chưa chín, sử dụng thịt ếch để điều trị vết thương, và uống nước bị ô nhiễm. Các nhà nghiên cứu phân tích chuỗi trình tự toàn bộ hệ gen của loài sán dây lần đầu tiên, đo đếm nó có khoảng 1,26 tỷ cặp đôi dài, hiện là bộ gen lớn nhất được báo cáo cho bất kỳ loài giun dẹp nào là do các nhà khoa học đã có một mẫu nhỏ như vậy để nghiên cứu sau khi loại bỏ từ não bộ của bệnh nhân, bằng việc nghiên cứu các phần đặc biệt về bộ gen của loài sán dây họ cũng đã có thể xác định các gen đề kháng với một số thuốc và các mục tiêu loại thuốc tiềm năng khác.
 |
| Hình ảnh bên ngoài của sán dây |
Tác giả chính của nghiên cứu Hayley Bennett từ Viện Wellcome Trust Sanger cho biết: "Tình trạng nhiễm trùng này rất hiếm gặp trên thế giới và hoàn toàn bất ngờ ở đất nước này khi mà bệnh nhân không được chẩn đoán nhiễm ấu trùng sán dây cho đến khi sán dây đã được lấy ra từ não Chúng tôi cũng rất ngạc nhiên về độ lớn của bộ gen và nó là lớn hơn nhiều so bộ gen của các loài giun dẹp khác được biêt, và gần bằng một phần ba kích thước của bộ gen người, bằng cách so sánh bộ gen này với các bộ gen sán dây khác chúng ta có thể thấy rằng mọt số họ gen được mở rộng- những gen này có thể củng cố thêm cơ sở về sự thành công của sán dây này trong một lượng lớn các loài vật chủ, các dữ liệu đã cho chúng tôi một cái nhìn đầu tiên về một nhóm sán dây mà chưa được phân tích chuỗi trình tự gen trước đây".
|
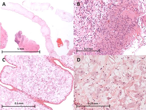
| Đây là một cái nhìn phóng đại của sán dây và mô não liền kề từ sinh thiết. |
Qua điều tra các phần đặc biệt của bộ gen về tính nhạy cảm tới các thuốc điều trị sán dây đã được biết đến, các nhà nghiên cứu phát hiện ra rằng sán dây có các gen cung cấp khả năng đề kháng tới thuốc benzimidazole, nhưng có thể nhạy với thuốc sán dây khác là Praziquantel. Nhóm nghiên cứu cũng điều tra bộ gen để tìm các mục tiêu tiềm năng mà có thể được khai thác bởi các loại thuốc đã có trên thị trường nhưng được biết dùng để điều trị các bệnh khác, họ tìm thấy một số gen là mục tiêu cho các loại thuốc ung thư được biết đến, cho thấy rằng những loại thuốc này có thể được sử dụng lại để điều trị loại nhiễm trùng này. Các nhà nghiên cứu cũng xác định 20 họ gen được mở mà chức năng không rõ, mà họ nói chứng minh là ít được biết về thứ tự này của sán dây và có thể giải thích khả năng của sán dây để sống trong một loạt các vật chủ (động vật giáp xác, các loài bò sát, lưỡng cư và động vật có vú) cũng như trong môi trường thủy sinh, họ đã thực hiện tất cả các dữ liệu của họ và công bố công khai để giúp các nhà nghiên cứu khác. Hayley Bennett cho biết: "Chúng tôi nghĩ rằng điều quan trọng là làm cho các dữ liệu về bộ gen có sẵn vì điều đó cung cấp một nguồn thông tin dự đoán để các loại thuốc khác có thể được tái sử dụng trong các nhiễm khuẩn thực sự hiếm như trong trường hợp này".