Bệnh echinococcosis ở người là bệnh ký sinh trùng nguyên nhân do sán dây thuộc giống Echinococcus. Có hai thể bệnh quan trọng nhất ở người đó là bệnh nang sán echinococcosis (cystic Echinococcosis) và bệnh ở phế nang hay phổi (Echinococcosis alveolar).
Những dữ liệu chính bệnh Echinococcosis
· Bệnh echinococcosis ở người là bệnh ký sinh trùng nguyên nhân do sán dây thuộc giống Echinococcus.
· Có hai thể bệnh quan trọng nhất ở người đó là bệnh nang sán echinococcosis (cystic Echinococcosis) và bệnh ở phế nang hay phổi (Echinococcosis alveolar).
· Con người nhiễm bệnh thông qua tiêu hóa thực phẩm, nước và đất bị ô nhiễm trứng của ký sinh trùng hoặc con người nhiễm thông qua tiếp xúc trực tiếp với động vật nhiễm bệnh;
· Bệnh Echinococcosis thường điều trị phức tạp và rất tốn kém. Trong một số trường hợp có thể cần phải phẫu thuật mở rộng hoặc liệu trình điều trị thuốc kéo dài.
· Các chương phòng chống liên quan đến tẩy giun ở chó, cải thiện vệ sinh lò mổ và các chiến dịch giáo dục cộng đồng; tiêm vaccine cho cừu con hiện nay đang được đánh giá là biện pháp can thiệp bổ sung.
· Trên thế giới ước tính có hơn 1 triệu người bị ảnh hưởng bệnhEchinococcosis.
· TCYTTG đang làm việc hướng đến việc thông qua các chiến lượckiểm soát hiệu quảbệnh nang sán Echinococcosis vào năm 2018;
· Bệnh sán echinococcosis là bệnh lan truyền từ động vật sang người nguyên nhân do ký sinh trùng gây ra, tên là sán dây thuốc giống Echinococcus
Bệnh sán echinococcosis có 4 thể bệnh:
· Bệnh nang sán Echinococcosis (cystic echinococcosis), cũng được biết đến là bệnh nang sán chó hoặc bệnh hydatidosis, nguyên nhân do nhiễm loài ký sinh trùng Echinococcus granulosus;
· Bệnh ở phế nang hay phổi (alveolar echinococcosis) nguyên nhân do nhiễm loài ký sinh trùng E. multilocularis;
· Bệnh lý đa nang (polycystic echinococcosis) nguyên nhân do nhiễm loài ký sinh trùng E. vogeli;
· Bệnh unicystic echinococcosis nguyên nhân do nhiễm loài ký sinh trùng E. oligarthrus;
·  !important; Trong đó, có hai hình thái lâm sàng quan trọng nhất trong y học và ảnh hưởng đến sức khỏe cộng đồng đó là bệnh nang sán echinococcosis (cystic echinococcosis) và bệnh ở phế nang hay phổi (alveolar echinococcosis)
Gánh nặng kinh tế và sức khỏe
· Bệnh nang sán Echinococcosis và bệnh ở phổi hay phế nang là hai bệnh điển hình cho gánh nặng bệnh tật đáng kể. Trên toàn thế giới, có hơn 01 triệu người sống chung với các bệnh này tại một thời điểm. Nhiều người trong số những người này sẽ trải qua các hội chứng lâm sàng nghiêm trọng, đe dọa đến tính mạng nếu không được điều trị kịp thời. Ngay cả khi được điều trị, số người này thường phải đối mặt với giảm chất lượng cuộc sống.
· Đối với bệnh nang sán Echinococcosis, tỷ lệ tử vong sau phẩu thuật ước tính khoảng 2,2% và khoảng 6,5% các trường hợp tái phát sau khi can thiệp đòi hỏi thời gian phục hồi lâu hơn. Ước tính gần đây cho thấy, kết quả bệnh nang sán đã làm cho ít nhất 01 triệu trường hợp gánh nặng bệnh tật để lại di chứng và có thể lên đến 3 triệu trường hợp mỗi năm.
· Chi phí hàng năm liên quan đến bệnh nang sán ước tính khoảng 3 tỷ đô la để điều trị và gây thiệt hai cho ngành chăn nuôi.
· Bệnh ở nang phổi hay phế nang để lại di chứng suốt những năm sau này cho khoảng 650.000 người hàng năm, hầu hết gánh nặng bệnh tập trung ở phía Tây Trung Quốc.
Con đường lan truyền bệnh
Động vật ăn cỏ và động vật ăn tạp được xem là vật chủ trung gian truyền bệnh. Nghĩa là những động vật này bị nhiễm khi tiêu hóa trứng ký sinh trùng nhiễm trên mặt đất và phát triển thành ấu trùng ở trong các cơ quan nội tạng.
Động vật ăn thịt là vật chủ của ký sinh trùng và bị nhiễm thông qua tiêu thụ các cơ quan nội tạng của vật chủ trung gian mà chúng là ổ chứa ký sinh trùng và cũng thông qua tìm kiếm thức ăn thối nát bị nhiễm.
Con người là vật chủ trung gian tình cờ và không có khả năng truyền bệnh.
Bệnh nan sáng Echinococcosis duy trì chủ yếu trong vòng đời lan truyền đó là chó – cừu – chó, nhưng một số loài động vật nuôi khác có thể liên quan như dê, lợn, ngựa, bò, gia súc, lạc đà và bò Tây tạng.
Bệnh ở phế nang hay phổi (Alveolar echinococcosis) thường xảy ra ở chu trình động vật hoang dã giữa cáo, các loài động vật ăn thịt khác và động vật có vú nhỏ (chủ yếu là động vật gặm nhắm). Chó và mèo nuôi trong nhà có thể cũng bị nhiễm ký sinh trùng.
Các dấu hiệu và triệu chứng lâm sàngNgười nhiễm loài ký sinh trùng E. granulosus dẫn đến sự phát triển một hoặc nhiều nang sán nằm chủ yếu ở gan và phổi, và thỉnh thoảng nằm trong xương, thận, lá lách, cơ, hệ thống thầnkinh trung ương và mắt.
Giai đoạn ủ bệnh không xuất hiện các triệu chứng có thể kéo dài nhiều năm cho đến khi nang sán phát triển đến một mức độ mà gây ra các triệu chứng lâm sàng. Các dấu hiệu lâm sàng không điển hình gồm chán ăn, sụt cân và suy nhược. Các dấu hiệu khác phụ thuộc vào vị trí các nang sán và áp lực tác dụng lên các mô xung quanh.
Đau bụng, buồn nôn và nôn thường thấy khi các nang sán xảy ra trong gan. Nếu phổi bị ảnh hưởng, các dấu hiệu lâm sàng bao gồm ho mãn tính, đau ngực và khó thở.
Bệnh ở phế nang hay phổi (Alveolar echinococcosis) đặc trưng bởi thời gian ủ bệnh không có triệu chứng kéo dài từ 5-15 năm và sự phát triển chậm của tổn thương khối u chính thường nằm ở gan. Dấu hiệu lâm sàng bao gồm giảm cân, đau bụng, khó chịu nói chung và dấu hiệu của suy gan.
Các khối u do ấu trùng có thể lây lan đến các cơ quan tiếp giáp với gan (ví dụ như lá lách) hoặc các vị trí xa (phổi, não) tiếp theo là sự phổ biến của ký sinh trùng qua máu và hệ bạch huyết. Nếu không điều trị, bệnh ở phế nang hay phổi phát triển và gây tử vong.
Phân bố của bệnh echinococcosisBệnh nang sán Echinococcosis phân bố trên toàn cầu và được tìm thấy ở tất cả các lục địa ngoại trừ Nam cực. Bệnh ở phế nang hay phổi được giới hạn đến bắc bán cầu, đặc biệt là ở các khu vực của Trung Quốc, Liên bang Nga và các quốc gia ở lục địa châu Âu và Bắc Mỹ.
Ở các khu vực lưu hành, tỷ lệ hiện mắc bệnh nang sán echinococcosis ở người có thể lớn hơn 50 ca bệnh/100.000 dân/năm và mức độ phổ biến của bệnh cao từ 5 - 10% có thể xảy ở các vùng của Argentina, Peru, Đông Phi, Trung Á và Trung Quốc. Trong chăn nuôi, tỷ lệ mắc bệnh nang sán echinococcosis tìm thấy trong các lò giết mổ ở khu vực lưu hành nặng ở Nam Mỹ thay đổi từ 20-95% động vật giết mổ.
Tỷ lệ cao nhất được tìm thấy ở những khu vực nông thôn nơi mà động vật lớn được giết mổ. Phụ thuộc vào các loài nhiễm bệnh có liên quan, thiệt hại trong chăn nuôi là do sán nang Echinococcosis kết quả dẫn đến giảm trọng lượng thịt, giảm giá trị, giảm sản lượng sữa và giảm khả năng sinh sản.
Phát hiện và Chẩn đoán.
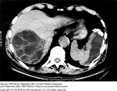
Siêu âm là kỹ thuật hình ảnh được lựa chọn cho việc chẩn đoán cả hai hình thức đó là bệnh nang sán Echinococcosis và bệnh ở phế nang hay phổi. Kỹ thuật này thường được bổ sung hoặc xác nhận bởi chụp cắt lớp vi tính (CT-scanner) và/ hoặc chụp hình cộng hưởng từ (Magnetic Resonance Imaging_MRI).
Đôi khi, các u nang có thể phát hiện tình cờ bởi chụp x-quang. Kháng thể đặc hiệu được phát hiện bằng xét nghiệm huyết thanh khác nhau và có thể hỗ trợ chẩn đoán. Sinh thiết và hướng dẫn siêu âm cũng có thể được thực hiện đối với chẩn đoán phân biệt u nang từ các khối u và áp-xe.
Thái độ xử trí và quản lý ca bệnhCả hai hình thức bệnh gồm bệnh nang sán Echinococcosis và bệnh ở phế nang hay phổi Echinococcosis điều trị thường tốn kém và phức tạp, đôi khi cần phải phẫu thuật mở rộng và / hoặc điều trị bằng thuốc kéo dài.
Bốn lựa chọn hiện có thể để điều trị bệnh sán nang Echinococcosis:
· Điều trị nang sán chó tiêm dưới da với kỹ thuật PAIR (Puncture, Aspiration, Injection, Reaspiration) hay chọc, hút, tiêm và hút lại;
· Phẫu thuật;
· Điều trị bằng thuốc chống nhiễm trùng;
· Xem và chờ đợi!.
Lựa chọn điều trị chủ yếu phải dựa trên hình ảnh siêu âm u nang, tiếp theo là cách tiếp cận ở giai đoạn cụ thể và cũng phụ thuộc vào cơ sở hạ tầng y tế và nguồn nhân lực phù hợp.
Bệnh ở phổi hay phế nangEchinococcosis, chẩn đoán sớm và phẫu thuật (khối u) triệt để, kếtiếp là dự phòng chống nhiễm bằng thuốcalbendazole, đây vẫn là yếu tố chính. Nếu tổn thương có giới hạn, phẫu thuật triệt để là biện pháp để điều trị bệnh. Tuy nhiên, ở nhiều bệnh nhân bệnh được chẩn đoán ở giai đoạn phát triển và phẩu thuật để giảm nhẹ, nếu thực hiện mà không có hoặc có điều trị chống lây nhiễm không đẩy đủ, kết quả là thường xuyên xảy ra tái phát.
Giám sát, phòng chống và kiểm soát bệnh
· Giám sát bệnh nang sán ở động vật rất khó khăn bởi vì các vật nuôi nhiễm không có biểu hiện triệu chứng. Giám sát cũng không công nhận hoặc sự ưu tiên của cộng đồng hoặc các dịch vụ thú ý địa phương;
· Bệnh nang sán là bệnh có thể phòng ngừa được vì nó liên quan đến các loài động vật nuôi và đây là những vật chủ chính và trung gian truyền bệnh. Tẩy giun định kỳ cho chó, cải thiện vệ sinh trong giết mổ gia súc (bao gồm cả tiêu hủy thích hợp của bộ phận nội tạng bị nhiễm) và các chiến dịch giáo dục cộng đồng để giảm tỷ lệ mắc bệnh và ở các nước có thu nhập cao, dự phòng lây truyền và làm giảm bớt gánh nặng bệnh tật cho con người;
· Tiêm vaccine cho cừu với kháng nguyên tái tổ hợp (EG95) E. granulosus mang lại nhiều triển vong khả quan để phòng ngừa và kiểm soát. Thử nghiệm vaccine EG95 quy mô nhỏ ở cừu cho thấy hiệu quả và an toàn cao với cừu con tiêm chủng không bị nhiễm E. granulosus;
· Một chương trình kết hợp tiêm chủng cừu con, tẩy giun ở chó và loại bỏ những con cừu già có thể dẫn đến loại bỏ bệnh nang sán ở người trong vòng chưa đầy 10 năm;
· Phòng ngừa và kiểm soát bệnh ở phổi hay phế nang Echinococcosis phức tạp hơn nhiều do chu trình lan truyền bệnh liên quan đến động vật hoang dã như vật chủ chính và trung gian truyền bệnh. Tẩy giun thường xuyên động vật nuôi ăn thịt được tiếp cận với các loài gặm nhấm hoang dã sẽ giúp làm giảm nguy cơ nhiễm bệnh ở người;
· Tiêu huỷ cáo và chó không có nguồn gốc tự do vận chuyển được áp dụng nhưng dường như không hiệu quả cao. Tẩy giunvật chủtự nhiênvà gia súc đi lạcvới mồi nhử có thuốc tẩy giun dẫn đếngiảm đáng kểtỷ lệ mắc bệnh phế nang Echinococcosis trong các nghiên cứu châu Âuvà Nhật Bản. Tuy nhiên tính bền vững và hiệu quả chi phí - lợi ích của các chiến dịch còn gây tranh cãi.
Đáp ứng của TCYTTG đối với bệnh· TCYTTG đang giúp để các nước nhận ra phát triển và thực hiện các dự án thí điểm dẫn đến thông qua các chiến lược kiểm soát hiệu quả bệnh nang sán Echinococcosis vào năm 2018.
· Sau năm 2018, can thiệp sẽ mở rộng ra một số nước được lựa chọn để kiểm soát và loại bỏ bệnh nang sán Echinococcosis là một vấn đề y tế cộng đồng bằng cách sử dụng thông qua chiến lược sẽ là một ưu tiên.
· Chi phí thực hiện các dự án thí điểm bệnh nang sán Echinococcosis giai đoạn 2013-2017, để thu được thông qua các chiến lược Echinococcosis ở ba quốc gia vào năm 2018, ước đạt khoảng 10 triệu đô la Mỹ.
· TCYTTG cũng hỗ trợ xây dựng năng lực thông qua các khóa đào tạo nhân viên y tế và trợ giúp nhân viên y tế tập trung vào việc quản lý lâm sàng của bệnh nang sán Echinococcosis ở khu vực nông thôn của các nước bị ảnh hưởng.