Hội chứng ấu trùng di chuyển dưới da do giun móc khi đi chơi biển; Tại sao sán dây và ký sinh trùng đường ruột lại không bị tiêu hóa trong cơ thể chúng ta?; Bạn đang được chứng kiến cảnh tượng kinh dị nhưng khó bắt gặp nhất trong tự nhiên; Phát hiện thấy sinh vật lạ giống dây thép gai nằm quằn quại trên mặt đất; Bí quyết ăn uống an toàn để tránh xa sán xơ mít ; Cảnh báo nguy cơ từ việc cho thú nuôi ăn thịt sống
Hội chứng ấu trùng di chuyển dưới da do giun móc khi đi chơi biển
Một cặp vợ chồng đang tận hưởng những giây phút thư giãn, hạnh phúc của chuyến du lịch bằng tàu đến vùng biển Caribbean thì tai họa đột nhiên ập đến, cuối cùng phải kết thúc chuyến đi bằng việc nhập viện. Câu chuyện của cặp vợ chồng này vừa được xuất bản gần đây trong Tạp chí Y học Anh. Theo đó, sau buổi tham quan tại bờ biển Martinique, cặp đôi bỗng cảm thấy phía sau mông của mình có cảm giác đau rát. Đến ngày hôm sau, người vợ, 52 tuổi, bắt đầu xuất hiện những vết đỏ loang trên da. Người chồng cũng có tình trạng tương tự nhưng nhẹ hơn một chút.
Bác sĩ trên tàu du lịch đã kê cho người vợ uống kháng sinh, kem bôi steroid và thuốc kháng nấm, tuy nhiên tất cả đều không mang đến hiệu quả gì. Hai vợ chồng cũng được cho uống thuốc diệt ký sinh trùng nhưng chỉ 5 ngày sau, người vợ đã được đưa đến bệnh viện Addenbrooke, Cambridge, trong tình trạng ho khan, khó thở. Không lâu sau, người chồng cũng xuất hiện triệu chứng giống hệt. Trên mông họ đều xuất hiện những mảng chỉ đỏ loằn ngoằn.
Nguyên nhân sau đó được các bác sĩ tìm ra, đó là cặp đôi đã bị nhiễm ký sinh trùng, tình trạng có tên ấu trùng di chuyển dưới da (Cutaneous Larva Migrans_CLMs) gây ra bởi ấu trùng giun móc. Họ xác định hai vợ chồng có khả năng đã bị nhiễm giun trong lúc ngồi chơi trên bãi cát tại bờ biển Martinique. Bác sĩ Douglas Maslin - người đứng đầu BV Addenbrooke cho biết, tình trạng nhiễm giun móc thường thấy ở nhiều du khách sau khi đi nghỉ mát ở vùng nhiệt đới. Họ phát hiện đôi vợ chồng sau đó đều mắc phải chứng viêm phổi quá mẫn, do giun đã xâm nhập đến phổi. Trải qua một liệu trình điều trị tiếp theo, cặp đôi đã dần khỏe mạnh trở lại. Bệnh ấu trùng di chuyển là một bệnh nhiễm trùng da do ấu trùng giun móc từ mèo, chó và động vật khác.

Hình 1
Con người có thể bị nhiễm ấu trùng khi đi bộ chân trần trên bãi cát hoặc tiếp xúc với đất chứa phân động vật nhiễm ấu trùng. Khi bị ấu trùng ký sinh, chúng sẽ đào hang và di chuyển ngay bên dưới bề mặt da, biểu hiện là những đường chỉ mảnh màu đỏ xuất hiện trên da và cực kỳ ngứa ngáy. TS. Douglas cũng cho hay vị trí dễ bị ấu trùng tấn công nhất là bàn chân, song bất kỳ phần nào của cơ thể cũng đều có khả năng bị ấu trùng ký sinh nếu tiếp xúc.
Tại sao sán dây và ký sinh trùng đường ruột lại không bị tiêu hóa trong cơ thể chúng ta?
Các kiểu thức ăn từ cứng đến mềm khi vào bụng chúng ta đều được tiêu hoá sạch sẽ. Vậy tại sao sán dây và các ký sinh trùng lại vẫn sống? Quả là ác mộng khi biết rằng cơ thể chúng ta là nơi cư ngụ của các loài giun sán. Chúng vẫn nhởn nhơ tung tăng trong dạ dày cũng như đường ruột của ta mà không bị tiêu hóa như thức ăn. Vì sao vậy nhỉ?
Giun sán, cụ thể là giun đũa, giun móc, sán lá và sán xơ mít,… trong quá trình tiến hóa đã hình thành “một lớp da thứ hai”-đặt chúng vào nhóm động vật sở hữu mô bì mới. Lớp da này không giống như lớp tế bào chết ở da người mà là một mô sống và dày gấp 10 lần, có khả năng chống lại cả axit và kiềm. Giun đất sở hữu lớp da tương tự. Nói 1 cách dễ hiểu hơn thì lớp da này có lớp biểu bì mao thường thấy trên cá thể giun đất hay cá thể thuộc lớp sán lông không ký sinh, sống trong nước hay môi trường ẩm ướt. Lớp lông mao này có cơ chế tự bảo vệ chống lại sự tiêu hóa, đơn giản vì nó không có "vết nứt" giữa các tế bào để tế bào bạch cầu hay phân tử enzym tiêu hóa trong cơ thể vật chủ có thể khai thác, tấn công.

Hình 2
Không những thế, lớp da này có khả năng tái sinh một cách nhanh chóng, bởi các nhân tế bào được bảo vệ kỹ càng bên dưới bề mặt. Ngoài ra, phía bên ngoài da được phủ thêm một lớp chất nhờn giàu carbohydrate để bao vây và vô hiệu hóa các enzym tiêu hóa nữa. Riêng ở loài sán dây, chúng còn sở hữu thêm một lớp vi nhung mao làm tăng diện tích bề mặt để dễ hấp thụ thức ăn hơn. Vì vậy, hầu hết ký sinh trùng trong cơ thể người dung nạp được các dịch vị đường tiêu hóa.
Những con trưởng thành của hầu hết loài ký sinh trùng phát triển trong đường ruột, nơi có độ pH trung tính vừa phải so với dạ dày. Những con sống ở dạ dày có lớp nhung mao dai chắc hơn. Không chỉ con người mà hầu hết các loài động vật có vú bị nhiễm trứng giun sán “đang ngủ đông” qua đường thức ăn. Những trứng này sẽ được đánh thức khi vỏ của nó bị tiêu hóa bởi axit dạ dày của vật chủ.Điều này giải phóng ấu trùng thời kỳ đầu đến nơi ưa thích như dạ dày - ruột non hay trong máu để lưu thông. Sự thích ứng của lớp tegument đã được hoàn thiện qua quá trình tiến hóa hàng triệu năm, cho phép ký sinh trùng sống sót trong những môi trường tương đối không thân thiện trong vật chủ.
Bạn đang được chứng kiến cảnh tượng kinh dị nhưng khó bắt gặp nhất trong tự nhiên
Mới đây trên diễn đàn Reddit xuất hiện một chủ đề thu hút cực kỳ nhiều lượt theo dõi và bình luận. Lý do này bắt nguồn từ một cảnh tượng hết sức kinh dị nhưng cực kỳ khó bắt gặp trong tự nhiên. Để giải thích một cách dễ hiểu, thì đây là cảnh tượng một sinh vật thuộc loài ong ký sinh (parasitoid wasp) đang thoát ra khỏi cơ thể vật chủ của nó. Cá thể trưởng thành của ong bằng cách nào đó đã đẻ trứng vào trong cơ thể vật chủ. Trứng nở, ấu trùng của ong đục khoét cơ thể vật chủ từng chút một, sau đó lột xác và cắn vỡ bụng vật chủ để chui ra.
Nhìn chung, đây là một quá trình thực sự kinh dị. Con trưởng thành tiêm độc chất làm tê liệt vật chủ, trong khi ấu trùng nở ra sẽ biến vật chủ thành một con zombie đích thực. Nó sẽ giống như một xác sống, có thể cử động nhưng thậm chí chẳng cần ăn, trong khi ấu trùng thì gặm nhấm thân thể chúng dần dần.

Hình 3
Bạn thử tưởng tượng, nếu như giờ đây có một con quái vật nào đó trú ngụ trong cơ thể bạn, ăn dần dần các bộ phận theo thứ tự từ ít quan trọng nhất: 1 quả thận, 1 lá phổi, 1 ít gan, 1 đoạn ruột... Bạn vẫn sống, nhưng theo cái cách sống không bằng chết, thì vật chủ của lũ ký sinh kia cũng y như vậy. Thông thường, trứng của các loài parasitoid wasp không bao giờ được nhìn thấy, vì chúng chỉ được đẻ trong cơ thể của vật chủ. Ngay cả ấu trùng của chúng cũng vậy, vì rất khó để phân biệt côn trùng đã thành vật chủ với những cá thể bình thường.
Nhiều người có thể tự hỏi mục đích đến trái đất của cái lũ này là gì. Chúng quá kinh dị và man rợ để tồn tại, nhưng thực ra, các loài parasitoid wasp quan trọng với con người hơn chúng ta tưởng. Chúng có đến 40 loài, và rất nhiều trong số đó được dùng như một phương pháp để kiểm soát sâu bệnh cực kỳ hiệu quả mà không cần đến thuốc trừ sâu độc hại. Thế nên hãy trân trọng chúng hơn, vì nếu chúng không tồn tại, việc nuôi trồng nông sản có thể phải dựa hoàn toàn vào hóa chất. Mà rõ ràng điều đó chẳng ai mong muốn chút nào, đúng không?
Phát hiện thấy sinh vật lạ giống dây thép gai nằm quằn quại trên mặt đất
Hình dáng kỳ lạ của sinh vật bí ẩn đã khiến nhiều người liên tưởng tới loài động vật nào đó ở ngoài hành tinh. Xuất hiện trên một vách đá tại thành phố Tân Trúc, Đài Loan, Trung Quốc cách đây vài ngày, sinh vật lạ có hình dáng giống dây thép gai đã dấy lên nghi vấn về nguồn gốc thực sự của nó. Phần lớn đều không thể nhận định được nó là sinh vật gì - Sinh vật lạ được tìm thấy ở Tân Trúc, Đài Loan.

Hình 4
Được biết, người phát hiện ra sinh vật lạ này là cô Hsinchu. Cô cho biết mình đã rất sốc khi nhìn thấy nó nằm quằn quại trên vách đá. Vì mỗi người lại có nhận định khác nhau về sinh vật lạ nên cô thực sự muốn tìm hiểu chính xác về nguồn gốc của nó. Sau khi đăng tải hình ảnh về "sợi dây thép gai" biết cử động này lên mạng, Hsinchu đã nhận được câu trả lời thỏa đáng. Phần lớn đều cho rằng, sinh vật lạ đó thực chất chỉ là vài con giun bờm ngựa đang quấn chặt vào nhau. Giun bờm ngựa là một loài KST thường sống trong bụng các loài động vật chân đốt hay giáp xác. Sau khi xâm nhập vào cơ thể vật chủ, giun bờm ngựa sẽ dần phá hủy hệ thần kinh và kiểm soát tâm lý của vật chủ. Tới khi vật chủ chết, chúng mới chui ra khỏi bụng để đi tìm kiếm vật chủ mới. Những con giun bờm ngựa sẽ hút hết dinh dưỡng trong cơ thể vật chủ cho tới chết.
Kinh hoàng sán dài 10 cm ăn não chàng trai trẻ suốt 2 năm mà không hay biết
Chỉ đến khi bị mất trí nhớ và khả năng nói, chàng trai mới biết đến sự tồn tại của con sán dây trong não mình. Thói quen ăn uống mất vệ sinh luôn là nguyên nhân chính gây ra những căn bệnh tiềm ẩn. Đó chính là lý do vì sao chàng trai 19 tuổi người Trung Quốc tên là Wen Xiaoli đã bị nhiễm ấu trùng sán dây trong não suốt 2 năm trời mà không hay biết.
Được biết, 2 năm trước, Xiaoli không may bị đứt tay khi làm thịt ếch. Sau đó, cậu thường hay bị đau nửa đầu, thậm chí còn mắc chứng động kinh nhẹ. Không ai nghĩ đó là vấn đề nghiêm trọng cho đến khi Xiaoli bị tê liệt dẫn tới mất trí nhớ và khả năng nói. Lúc này, cậu mới được gia đình đưa tới Bệnh viện Xiangya thuộc trường Đại học Trung Nam tại thành phố Trường Sa, tỉnh Hồ Nam, Trung Quốc để chữa trị.
Tại đây, các bác sĩ cho biết, Xiaoli bị nhiễm sán dây. Đây là một căn bệnh dạng hiếm. Lúc này, sán đã làm tổ ổn định trong não của cậu bé. Sau 2 năm sinh sống, nó đã dài tới 10cm. Để tránh biến chứng nặng, Bác sĩ chuyên khoa thần kinh Yang Zhiquan khuyên Xiaoli nên phẫu thuật mở hộp sọ để gắp con sán ra. Trong vòng hai phút, các bác sĩ đã cố gắng gắp con sán ra khỏi não Xiaoli tránh trường hợp còn sót lại. Theo giải thích của bác sĩ, từ một con ấu trùng, sán dây đã phát triển thành ký sinh trùng và ăn các tế bào não của Xiaolo để sống.
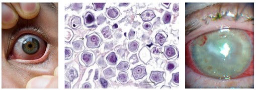
Nguy cơ mù vĩnh viễn vì đeo kính áp tròng làm đẹp
Sau một thời gian đeo kính áp tròng, cô gái 20 tuổi thấy mắt mờ dần. Bác sĩ phát hiện 2 mắt đã bị viêm loét giác mạc do nhiễm KST. Kính áp tròng hiện được nhiều bạn trẻ đặc biệt yêu thích do giúp mắt to, biến đổi màu mắt. Tuy nhiên, TS.BS Phạm Ngọc Đông, Trưởng khoa Kết giác mạc, BV Mắt trung ương cảnh báo, nếu quá lạm dụng kính áp tròng sẽ gặp phải rất nhiều hệ luỵ. Mới đây, khoa tiếp nhận bệnh nhân nữ Đ.T.T.T (20 tuổi, Đắk Lắk) đến khám trong tình trạng 2 mắt bị viêm loét giác mạc nặng. Kết quả xét nghiệm cho thấy mắt nhiễm ký sinh trùng Acanthamoeba.

Hình 5
Nguy cơ bị amip ăn giác mạc ở những người đeo kính áp tròng lớn hơn nhiều lần những người không đeo. T. cho biết, bản thân không bị cận, thích đeo kính áp tròng để làm đẹp nên tự ý ra cửa hàng kính mua về dùng. Mỗi khi đi chơi hay có dịp quan trọng, T. thường đeo liên tục 5-8 giờ. Thông thường trước khi đeo, T. đều rửa tay, tra thuốc và vệ sinh kính, nhưng lần gần nhất trong lúc đang đeo kính thì bị bụi bay vào mắt, nghĩ không sao nên cô không tháo kính ra. Sau vài ngày, T. bỗng thấy mắt mình nhìn mờ dần, ra hiệu thuốc mua thuốc tra cũng không đỡ. Sau 3 ngày điều trị tại nhà không khỏi T. mới đến bệnh viện kiểm tra.
TS.BS. Đông cho biết, ai cũng có thể bị amip ăn giác mạc, nhưng nguy cơ ở người đeo kính áp tròng cao gấp nhiều lần so với những người không đeo loại kính này. KST Acanthamoeba spp. là kẻ thù tiềm ẩn đối với mọi người sử dụng kính áp tròng. Loại KST đơn bào bé nhỏ này thường được tìm thấy trong nước máy, bụi và các bể bơi. Chúng có thể tự vỗ béo bằng cách ăn những vi khuẩn tồn tại trong những mắt kính áp tròng bị nhiễm bẩn. Khi các kính áp tròng nhiễm KST được đặt vào mắt, Acanthamoeba spp. bắt đầu ăn mòn giác mạc, lớp ngoài cùng của nhãn cầu và sinh sôi, nảy nở. Hậu quả từ cuộc tấn công của loại vi khuẩn này sẽ là các triệu chứng mắt ngứa rát, chảy nước mắt sống, nhìn mờ, nhạy cảm với ánh sáng, sưng phù mí và đau mắt. TS.BS. Đông cho biết, mắt rất nhạy cảm, vì vậy nếu lạm dụng đeo kính áp tròng, nhất là những loại có nguồn gốc không rõ ràng, chất lượng không đảm bảo và vệ sinh kính cũng như đeo kính không đúng cách, trường hợp nhẹ sẽ bị sưng, dị ứng, viêm kết mạc. Đeo lâu ngày sẽ làm mắt thiếu oxy, dẫn đến khô mắt, đau mắt, nghiêm trọng hơn sẽ gây loét giác mạc, giảm thị lực, nhạy cảm ánh sáng, thậm chí mù lòa.
Kính áp tròng cũng làm giảm cảm giác ở các giác mạc, dễ gây loét giác mạc nếu đeo thường xuyên. Với kính áp tròng có màu sẽ khiến người đeo giảm tầm nhìn, gây nhức mỏi mắt. Đáng lưu ý, bề mặt kính áp tròng chứa nhiều vi khuẩn, khi đeo kính vào mắt sẽ làm cho vi khuẩn xâm nhập, dẫn đến viêm nhiễm. Chưa kể dung dịch rửa kính, hộp ngâm kính nếu không dùng đúng cũng sẽ nguồn lây bệnh, là cầu nối để KST tấn công mắt. Do đó, nếu thấy nhóm triệu chứng gồm đau mắt, tấy đỏ, mắt nhạy cảm với ánh sáng và nhìn mờ thì phải đến ngay cơ sở nhãn khoa để được chẩn đoán và điều trị kịp thời.
Khi đeo kính cần rửa sạch tay, sử dụng thuốc nhỏ mắt để mắt không bị khô, sử dụng kính và dung dịch rửa kính chất lượng và nên đeo kính trước khi trang điểm, lấy ra trước khi tẩy trang. Khi đi trời mưa, đi bơi, đi ngủ cần tháo kính áp tròng. Tuyệt đối không đeo khi mắt bị viêm nhiễm.
Bí quyết ăn uống an toàn để tránh xa sán xơ mít
Các chuyên gia khuyến cáo, để tránh nguy cơ nhiễm sán dây và các loại ấu trùng giun sán khác, cần tuyệt đối tuân thủ nguyên tắc ăn chín uống sôi; vệ sinh cá nhân và khu vực sinh sống sạch sẽ, hạn chế tiếp xúc với những nơi môi trường bị ô nhiễm để tránh rước bệnh vào người.
Mới đây, thông tin BVĐK Vĩnh Đức (Quảng Nam) vừa tiến hành xổ thành công con sán xơ mít có chiều dài gần 12 m ký sinh trong cơ thể một bệnh nhân nữ ở TP. Đà Nẵng khiến nhiều người hoang mang. Theo đó, bệnh nhân này nhập viện trong tình trạng đau bụng dữ dội, người gầy gò, xanh xao. Qua khám và xét nghiệm phân, các bác sĩ của bệnh viện chẩn đoán bệnh nhân nhiễm sán xơ mít nên tiến hành cho bệnh nhân uống thuốc xổ. Khoảng 30 phút sau, người này đi ngoài ra một con sán xơ mít có chiều dài gần 12 m và được dự đoán đã sống ký sinh trong cơ thể người bệnh khoảng 9 năm.
Được biết, đây không phải là lần đầu tiên BVĐK Vĩnh Đức tiến hành xổ sán xơ mít ra khỏi cơ thể người bệnh. Theo thống kê tại đơn vị này, chỉ tính từ tháng 4/2017, bệnh viện đã tiến hành xổ thành công 5 trường hợp nhiễm sán xơ mít trên địa bàn tỉnh và các vùng lân cận.
Hình 7+8
Theo các chuyên gia tại Viện Sốt rét-Ký sinh trùng-Côn trùng TƯ, sán xơ mít là tên gọi khác của sán dây, bao gồm 2 loại là sán dây lợn và sán dây bò. Bệnh sán dây có thể ký sinh ở người dưới hình thức ấu trùng và sán trưởng thành. Đối với bệnh ấu trùng, tùy thuộc vào vị trí ký sinh của nang sán mà có những biểu hiện khác nhau như có các nốt ở dưới da bằng hạt gạo, hạt đỗ không gây ngứa, không đau; hoặc nặng hơn, người bệnh có thể bị liệt tay, chân hay liệt nửa người, nói ngọng, đau đầu dữ dội. Còn với người mắc sán dây trưởng thành, các triệu trứng chủ yếu thường là đau bụng, rối loạn tiêu hóa nhẹ. Người nhiễm bệnh nặng có thể thấy những đốt sán rụng ra theo phân hoặc “tự bò” ra ngoài hậu môn trong sinh hoạt hàng ngày, đặc biệt là trong khi ngủ.
Khi nhiễm sán, cơ thể bị tác động một cách âm ỉ kéo dài ảnh hưởng tới sức khỏe và tình trạng dinh dưỡng, thể chất, tinh thần và trí tuệ, thậm chí nguy hiểm tới tính mạng người bệnh. Tùy thuộc vào sự phát triển của con sán để xác định mức độ gây hại đến sức khỏe con người. Thông thường, tác hại có thể thấy rõ ở một người bị nhiễm sán là cơ thể sẽ bị những con sán này “hút” hết chất dinh dưỡng dẫn đến gầy gò, xanh xao, suy dinh dưỡng…

Hình 9
Theo thống kê, hiện nay, ở Việt Nam tỷ lệ nhiễm sán dây đường ruột chiếm từ 0,5 đến 12%. Con đường lây nhiễm sán dây chủ yếu qua các loại thực phẩm chưa được nấu chín (nhất là các món gỏi, tái, nướng) và vệ sinh cá nhân không đảm bảo hàng ngày. Trong đó, sán dây lợn là một trong những nguyên nhân chủ yếu. ThS.BS Nguyễn Trung Cấp - Phó trưởng khoa Cấp cứu (Bệnh viện Bệnh nhiệt đới Trung ương) cho biết: Trứng và ấu trùng của sán dây trong cơ thể con lợn thường tập trung ở phần thịt bắp, gân, mỡ và tiết lợn. Do đó, thói quen ăn các món gỏi, tái chế biến từ thịt lợn rất dễ có nguy cơ nhiễm sán. Đặc biệt, món tiết canh lợn được coi là món “khoái khẩu” của nhiều người nhưng cũng chính là “thủ phạm” rước các ấu trùng sán dây lợn gây hại cho cơ thể.
Bên cạnh đó, ấu trùng sán dây lợn cũng lây lan nhanh ở những vùng có sử dụng phân tươi hoặc phân ủ chưa đủ ngày để tưới trực tiếp lên các loại rau củ quả. Do đó, nếu ăn phải các loại rau được tưới bón dưới hình thức trên, nguy cơ nhiễm sán dây lợn cũng rất cao. Theo BS Nguyễn Trung Cấp, khi bị nhiễm sán dây lợn, nếu chúng ký sinh tại não người, có thể gây động kinh, co giật, liệt, nói ngọng làm ảnh hưởng lớn đến sức khỏe người bệnh như mất trí nhớ, đau đầu, buồn nôn, hoa mắt, chóng mặt, nặng hơn có thể liệt tứ chi, viêm màng não mãn tính. Nếu ký sinh ở mắt có thể gây mù mắt. Bên cạnh sán dây lợn, sán dây ký sinh trong cơ thể trâu, bò (sán dây bò) cũng là tác nhân gây bệnh quan trọng. Do đó, người dùng cũng cần cảnh giác với các món phở bò tái, nộm thịt bò/trâu để tránh gây hại cho sức khỏe.
Hình 10
Để phát hiện và điều trị sán dây, các chuyên gia khuyến cáo, khi thấy cơ thể có các biểu hiện rõ ràng như hay xuất hiện các đốt sán kèm theo phân khi đi ngoài hoặc rụng ra ngoài trong quá trình tắm, khi ngủ, cần nhanh chóng đến các cơ sở y tế để được làm xét nghiệm kiểm tra. Hoặc khi thấy những dấu hiệu khác như cơ thể thường xuyên mệt mỏi, gầy gò, xanh xao; hay xuất hiện các cơn đau bụng nhẹ cũng nên nghĩ ngay đến trường hợp đi khám để được phát hiện bệnh sớm. Để điều trị sán dây, có thể áp dụng cả Tây y và Đông y.
Tuy nhiên, lựa chọn phương pháp nào cần có sự chỉ định của bác sĩ, không tự ý thực hiện tại nhà. Không nên tẩy sán đối với người có thể trạng yếu, phụ nữ mang thai, người bị suy tim, suy thận. Sau 3 tháng tẩy sán không thấy xuất hiện đốt sán bò ra ngoài mới thành công. Để phòng bệnh hiệu quả đối với các bệnh lây nhiễm giun sán nói chung và sán dây nói riêng, cần tuân thủ nguyên tắc ăn chín uống sôi.
Hạn chế ăn các loại thịt tái sống, nguy cơ chứa ấu trùng sán cao. Khi ăn rau sống, cần rửa sạch nhiều lần dưới vòi nước, ngâm nước muối sạch để loại bỏ trứng giun sán. Đối với bà con nông dân, không nên dùng phân tươi để tưới rau để tránh reo rắc mầm bệnh ra môi trường. Bên cạnh đó, rửa tay sạch bằng xà phòng trước khi ăn uống và sau khi đi vệ sinh để tránh nhiễm bệnh. Các chuyên gia khuyến cáo, mùa hè, nhiều người thường có thói quen ăn các loại hải sản tươi sống. Tuy nhiên, đây là nguồn thực phẩm có nguy cơ chứa các ấu trùng giun sán rất cao. Do đó, để giữ được các giá trị dinh dưỡng mà vẫn đảm bảo không “rước” ấu trùng giun sán vào trong cơ thể, tốt nhất phải sơ chế cẩn thận các loại hải sản trước khi ăn.
Khi sơ chế cá biển, nên loại bỏ nội tạng cá vì ấu trùng giun sán trong cá thường tồn tại dưới dạng giun xoắn hoặc cuộn chặt không màu thành các ổ tròn bên trong nội tạng. Với cua biển, cần rửa sạch bằng cách lấy bàn chải cọ sạch các vật bẩn ở chân và càng cua hoặc ngâm cua vào trong nước muối khoảng vài tiếng, sau đó đem ra để ráo nước.
Các loại hải sản như nghêu, sò, ốc... nên được rửa sạch rồi ngâm trong nước khoảng 3-5 tiếng để chúng nhả hết cát và các chất bẩn bên trong rồi mới chế biến. Các loại hải sản sau khi đã sơ chế cẩn thận cũng phải được nhúng chín (các thớ thịt săn lại, không còn các tia máu đỏ) khi ăn lẩu hoặc đặt trên nhiệt độ cao đối với các món nướng hải sản. Không nên ăn hải sản chưa chín kỹ vì dễ gây đau bụng và tăng nguy cơ nuốt phải các ấu trùng giun sán gây hại cho cơ thể.
Hãi hùng giun chui lên mắt, đục thủng ruột
Dù những trường hợp nhiễm giun nặng đã ít đi, nhưng mới đây, BVĐK Xanh Pôn cho biết, vừa cấp cứu thành công một bệnh nhi bị giun đục thủng ruột thừa, nhiễm độc nặng. Theo các chuyên gia, trong nhiều trường hợp nếu bị nhiễm giun nặng không được chữa kịp thời, bệnh nhân có thể tử vong.
Bệnh nhi này 2 tuổi, bị suy dinh dưỡng, chỉ nặng 7 kg, quê ở Sơn La. Bé được đưa xuống BVĐK Xanh Pôn (Hà Nội) khám mắt. Tuy nhiên, sau khi khám mắt, bất ngờ bé bị đau bụng và được phẫu thuật cấp cứu ngay tại bệnh viện. Theo BS Nguyễn Đình Hưng, Giám đốc Bệnh viện, khi mở ổ bụng, các bác sỹ thấy ruột thừa của bé đã bị giun đũa đục thủng, làm tràn dịch ra ổ bụng gây tình trạng nhiễm độc. Các bác sỹ đã cắt bỏ ruột thừa, làm vệ sinh ổ bụng và điều trị cho bé. Đến ngày 2/10, tình trạng của bé đã ổn, mọi sinh hoạt trở về bình thường.
Theo BS Nguyễn Đình Hưng, 10 năm trở về trước, còn nhiều trường hợp bệnh nhân nhiễm giun nặng như trường hợp kể trên, nhưng gần đây thì tình trạng tương tự rất ít gặp. Phẫu thuật viên chính điều trị cho bé, đây là lần đầu tiên trong 15 năm làm nghề y, bác sỹ gặp trường hợp nhiễm giun đục thủng ruột thừa ở bệnh nhi. Cách đây không lâu, tại Khoa mắt, Bệnh viện E (Hà Nội), đã từng tiếp nhận và điều trị cho một bé gái 13 tuổi bị nhiễm giun trong mắt. Ban đầu, con giun ở trong dịch kính, võng mạc. Việc lấy giun ra khỏi mắt cháu bé hết sức khó khăn vì có khả năng ảnh hưởng nhiều đến mắt bệnh nhi. Tuy nhiên, sau đó giun đã chui ra phía ngoài, nên các bác sĩ đã tiến hành lấy giun ra khỏi mắt cháu bé dễ dàng hơn.

Hình 12
Giun chui lên mắt, đục thủng ruột không phải là biến chứng hiếm gặp nếu bệnh nhân bị nhiễm giun nặng. Theo Viện Sốt rét-Ký sinh trùng-Côn trùng TP. Hồ Chí Minh cho biết giun đũa là do loại KST có tên là Ascaris lumbricoides. Trứng giun được thải ra ngoài theo phân. Trứng lây nhiễm vào người qua đường tiêu hóa như qua rau sống, quả tươi nước lã, nước bị nhiễm bẩn, thức ăn bị ô nhiễm.Trẻ em thường chơi đùa đất xung quanh nhà hay bị nhiễm trứng giun đũa. Trong các loại đất thì đất cát thích hợp nhất với sự phát triển của trứng giun đũa.
Theo các chuyên gia về bệnh truyền nhiễm, đa số các trường hợp nhiễm giun nhẹ thường không có triệu chứng, nhưng đôi khi nhiễm một con giun duy nhất cũng có thể gây áp xe gan hay làm tắt ống dẫn mật. Tại nơi cư trú bình thường (ruột non), nếu bệnh nhân bị nhiễm nặng giun trưởng thành có thể gây ra viêm ruột, xoắn ruột tắc ruột hoặc lòng ruột, nếu không được xử lý và điều trị đúng sẽ tử vong. Điều này thường xảy ra ở trẻ em, có trường hợp bắt được 100 con giun ở một bệnh nhân. Khi giun đi “lang thang” có thể “lạc” đến những nơi cư trú bất thường và gây ra triệu chứng cấp tính như tắc ruột, thủng ruột, viêm ruột thừa, tắc nghẽn ruột, viêm túi thừa, chấn thương dạ dày hoặc ruột, tắc ống dẫn mật dẫn đến vàng da.

Hình 13
Giun xâm nhập vào mô gan gây áp xe gan, vào cơ quan sinh dục làm thủng thực quản. Giai đoạn lưu hành, giun vào phổi có thể gây cơn ho, thâm nhiễm phổi. Người bệnh có thể có đau bụng quanh rốn, rối loạn tiêu hóa. Trẻ ngứa mũi, lên cơn co giật, đêm ngủ hay hốt hoảng, nghiến răng, ứa nước miếng, thích nằm sấp. Khi ấu trùng giun đũa lên phổi, bệnh nhân có ho thoảng qua, khó thở, thở rít, nổi mẩn ngoài da. Khi nhiễm giun nặng, bệnh nhân có các triệu chứng kiểu loét dạ dày tá tràng hay cảm giác khó chịu ở bụng trước hoặc sau bữa ăn. Người nhiễm giun có thể khạc hay nôn ra giun qua mũi, miệng. Đặc biệt, sự di chuyển của giun trưởng thành ở những người nhạy cảm có thể khiến hậu môn ngứa dữ dội, nôn ói ra giun và phù nề thành môn.
Bệnh giun đũa gây nhiều mối nguy hiểm và có thể tử vong, nên việc phòng bệnh là rất quan trọng. Mọi người có thể phòng tránh nhiễm giun đũa bằng các biện pháp đơn giản và hiệu quả như không ăn rau sống, quả xanh; không uống nước lã, nước đá, vì nước đá nhiều khi được làm từ nguồn nước không sạch; không nên dùng phân tươi bón ruộng hay bón rau xanh, xử lý tốt phân, nước, rác. Về vấn đề này, TS Lê Thị Hải, Viện Dinh dưỡng Quốc gia từng khuyến cáo, không ít người dân Việt Nam có thói quen dùng nguồn nước ô nhiễm, nước thải sinh hoạt để tưới rau. Đây là lý do các loại rau dễ nhiễm vi sinh vật gây bệnh đường ruột. Do đó, dù là rau thủy sinh hay rau trên cạn đều cần rửa rau dưới vòi nước chảy để loại bỏ trứng giun sán, ký sinh trùng trên rau. Trước khi rửa dưới vòi nước, có thể ngâm 5-10 phút trong chậu để làm tan đất, bụi bẩn, kí sinh trùng bám trên rau, rửa sạch rồi rửa dưới vòi nước. Tuy nhiên, việc rửa rau cũng không thể loại bỏ hoàn toàn các kí sinh trùng, vi sinh vật nguy hiểm bám trên rau, vì thế việc nấu chín là vô cùng quan trọng để tiêu diệt các tác nhân vi sinh vật gây bệnh đường ruột nguy hiểm này.
Đồng quan điểm này, theo TS. Nguyễn Thanh Phong, Cục trưởng Cục An toàn thực phẩm (Bộ Y tế), một thói quen mà người nội trợ hay làm là rửa rau dưới vòi nước sạch, nhưng cũng khó làm sạch hoàn toàn các vi khuẩn gây bệnh đường ruột. “Nếu ăn phải rau sống, rồi hành - thường được nấu chưa chín vì cho vào sau khi đã tắt bếp - nguy cơ cho đường tiêu hóa là rất lớn, có thể không phải đi viện ngay, nhưng sự tích tụ của vi khuẩn gây bệnh trong đường tiêu hóa dần sẽ gây hại cho sức khỏe”, ông Phong chia sẻ.
Ngoài ăn chín, uống sôi, để con tránh nhiễm giun đũa, cha mẹ cần:
-Hướng dẫn trẻ em rửa tay trước khi ăn uống hay sau khi tiếp xúc với đồ chơi, không để trẻ chơi nơi đất cát;
-Thường xuyên cắt móng tay cho trẻ, tránh để móng tay dài dễ nhét đất cát và lây nhiễm trứng giun. Tắm rửa hàng ngày cho trẻ bằng nước sạch;
-Ở vùng trồng màu, người dân nên tẩy giun định kỳ 6 tháng-1 năm/1 lần. Nhiều trường hợp bị viêm thị thần kinh sau nhãn cầu do giun, hay bị quáng gà, sau khi tẩy giun xong, thị lực lên đến 10/10.
Mắc bệnh lạ, người đàn ông có bàn chân nặng... 100kg
Một người đàn ông 34 tuổi, sống tại Ấn Độ mắc phải một chứng bệnh khiến đôi chân của anh căng phồng như bong bóng. Thậm chí, chân (P) của người này nặng đến 100kg, tương đương khối lượng của một chú voi con. Arun Rajasingh, 34 tuổi, sống tại thành phố Chennai (Ấn Độ) mắc phải một chứng rối loạn di truyền kỳ lạ ngay từ khi sinh ra, khiến cơ thể của anh phát triển không bình thường, đặc biệt đôi chân của Arun liên tục phát triển về kích cỡ không ngừng và căng phồng như trái bóng. Hiện tại, chân phải của Arun đã có khối lượng lên đến 100kg.
Mặc dù đã đi khám tại nhiều nơi tuy nhiên hiện tại các bác sĩ vẫn chưa thể tìm ra được căn bệnh mà Arun đang mắc phải. Hiện Arun phải thường xuyên tiến hành vật lý trị liệu và dùng thuốc giảm đau ở chân, nhưng vẫn chưa có biện pháp chữa trị hiệu quả. “Các bác sĩ vẫn đang tìm hiểu căn bệnh của tôi và họ vẫn chưa có biện pháp để điều trị”, Arun cho biết. “Đôi khi tôi cảm thấy chán nản, nhưng tôi vẫn chưa mất hoàn toàn hy vọng”.

Hình 14
Mắc chứng bệnh lạ khiến đôi chân Arun căng phồng như bong bóng, trong đó chân phải có khối lượng lên đến 100kg. Được biết khi mới sinh ra, các bác sĩ đã cảnh báo cha mẹ của Arun rằng anh chỉ có thể sống được ít tuần vì một căn bệnh di truyền hiếm gặp, tuy nhiên Arun đã chứng minh rằng các bác sĩ đã nhầm và vẫn sống cho đến ngày nay. Dù vậy, đôi chân cỡ “khủng” của Arun đang khiến anh gặp nhiều khó khăn trong cuộc sống, không thể đi lại bình thường và phải sử dụng xe lăn để di chuyển. Đến nay, bác sĩ đã loại bỏ khả năng Arun bị nhiễm giun chỉ - loại KST gây ra cục sưng ở tay và chân. Do vẫn chưa thể xác định được nguyên nhân nào khác cho tình trạng bệnh của Arun, các bác sĩ tin rằng anh gặp phải một rối loạn di truyền hiếm gặp và thậm chí chưa từng được ghi nhận.
Arun từng gửi hồ sơ bệnh lý của mình đến nhiều tổ chức y tế khác nhau, trong đó có cả Trường Đại học Y của Harvard nhưng vẫn chưa thể tìm ra nguyên nhân gây bệnh. Hiện tại Arun phải sử dụng xe lăn để di chuyển, nhưng các công việc đơn giản hàng ngày như mặc áo quần hay đi vệ sinh, anh đều cần phải có người giúp đỡ. Mặc dù mắc phải bệnh lạ và di chuyển khó khăn, mẹ cũng mất từ sớm, nhưng điều này không khiến Arun từ bỏ giấc mơ của mình. Anh theo học một trường đại học về kỹ thuật và công nghệ ở cách nhà 800 km. Sau khi tốt nghiệp đại học, Arun đã xin việc ở một số nơi, nhưng tình trạng của mình khiến Arun không thể làm việc được lâu. Hiện Arun đang xây dựng một công ty phần mềm của riêng mình và lấy tấm gương CEO huyền thoại Steve Jobs của Apple để làm động lực phấn đấu. Arun cho biết chính tình trạng bệnh của mình khiến anh trở nên mạnh mẽ hơn và hy vọng sự mạnh mẽ này sẽ giúp anh thành công trong kinh doanh. Và trên hết, Arun cho biết mình vẫn chưa từ bỏ hy vọng một ngày nào đó căn bệnh của anh có thể tìm ra được phương pháp để chữa trị. “Tôi hoàn toàn tin tưởng vào khả năng của mình và đang dành 100% cho công việc”, Arun cho biết. “Sau tất cả những thách thức về thể chất và tin thần mà mình đã gặp phải, tôi cảm thấy mạnh mẽ. Tôi mơ ước có thể đi ra ngoài, hít thở không khí trong lành và giao lưu với mọi người.
Giun sán “ăn mòn” cơ thể ra sao?
Khi nhiễm giun sán, cơ thể bị “ăn mòn” một cách âm ỉ kéo dài, ảnh hưởng tới thể lực và trí lực, thậm chí nguy hiểm tới tính mạng. Phụ nữ trưởng thành và trong độ tuổi sinh sản, nhiễm giun sán sẽ gây thiếu máu ảnh hưởng trực tiếp đến sức khỏe của thai nhi, thậm chí đẻ non, thiếu cân, tử vong. Các chuyên gia khuyến cáo, cần đảm bảo vệ sinh sạch sẽ, ăn chín uống sôi, rửa tay thường xuyên với xà phòng để tránh nhiễm giun sán.
Theo các chuyên gia tại Viện Sốt rét-Ký sinh trùng-Côn trùng Trung ương, tình trạng môi trường sống ô nhiễm cùng với việc vệ sinh cá nhân còn nhiều hạn chế khiến tình trạng người dân nhiễm giun sán vẫn còn cao. Thống kê của TCYTTG cho thấy 20-50% người Việt Nam mắc bệnh giun sán, trong đó có đến 70 - 90% xảy ra ở trẻ em. Giun sán có rất nhiều loại, trong đó có loại hay gặp ở Việt Nam là sán lá gan lớn, giun đầu gai, giun lươn, giun đũa chó, mèo, amíp, sán máng, sán lá phổi. Theo các chuyên gia, sở dĩ tỷ lệ mắc bệnh liên quan đến giun sán tại Việt Nam cao là do ở nhiều nơi, nhất là vùng nông thôn, khu vực miền núi trẻ em thường tiếp xúc nhiều với đất và bụi bẩn, hay mút tay, ngậm các loại đồ chơi, vật lạ bẩn vào miệng. Trẻ ít rửa tay trước khi ăn, sau khi chơi với chó, mèo trong nhà, cầm nắm đồ ăn khi tay bẩn, không đi giày dép, để chân tiếp xúc trực tiếp với đất. Bên cạnh đó, do các loại giun ký sinh dễ có trong thức ăn nấu chưa chín như thịt bò, cá, thịt cua, ếch hay rau sống, ăn các loại rau và trái cây củ chưa được rửa sạch. Trong khi đó, theo quan niệm của nhiều người các loại thịt tái là những thức ăn bổ dưỡng, nhưng thực ra những thực phẩm này chứa mầm bệnh giun sán rất cao, đồng thời cũng không tốt cho hệ tiêu hóa, nhất là người già, người mới ốm dậy, trẻ nhỏ.

Hình 15
Theo nghiên cứu của các chuyên gia Viện Sốt rét-Ký sinh trùng-Côn trùng Trung ương, trong vài giờ kể từ khi nuốt phải ấu trùng giun, bệnh nhân có cảm giác buồn nôn, nôn và đau vùng thượng vị mỗi lúc một nặng, có khi đau bụng dữ dội. Ở thể bệnh mạn tính, xuất hiện từ vài tuần tới vài năm sau khi ăn thực phẩm nhiễm giun, bệnh nhân có biểu hiện giống như các trường hợp loét dạ dày, viêm dạ dày, u dạ dày, tắc ruột hoặc viêm ruột. Theo đó, khi xâm nhập vào cơ thể người, chúng không phát triển ngay thành những con giun nhỏ, mà tiếp tục tồn tại dưới dạng ấu trùng, hình thành những khối u di chuyển được trong da và mô mềm, thường xuất hiện ở mặt, mu bàn tay, lưng, mông, bụng. Khi nhiễm giun sán, cơ thể bị tác động một cách âm ỉ kéo dài ảnh hưởng tới sức khỏe và tình trạng dinh dưỡng, thể chất, tinh thần và trí tuệ, thậm chí nguy hiểm tới tính mạng. Phụ nữ trưởng thành và trong độ tuổi sinh sản, nhiễm giun sán gây thiếu máu ảnh hưởng trực tiếp đến sức khỏe của thai nhi, thậm chí đẻ non, thiếu cân, tử vong.
Do vậy, muốn điều trị bệnh giun sán có hiệu quả, cần bảo đảm các nguyên tắc cơ bản như chọn lựa thuốc, tập trung thuốc có nồng độ cao; dùng thuốc tẩy sau thuốc điều trị, thực hiện các biện pháp vệ sinh sau khi tẩy giun sán. Theo đó, việc chọn lựa thuốc phải bảo đảm loại thuốc được sử dụng có tác dụng hiệu quả đối với nhiều loại giun sán vì ở nước ta tình trạng nhiễm nhiều loại giun sán phối hợp chiếm tỷ lệ cao. Một người thường có thể bị nhiễm từ 2 - 3 loại giun sán. Một số loại thuốc điều trị được khuyên dùng như thuốc điều trị giun gồm có các loại như thuốc albendazole; levamisol, mebendazole. Trong đó, TCYTTG khuyến cáo, nên sử dụng hai loại thuốc bảo đảm an toàn, có hiệu quả, ít tác dụng phụ là mebendazole và albendazole dùng liều duy nhất. Thuốc điều trị sán gồm có các loại như Niclosamide, praziquantel…
Khi điều trị, cần tập trung dùng thuốc với nồng độ cao để có tác dụng mạnh đến các loại giun sán. Cho bệnh nhân uống thuốc vào lúc đói, nhưng không đói quá vì dễ gây nên ngộ độc thuốc. Sau khi uống thuốc điều trị giun sán, nên dùng thuốc tẩy để “tống” nhanh các loại giun sán ra khỏi cơ thể, tránh sự nhiễm độc do độc tố của giun sán bị chết hoặc bị vữa nát, đồng thời phòng ngừa được khả năng giun sán có thể phục hồi sống trở lại. Sau khi tẩy giun sán, cần áp dụng các biện pháp vệ sinh cá nhân, vệ sinh ăn uống và vệ sinh môi trường sống để phòng chống sự tái nhiễm. Bởi lẽ, môi trường ngoại cảnh thường bị ô nhiễm nặng nề với các mầm bệnh và đây là cơ sở tạo điều kiện thuận lợi cho sự tái nhiễm giun sán.

Hình 16
Nhiễm giun sán có thể gây ra những ảnh hưởng nghiêm trọng. Do vậy, các chuyên gia khuyến cáo, cần có những biện pháp phòng nhiễm giun sán để tránh gây hại cho cơ thể. Trước hết, để đảm bảo vệ sinh phải rửa tay thường xuyên bằng nước sạch và xà phòng trước khi ăn và sau khi đi vệ sinh, trước và sau khi chăm sóc người bệnh. Các loại hoa quả, rau củ phải được rửa sạch bằng nước muối hoặc dung dịch rửa rau củ quả trước khi ăn. Tuyệt đối tuân thủ nguyên tắc “ăn chín, uống sôi”, không ăn các loại thức ăn chưa nấu chín như: Gỏi cá, tiết canh, bò tái...; không nên ăn sống các loại rau thủy sinh như: Rau cần, cải xoong. Tẩy giun định kỳ cho cả gia đình 6 tháng/lần. Cần cắt móng tay thường xuyên, mang giày dép khi ra ngoài đất, không ngồi lê trên đất. Xử lý các chất thải, vệ sinh nhà cửa sạch sẽ…
Dùng lươn sống lăn trên người trẻ chữa sốt phát ban: Nguy cơ nhiễm vi khuẩn
Mấy ngày qua, mạng xã hội đang sốt "xình xịch" một mẹo hạ sốt khẩn cấp cho trẻ bằng cách lăn lươn sống trên cơ thể. Hãy nghe các chuyên gia y tế nói về việc này.
Mới đây, trên Facebook một bà mẹ có con nhỏ chia sẻ kinh nghiệm dùng lươn sống lăn cho con khi bị sốt phát ban: “Mấy ngày nay B.N bị sốt lên ban đỏ, uống thuốc hoài thấy lâu hết mà con thì sốt cao quá mình nóng ruột. Nhiều người chỉ lấy lươn sống lăn là hết. Sáng sớm mẹ mình đi chợ mua 3 con lươn sống về lăn, thấy hiệu quả rõ rệt luôn. Mình thấy con lươn chuyển sang hết màu đỏ luôn (đó là chất độc trong ban mà con lươn hút). Mẹ nào có con bị ban đỏ thì làm như thế này nhé, rồi mua rượu nhẹ lau sạch rất nhanh khỏi”.
Sau khi những dòng status đưa lên chỉ trong thời gian ngắn đã thu hút được sự chú ý của nhiều mẹ có con nhỏ và có hàng nghìn lượt chia sẻ. Đa phần mọi người đều hoài nghi về phương pháp này nhưng cũng có số ít lại cho rằng đây là biện pháp chữa bệnh tự nhiên không cần đến kháng sinh nên có thể học tập “cách hay” này để hạ sốt cho con. Trao đổi với phóng viên Báo GĐ & XH về việc sử dụng lươn sống chườm khi trẻ bị sốt phát ban kể trên, PGS.TS.BS Lê Lương Đống - nguyên Phó Giám đốc Học Viện Y dược học cổ truyền Việt Nam cho biết, ông chưa từng nghe thấy phương pháp hạ sốt nào dùng lươn. Cũng chưa có nghiên cứu khoa học nào chứng minh cho thấy dùng lươn lăn có thể khiến chất độc từ cơ thể trẻ “truyền sang” con lươn. Đôi khi việc làm này lại gây nguy hại cho trẻ khi làm mất đi thời gian chữa bệnh cho trẻ. Chưa kể, khi cha mẹ sử dụng cho con biện pháp chữa bệnh này có thể trẻ bị sốc, hoảng sợ, khóc ngất vì nhìn lươn sống bò lổm ngổm lên người làm trẻ co giật. Bởi vậy, các bậc phụ huynh không nên áp dụng cho con.

Hình 17
Còn với PGS.TS Hà Hoàng Kiệm (Bệnh viện Quân Y 103) khẳng định, các bà mẹ không nên tùy tiện áp dụng các biện pháp theo lời mách bảo của những người không có chuyên môn để tránh xảy ra những điều đáng tiếc. Việc dùng lươn lăn lên người trẻ để hạ sốt là không nên và phản khoa học vì lươn là loại sống dưới bùn, nhớt trên da lươn có thể nhiễm nhiều loại vi khuẩn hoặc ký sinh trùng, khi lăn lên da trẻ là da non, sức bảo vệ kém có thể gây kích ứng, nhiễm các loại vi sinh vật này mà lâu dài chúng mới gây ra tác hại. PGS.TS Kiệm cho biết, trẻ sốt do rất nhiều nguyên nhân khác nhau khi không rõ nguyên nhân cha mẹ không nên tự chữa cho con. Phải tìm được nguyên nhân gây bệnh để trị dứt điểm thì cơn sốt mới hạ, nếu chúng ta chỉ tìm cách hạ sốt mà không tìm được nguyên nhân bệnh thì hạ xong sẽ lại sốt.
Sốt phát ban nguyên nhân thường do virus, trong đó virus nhiễm theo đường hô hấp là chủ yếu (70-80%), có nhiều loại virus gây sốt phát ban như sởi, Rubella, Adenovirus, Echo virus, Enterovirus. Sau khi bị nhiễm khoảng 5-7 ngày trẻ xuất hiện hắt hơi, chảy nước mũi, rát họng, ho sau đó vài giờ hoặc 1 ngày thì sốt, có thể sốt cao 39-40oC, sau khi hết sốt sẽ xuất hiện ban. Sốt phát ban do các virus trên thường lành tính, tự khỏi, không có thuốc đặc trị, chỉ cần cho trẻ nghỉ ngơi, chế độ dinh dưỡng hợp lí, uống đủ nước, vệ sinh răng miệng, họng sạch sẽ. Sốt là cơ chế bảo vệ của cơ thể để chống lại mầm bệnh khi xâm nhập vào cơ thể, nên chỉ khi sốt cao trên 38,5oC hoặc có nguy cơ co giật thì mới cần hạ sốt. Bệnh sẽ tự khỏi nếu không bị biến chứng bội nhiễm.

Hình 18
Để hạ sốt dùng paracetamol loại đơn chất với liều 10-15mg/kg cân nặng, 4-6 giờ một lần. Nên chườm ấm cho trẻ, dùng khăn nhúng vào nước bằng nhiệt độ cơ thể trẻ (37-40oC), vắt bớt nước rồi đắp vào vùng bẹn, nách, cổ sẽ giúp lỗ chân lông mở, thoát nhiệt nhanh. Cần thay khăn liên tục, hết ấm lại thay để khăn không bị lạnh, không làm trẻ có cảm giác rét run do nước lạnh ngấm vào người. Và nguyên tắc vô cùng quan trọng là cho trẻ uống đủ nước (tốt nhất là ORESOL) sẽ giúp hạ sốt hiệu quả. Nếu trẻ không giảm sốt nên đưa trẻ đến cơ sở y tế gần nhất để được khám và điều trị đúng.
Theo PGS.TS Lê Lương Đống, trẻ bị sốt phát ban, mẹ nên tìm cách làm mát cho trẻ bằng việc cho uống các loại nước lá giải nhiệt trị ban sởi như uống nước và tắm lá kinh giới, lá rau diếp cá cùng với việc cho trẻ ăn những loại cháo giải nhiệt hỗ trợ mà không phải uống thuốc kháng sinh. Trường hợp trẻ sốt cao không hạ, thay đổi tri giác, thở mạnh nhanh... cần nhanh chóng cho trẻ đi khám. Các chuyên gia cho rằng, đã có nhiều trường hợp trẻ nhập viện bệnh nặng hơn do cha mẹ chữa sốt sai cách như thấy con sốt lại tránh gió và bịt kỹ con, chườm đá lạnh, chườm chanh, cạo gió. Trẻ nhạy cảm với nhiệt độ, sức đề kháng kém nên việc cha mẹ thấy con sốt cao lại lấy nước đá cho vào túi nilon bọc vải bên ngoài rồi chườm cho trẻ có thể gây bỏng lạnh khiến trẻ bị sốc, suy hô hấp. Thực tế biện pháp này làm co mạch khiến nhiệt càng khó thoát ra ngoài. Sờ thấy trẻ mát bên ngoài chỉ là cảm giác do đá lạnh mang lại còn thực tế trẻ vẫn sốt cao. Đặc biệt đối với các trẻ sốt cao do viêm đường hô hấp, viêm phổi thì càng không nên chườm lạnh vì có thể khiến trẻ gặp lạnh đột ngột và viêm phổi nặng hơn.
Nhiều nghiên cứu chỉ ra các bài thuốc vật lý trị sốt đều không có tác dụng như mong muốn và được khuyến cáo không nên dùng như chườm lạnh, đắp cái này, cái khác đều không có tác dụng. Nó chỉ làm giảm thân nhiệt được khoảng 1 tiếng sau đó lại sốt lại và khiến trẻ khó chịu thêm. Cùng với đó, cạo gió, cắt lể để nặn máu độc, hạ sốt cũng dễ khiến bệnh nặng hơn, nhất là trẻ bị sốt xuất huyết, bác sĩ không thể xác định được vùng nào xuất huyết do bệnh, vùng nào xuất huyết do cạo gió. Trẻ bị rối loạn đông máu có thể không cầm được máu…
Kinh sợ ốc sên biển sống trong đầu gối bé trai
Tối qua, chương trình 'Monter Inside Me' trên kênh Animal Planet đã chiếu một đoạn phim tư liệu về một bé trai chịu nhiều đau đớn khi có một con ốc sên biển sống trong đầu gối. Trong kỳ nghỉ tại một bãi biển cùng gia đình 2 năm trước đây, Paul Franklin lúc này được 4 tuổi bị ngã trên một bãi cát và trầy da ở đầu gối. Lúc đó, bà Rachel, mẹ của bé trai, nghĩ rằng đó chỉ một xây xước nhẹ khó tránh ở độ tuổi của Paul nên bà chỉ làm sạch vết thương bằng nước sạch rồi băng kín.

Hình 19. Paul cùng mẹ chụp hình 'kỉ niệm' với chú ốc sên
Trở về từ sau kỳ nghỉ, đầu gối của Paul bắt đầu sưng tấy và đau đớn. Dần dần, vết thương này sưng to với kích thước của một quả cam, nóng ran khi chạm vào và cậu bé buộc phải đi khập khiễng. Sau khi sử dụng kháng sinh, vết thương này dần trở thành màu đen và bà Rachel quyết định chích vết thương này ra. 'Lúc đầu, chúng tôi tưởng đó là một viên đá, nhưng nó lại có xoáy trên lưng, và tôi thực sự bất ngờ khi đó chính là một con ốc sên", bà Rachel nói.

Hình 20. Chú ốc sên biển này đã chết sau khi được kéo ra từ đầu gối của paul
Theo các nhà sinh vật học của chương trình 'Monster Inside Me', ốc sên biển sống rất nhiều dọc theo các bờ biển. Đối với vết thương ở đầu gối của Paul, ốc sên nhỏ đã chui vào và nhanh chóng thích nghi với điều kiện sống mới, rất may, chú ốc sên này chưa sinh sản.
Dễ mất mạng vì ăn tôm sống, ốc sên….nhiễm Angiostrongylus cantonensis
Một trường hợp bị viêm màng não vì ăn ốc sên dẫn đến hôn mê tại TP. Hồ Chí Minh vừa được cứu sống đã tiếp tục đưa ra lời cảnh báo về mối nguy hiểm khi người dân ăn các loại thực phẩm nhiễm bệnh. Các bác sỹ cho biết, không chỉ ốc sên, nhiều loại thủy-hải sản khác cũng có thể gây ra các căn bệnh ảnh hưởng tới tính mạng con người. Theo khuyến cáo của Bộ Y tế, không nên ăn các thức ăn sống hoặc chưa được nấu chín kỹ chế biến từ ốc, tôm, cua, cá dưới mọi hình thức.
Các bác sỹ Bệnh viện Nhi Đồng I- TP Hồ Chí Minh vừa tiếp nhận một bệnh nhân 10 tuổi đến từ Cà Mau trong tình trạng hôn mê. Bệnh nhân được chẩn đoán là. Sau hai ngày tích cực điều trị, bệnh nhi đã tỉnh và kể lại cách đây một tuần cùng 5 trẻ em trong xóm bắt ốc sên nướng ăn. Sau khi ăn xong, bệnh nhi này có triệu chứng nhức đầu từ nhẹ tới nặng, nôn ói, lơ mơ, yếu tay chân nên được gia đình đưa đi cấp cứu, nên việc điều trị không tiến triển.

Hình 21
Đến khi bệnh nhi hôn mê thì được chuyển lên Bệnh viện Nhi đồng I. Tại đây, các bác sỹ đã làm các xét nghiệm và xác định bệnh nhi bị nhiễm một loại KST nguy hiểm có liên quan đến ốc sên. KST này có tên là Angiostrongylus cantonensis. Trước đó, BV Nhi đồng I cũng tiếp nhận một bé gái bị viêm màng não do ăn ốc sên. Trong năm 2014, bệnh viện này cũng đã phải điều trị cho hơn30 người bị viêm màng não vì đã sử dụng món ăn trên. Cục Y tế Dự phòng (Bộ Y tế) cho biết, hàng năm nước ta vẫn ghi nhận một số trường hợp mắc bệnh viêm não màng não do nhiễm giun với những biểu hiện như: Đau đầu dữ dội, sốt, buồn nôn, viêm các dây thần kinh gây liệt mặt, rối loạn cảm giác. Những trường hợp nặng có thể bị co giật, nói lảm nhảm, mất thăng bằng, mất trí nhớ, hôn mê. Bệnh kéo dài vài ngày đến vài tháng có thể dẫn đến tủ vong.
Nguyên nhân gây bệnh là do nhiễm giun A. cantonensis. Đây là một loại giun tròn ký sinh ở phổi chuột, chuột thải ấu trùng giun ra ngoài qua phân. Ngoài môi trường, ấu trùng ký sinh ở vật chủ trung gian là các loại nhuyễn thể ở đất hoặc ở biển (ốc nước ngọt, ốc sên...). Do đó, người khi ăn phải ốc sên, tôm, cua có ấu trùng hoặc ăn rau sống dính chất nhờn của ốc có ấu trùng, uống nước lã có ấu trùng thì sẽ bị nhiễm loại giun này. Ấu trùng giun vào cơ thể người sẽ ký sinh ở não hoặc tìm đến các phủ tạng khác.

Hình 22
Gần đây, tại một số cơ sở y tế đã phải tiếp nhận và điều trị nhiều ca bệnh nặng nghi do nhiễm giun A. cantonensis có diễn biến nguy kịch, trong đó có trường hợp đã tử vong do sử dụng thức ăn với lý do như: Làm mồi nhậu, ăn để chữa bệnh, làm đẹp da (?!).Trong khi các đặc tính về chữa bệnh của loài nhuyễn thể này chưa hề được nghiên cứu và chứng minh. Không chỉ ăn ốc sên mới gây ra tác hại nghiêm trọng đối với não người, nhiều loài thủy - hải sản khác cũng chứa các loại KST nguy hiểm có thể tấn công não người nếu như trước khi ăn, các món này không được nấu chín. BS Nguyễn Trung Cấp - Trưởng khoa Cấp cứu (BV Bệnh Nhiệt đới Trung ương) kể lại, bệnh viện này từng tiếp nhận một thanh niên rất khỏe mạnh vào viện trong tình trạng sốt li bì, mê sảng. Khai thác tiền sử được biết, anh này đã bị sốt 5 ngày sau khi đi du lịch tại Quảng Ninh và ăn món tôm sống chao dầu. Bệnh nhân bị sán não và phải điều trị trong 2 tuần, rất may là chưa nguy hiểm đến tính mạng. Theo BS Nguyễn Trung Cấp, nhiều loài như cua, ốc, tôm, cá có thểnhiễmấu trùng sán, trứng sán thể bám vào các loại rau thủy sinh. Những loại thực phẩm này nếu không được nấu chín sẽ vào cơ thể người, nguy hiểm nhất là chui lên não. Người mắc sán có thể đại tiện ra sán hoặc sán tự bò ra. Tuy nhiên các trường hợp nhiễm sán nặng đều gầy yếu, sa sút về sức khỏe.
BS Trương Hữu Khanh, Trưởng khoa Nhiễm - Thần kinh Bệnh viện Nhi đồng I (TP. Hồ Chí Minh)- người điều trị trực tiếp cho bệnh nhi 10 tuổi (trú tại Cà Mau) cho hay: Lượng giun sán lây truyền từ ốc sên nhiều hay ít sẽ gây bệnh viêm màng não nặng hoặc nhẹ. Trường hợp của em bé này là khá nặng. Qua ca bệnh, BS. Khanh lại tiếp tục lên tiếng cảnh báo tình trạng ăn ốc sên ở vùng nông thôn hiện nay. Giun sán có trong ốc sên sau khi xâm nhập cơ thể người ăn sẽ di chuyển thẳng lên não, gây bệnh viêm màng não rất nguy hiểm đến tính mạng. "Ở nhiều quốc gia, người dân ăn ốc sên như một món ngon, đặc sản vì ốc sên được nuôi trong môi trường được kiểm soát chặt chẽ nên an toàn. Còn ở Việt Nam, ốc sên sống tự nhiên nên rủi ro nhiễm giun sán khi ăn là rất lớn", BS Trương Hữu Khanh chia sẻ.
Bắt con sán ăn não người dài tới 8 cm
Các bác sĩ choáng váng khi phát hiện con sán dài tới 8 cm đang nằm trong não của cậu bé. Ngày 26/11, báo chí Trung Quốc đưa tin các bác sĩ ở bệnh viện Tân Hoa Thượng Hải đã phẫu thuật và lấy ra một con sán dài tới 8 cm trong não của một cậu bé 11 tuổi sau khi bệnh nhân bị bất tỉnh. Cậu bé này được bố mẹ đưa đến bệnh viện Tân Hoa ở Thượng Hải trong tình trạng bất tỉnh, mất tri giác không rõ nguyên nhân. Sau khi chụp chiếu, các bác sĩ đã rất sửng sốt khi phát hiện một con sán rất lớn đang trú ngụ ngay trong não của cậu bé.

Hình 23. Hình ảnh con sán sau khi được lấy ra khỏi não bệnh nhân
Lập tức, các bác sĩ đã tiến hành phẫu thuật lấy con sán dài tới 8 cm này ra khỏi não bệnh nhân thành công. Hình ảnh con sán được lấy ra từ não cậu bé đã khiến cộng đồng mạng Trung Quốc choáng váng. Bố mẹ của cậu bé này cho rằng chính những loại thực phẩm không đảm bảo vệ sinh bán trên đường phố mà cậu bé rất thích ăn là thủ phạm khiến con sán có thể xâm nhập vào não cậu. Họ cũng nói thêm rằng trong thời gian gần đây cậu bé rất khoái món thịt nướng và thịt rắn bán trên vỉa hè.
Các bác sĩ xác định con vật được lấy ra khỏi não cậu bé là loài sán nhái có tên bệnh là Sparganosis, một loài KST có thể xâm nhập vào cơ thể người khi ăn các loài nhái, rắn hay động vật có vú nhỏ nhiễm sán. Việc ăn thịt lợn sống hoặc chưa qua chế biến kỹ cũng là một nguyên nhân khiến sán có thể xâm nhập vào cơ thể. Loài sán này xâm nhập vào người qua đường tiêu hóa và nhiều khi là xâm nhập qua mắt. Sau đó, chúng sẽ tìm đường chui vào các cơ quan nội tạng và cả não người, dần gặm nhấm các cơ quan này và gây ra tình trạng xuất huyết, tổn thương não nặng nề, có thể dẫn tới tử vong.
Cảnh báo nguy cơ từ việc cho thú nuôi ăn thịt sống
Theo cảnh báo từ các nhà nghiên cứu ngày 12/1, thịt sống được giới thiệu là loại thức ăn cao cấp với đầy đủ dinh dưỡng và dễ tiêu hóa cho chó và mèo nuôi trong nhà, không chỉ mang đến rủi ro cho thú nuôi mà còn cho cả chủ của những con thú đó. Thịt sống không chỉ mang đến rủi ro cho thú nuôi mà còn cho cả chủ của những con thú đó.
Một khảo sát đã được công bố trên tạp chí Vet Record của Hà Lan thực hiện đối với các sản phẩm thịt sống, thịt đông lạnh được bán ở các cửa hàng thú nuôi và siêu thị tại quốc gia này, những nơi mà đa số người có nuôi thú cưng trong nhà tìm đến để mua những sản phẩm đó. Kết quả khảo sát thực sự đáng lo ngại với tỷ lệ vi khuẩn và ký sinh trùng rất cao trong các sản phẩm.
Các vi khuẩn mầm bệnh được tìm thấy bao gồm khuẩn E. coli, Salmonella spp. và khuẩn hình que Listeria. Những vi khuẩn này có thể gây nhiễm trùng từ mức độ nhẹ đến rất nghiêm trọng. Bên cạnh đó, ký sinh trùng Toxoplasma gondii có thể là nguyên nhân gây lây nhiễm giun từ động vật gây tổn thương não và mắt của người trong một số trường hợp đặc biệt. Các vi khuẩn có thể gây bệnh cho thú nuôi nhưng mang đến nguy cơ đe dọa lớn hơn đối với con người khi trực tiếp chạm tay vào các loại thức ăn đó hoặc tiếp xúc trực tiếp với con vật bị mắc bệnh. Trong số 35 loại thực phẩm thô, thịt sống cho thú nuôi của 8 hãng sản xuất được nghiên cứu, có 8 loại (23%) thực phẩm có dấu vết của khuẩn E. coli nguy hiểm đối với con người trong khi khoảng gần 50% loại thực phẩm kiểm tra dương tính với Listeria và 20% có vi khuẩn Samonella spp., 2 sản phẩm nhiễm KST Toxoplasma gondii. Nguy cơ trên còn đến với cả ngành chăn nuôi gia súc thông qua việc để vi khuẩn và KST ra môi trường tự nhiên, lây lan các vi khuẩn kháng kháng sinh trong thực phẩm thô.
Theo báo cáo, những quảng cáo về hiệu quả của thịt sống với chó và mèo là không có cơ sở. Cần có sự nhận thức về khả năng gây bệnh cho thú nuôi thông qua cách cho chúng ăn, trong khi các chủ nhân của thú cưng cũng cần được giáo dục về vệ sinh cá nhân và cách sử dụng đúng cách các loại thức ăn thô, thịt sống. Báo cáo cũng kêu gọi các nhà sản xuất cần phải có cảnh báo và hướng dẫn sử dụng trên các nhãn mác sản phẩm. Bên cạnh nguy cơ nhiễm bệnh cũng đã xuất hiện nhiều lo ngại rằng, các loại thịt sống không cung cấp đủ dinh dưỡng mà những con vật cần.
Nang sán dây "lớn nhất lịch sử y học" trong đầu cô bé 12 tuổi
Theo Mirror, một cô bé 12 tuổi sống tại Ấn Độ vừa được phẫu thuật bóc tách một nang sán khổng lồ chiếm tới 1/2 kích thước bộ não, được cho là nang sán lớn nhất trong lịch sử y học. Nita Juggi, sống tại Gujarat, miền Trung Ấn Độ, đã phải chịu những cơn đau đầu trong suốt 2 năm. 1 năm trước, cô bé thậm chí còn gần như liệt phần thân bên phải.
Bố cô bé, một nông dân 45 tuổi, đã mang con gái đi chữa trị ở rất nhiều nơi, nhưng tình trạng của cô bé không những không tiến triển mà còn ngày càng xấu đi. Cho đến 2 tháng trước, cô bé được đưa tới gặp bác sỹ Chirag Solanki, một chuyên gia thần kinh và là bác sỹ phẫu thuật cột sống, tại bệnh viện Sterling ở Gujarat. Sau khi kiểm tra kỹ và chụp cộng hưởng từ, họ phát hiện một nang sán khổng lồ trong não cô bé. Nang sán này nặng 675g, với kích thước 12,2 cm x 11 cm x 9,8 cm. Bác sỹ cho biết: "Tôi cho rằng bọc nang này đã từ từ phát triển trong đầu cô bé trong khoảng thời gian từ 8-10 năm. Càng lớn, nó càng ảnh hưởng nhiều và khiến cơn đau đầu ngày càng dữ dội." Ổ nang sán này to bằng 1/2 kích thước bộ não, trông như một quả bóng căng phồng và rất nguy hiểm bởi khi vỡ, nó có thể khiến cô bé tử vong bất cứ lúc nào.
Gia đình cô bé rất sốc khi biết con gái mình mang một ổ nang sán lớn đến như vậy. Họ thừa nhận môi trường ô nhiễm tại nơi họ đang sinh sống có thể là nguyên nhân khiến cô bé nhiễm sán. Nang sán là bệnh do nhiễm ký sinh trùng gây ra. Chúng thường tồn tại trong các loài ăn cỏ như bò, cừu, sau đó truyền sang các loài ăn thịt như chó, mèo. Con người sẽ bị nhiễm sán khi ăn thức ăn bị dính trứng của loài ký sinh trùng này. Trong trường hợp của Nita, cô bé đã bị nhiễm sán quá lâu khiến chúng phát triển thành một ổ nang khổng lồ. Phải mất tới 2 tiếng rưỡi, bác sỹ Solanki và đội phẫu thuật mới bóc tách thành công ổ nang mà không gặp biến chứng nào. Hai tuần sau ca phẫu thuật, cô bé được ra viện.
Bố mẹ của Nita đã phải bán nhiều của cải để chữa trị cho con, nhưng họ không hề hối hận khi con gái mình hồi phục và trở lại với cuộc sống bình thường.
Gắp hàng trăm con dòi sống trong tai bệnh nhân
Các bác sĩ Trung Quốc phát hiện hàng trăm con dòi lúc nhúc trong ống tai của người đàn ông. Một video cho thấy hàng trăm con dòi lúc nhúc bên trong ống tai người đàn ông Trung Quốc đã được chia sẻ liên tục trong những ngày qua. Những sinh vật màu trắng được nhìn thấy bò trong ống tai của bệnh nhân, ăn thịt bộ phận này để sống. Trong clip, bác sĩ ở Bệnh viện tỉnh Quảng Đông đã đặt ống nội soi vào tai người đàn ông và gắp chúng ra ngoài bằng nhíp chuyên dụng.

Hình 24
Phát biểu trong clip, một bác sĩ cho biết những con dòi đã gây ra thương tích bên trong ống tai người đàn ông với nhiều vết cắn li ti. Ngoài ra, tai bệnh nhân bị cũng bị trầy xước do dòi “đào hang” phá hoại các mô. Người đàn ông đã từ chối trả lời phỏng vấn báo chí địa phương đồng thời không tiết lộ vì sao dòi lại làm ổ trong tai mình. Cũng trong clip, một bác sĩ nhận định những con dòi có thể đẻ trứng vào tai, từ đó nở ra ấu trùng. Đây gọi là bệnh dòi ruồi trong tai (myasis aural), thường gặp ở trẻ em dưới 10 tuổi hoặc người già, suy nhược tại các nước nhiệt đới, cận nhiệt đới.

Hình 25
Hiện nay, bệnh dòi ruồi có thể lan truyền qua đường du lịch quốc tế nên nhiều người ở châu Âu, Bắc Mỹ cũng có thể mắc bệnh. Những người bị bệnh dòi tai có thể xuất hiện các triệu chứng ù tai, chảy dịch có mùi hôi, có thể gây điếc. Hiện tượng nhiễm KST trong mũi và tai được xem là nguy hiểm vì nhiều khả năng ký sinh trùng sẽ xâm nhập vào não, với tỉ lệ tử vong lên tới 8%.
Một số loài KSTSR nhìn cực kỳ đáng sợ đang trú trong cơ thể
1. Rận Demodex spp. chuyên kí sinh trên mặt người
Điều đầu tiên là bạn không nhìn thấy chúng bằng mắt thường, vì chỉ có như vậy thì chúng mới có thể sống thoải mái và tự do trên "mặt tiền" của bạn. Nhưng thực ra nếu "cố gắng", với sự trợ giúp của kính lúp hoặc kính hiển vi, bạn có thể thấy loài bọ có hình dạng như giun hoặc sâu này đang bò dưới lớp da của mình.
Có 2 loài rận "thích" sống trên mặt người là D. folliculorum và D. brevis. Tuy có vẻ ngoài giống sâu, nhưng chúng thực sự là những loài giáp xác, giống như côn trùng hoặc tôm cua. Họ hàng gần nhất của chúng là nhện và ve. Điều này dẫn tới câu hỏi rằng có phải bất kỳ ai trong chúng ta cũng đều có rận Demodex, nếu không muốn nói chúng có số lượng rất lớn trên cơ thể mỗi người.
Megan Thoemmes, người đứng đầu nhóm nghiên cứu, cho biết vẫn hơi khó để có thể xác định chính xác số lượng nhưng một quần thể rận nhỏ có thể lên tới hàng trăm con. Một quần thể cỡ lớn có thể lên đến hàng ngàn con. Nói theo cách khác, có thể dưới mỗi chân lông mi của bạn đều có một con rận bơi trong đó. Như vậy tất cả chúng ta đều bị loài này ký sinh.
2. Giun móc
Giun móc là một loài kí sinh trùng thuộc ngành giun tròn. Giun móc sống trong ruột non của ký chủ là động vật có vú như chó, mèo hoặc người. Hai loài giun móc phổ biến ở người là Ancylostoma duodenale và Necator americanus. Theo thống kê, giun móc được cho là gây nhiễm trên 600 triệu người khắp thế giới.
3. Giun mắt Loa Loa
Giun mắt Châu Phi ký sinh và hút máu ngay bên dưới da ở phần tròng trắng mắt của vật chủ. Các biến chứng từ nhiễm trùng thường xảy ra ở khách du lịch đến từ Tây Phi.
Bệnh nhân đã cho biết về nỗi đau đớn của mình khi cảm thấy kí sinh trùng bò trong mắt hoặc mũi của mình. Khi con giun chết, sẽ khiến cơ thể bị sưng phù ở phần cánh tay, nhưng đây là phản ứng của cơ thể khi bị dị ứng, chứ không có vấn đề gì quá nghiêm trọng xảy ra.
4. Giun chỉ guinea
Bệnh giun là bệnh lây nhiễm do giun guinea gây ra. Người bị bệnh giun này thường là do uống phải nước có chứa bọ chét đã nhiễm trứng giun guinea. Khởi đầu bệnh không có triệu chứng đặc biệt. Sau khoảng 1 năm, người bệnh có cảm giác đau rát khi giun cái tạo nốt phồng ở da và thường ở chi dưới. Rồi trong vài tuần, con giun sẽ chui ra khỏi da. Trong thời gian này, người bệnh sẽ đi lại khó khăn và không thể làm việc. Đặc biệt con người là đối tượng duy nhất được biết bị nhiễm giun guinea. Loài giun này thường có đường kính khoảng 1-2 mm và giun cái trưởng thành có thể dài lên đến 60 cm (con đực ngắn hơn).
Hình 26-29
5. Candiru: Loại động vật ký sinh trong dương vật
Đây là một loài cá da trơn nước ngọt sống ký sinh thuộc họ Trichomycteridae, có nguồn gốc ở lưu vực sông Amazon.
Candiru là cá nhỏ, con trưởng thành có thể lớn đến khoảng 40 cm (16 inch) với một cái đầu khá nhỏ và phần bụng có thể phình to, nhất là sau mỗi bữa ăn. Hơn thế nữa cơ thể chúng trong mờ, nên khá khó để phát hiện chúng trong vùng nước đục.

Hình 31. Cá Candiru thường kí sinh trong dương vật
Báo cáo công bố sớm nhất về Candiru tấn công vật chủ là nhà sinh vật học Đức C. F. P. von Martius vào năm 1829. Ông được các thổ dân của khu vực cho biết, những người đàn ông ở đây phải sử dụng dải dây buộc xung quanh dương vật khi xuống sông để tránh sự tấn công của loài cá candiru. Các nguồn khác cũng cho thấy nhiều bộ tộc trong khu vực cũng sử dụng tấm che chắn bảo vệ bộ phận sinh dục có hình thức khác nhau trong khi tắm. Ông Martius đã suy đoán rằng loài cá này bị thu hút bởi "mùi" nước tiểu.
Cho đến nay, chỉ có một trường hợp được ghi nhận đã bị một con cá candiru chui vào hệ thống tiết niệu tại Itacoatiara, Brasil vào năm 1997. Người đàn ông 23 tuổi này cho biết một con Candiru đã "nhảy" từ dưới nước vào dương vật của mình khi anh ta đi tiểu ở một con sông. Sau khi được đưa đến Manaus vào ngày 28/10/1997, nạn nhân đã trải qua ca phẫu thuật tiết niệu kéo dài 2 giờ của Bác sĩ Anoar Samad để loại bỏ con cá ra khỏi cơ thể.
Kinh hãi ổ kí sinh trùng trong mắt cô gái mang kính áp tròng
Một vụ việc vừa xảy ra là lời cảnh tỉnh cho những ai thường xuyên đeo kính áp tròng, bởi ngoài lí do làm đẹp, nó tiềm ẩn nhiều nguy cơ tới sức khỏe, thậm chí gây mù lòa.
Mới đây, một cô gái có tên Ashley Hydeở nam Florida, Mỹ đã phải nhập viện khẩn cấp sau khi phát hiện mắt mình bị ngứa rất nhiều. Cô còn cho biết mắt mình ngoài ngứa còn có những cơn đau nhói và buốt vào đến tận óc. Ban đầu, Hydechỉ nghĩ mình bị ảnh hưởng bởi sở thích đeo kính áp tròng. Cô gái có một thời gian dài sử dụng loại kính này và đôi khi bị ngứa. Nhưng do các triệu chứng quá nặng, cô phải đến bệnh viện. Tại đây, các bác sĩ đã tiến hành xét nghiệm và cực “sốc” khi thấy bên trong mắt cô gái có những kí sinh trùng bò lúc nhúc và đang “ra sức” đục khoét con mắt của bệnh nhân.

Hình 33
Những kí sinh trùng này có tên gọi là Acanthamoeba, chúng có kích thước cực nhỏ và thường có trong nước máy, bụi bẩn, nước biển, hồ bơi và cả vòi hoa sen… Ở điều kiện thường, nó khó có thể bám và gây bệnh cho mắt nhưng khi có kính áp tròng làm ‘điểm tựa’, loài động vật kí sinh này bám vào và sinh trưởng rất nhanh - Một bác sĩ nói.
Cô gái ngay sau đó cũng đã được điều trị theo một lộ trình đặc biệt và phải nhỏ mắt 20 phút/lần. Bên cạnh đó, cô còn phải uống rất nhiều thuốc khác nhau để tránh loài kí sinh trùng này “bùng phát” trở lại. Tôi đã đến bệnh viện sớm và đó là may mắn đối với tôi. Nếu tôi đến muộn, có thể tôi đã bị mù- Hydecho biết.
Theo các bác sĩ, bên cạnh nguồn nước gây bệnh, những kính áp tròng chất lượng kém cũng là nguyên nhân khiến nhiều người bị nhiễm các bệnh về mắt. Họ khuyên rằng tốt nhất, những người thích kính này nên dùng loại kính áp tròng sử dụng 1 lần và chỉ đeo khi cần thiết thay vì đeo thường xuyên. Ngoài ra, các bác sĩ cũng khuyến cáo thêm rằng nên hạn chế rửa kính áp tròng bằng nước máy nhằm giảm rủi ro bị nhiễm Acanthamoeba. Khi đi bơi, trừ khi đeo kính bảo hộ, bạn cũng không nên dùng loại kính này.

Hình 34
Kính áp tròng là loại thấu kính mỏng làm từ chất dẻo được đặt trực tiếp lên bề mặt con ngươi của mắt để điều chỉnh các tật khúc xạ của mắt. Kính áp tròng được coi là thiết bị y tế và được dùng để điều chỉnh các tật của mắt, dùng để đáp ứng nhu cầu thẩm mỹ hay chữa bệnh về nhãn khoa.
Năm 2004, theo thống kê có tới 125 triệu người sử dụng kính áp tròng trên toàn thế giới. Năm 2010 thị phần toàn thế giới ước đạt 6,1 tỉ USD và dự kiến trong năm 2015 này là 11,7 tỉ USD. Năm 2010, độ tuổi trung bình của người sử dụng kính áp tròng toàn cầu là 31 tuổi và 2/3 trong số đó là nữ giới.